하루에치과 치아미백 센터오픈기념 할인이벤트

 하루에치과에서 치아미백 센터를 새로 오픈했어요~ 기념이벤트를 진행합니다. 

치아미백 1세트 (15분씩 총 3회)

비용 33만원 --> 11만원 (66.7% SAVE)

*치아미백 효과가 나오지 않으면 환불

*치약세트 선물 증정

*이벤트 기간 2026년 3~5월 3개월간 

하루에치과 전문가 치아미백 1회 방문 3회 33만원(부가세포함)

개인 상태에 따라 1–3회 방문 권장될 수 있음

“치아미백 가격이 얼마인가요?”
이 질문에 단번에 숫자 하나로 답하기 어려운 이유는, 치아 색 변화의 원인과 상태가 사람마다 다르기 때문입니다. 같은 ‘치과미백’이라도 어떤 분은 1회로 충분하고, 어떤 분은 2–3회가 필요하기도 해요. 오늘은 치아미백 비용이 달라지는 기준 3가지를 쉽게 정리해드릴게요.

1) 현재 치아 착색의 원인과 ‘색의 깊이’

치아 변색에는 크게 두 가지가 있습니다.

  • 겉 표면 착색(외인성 착색): 커피, 차, 와인, 흡연, 카레처럼 색이 강한 음식으로 생기는 경우
    → 비교적 반응이 빠른 편이라 1회만으로도 만족도가 높을 수 있어요.

  • 치아 내부 변색(내인성 변색): 노화, 외상, 약물, 신경치료(근관치료) 후 변색 등
    → 색이 치아 내부에 “깊게” 자리해서 횟수나 방식이 달라질 수 있습니다.

즉, 치아미백 가격의 핵심은 “미백이 잘 되는 타입인지” “몇 번이 필요할지”에서 결정되는 경우가 많습니다.

2) 필요한 시술 범위와 미백 횟수

(1회 vs 패키지)

치과미백 비용을 좌우하는 두 번째 기준은 범위와 횟수입니다.

  • 앞니 몇 개만 부분 미백이 필요한지

  • 윗니/아랫니 포함 전치부 전체가 필요한지

  • 1회로 목표 톤에 도달 가능한지, 혹은 추가 1–2회가 필요한지

같은 “치아미백”이라도 원하는 밝기(목표 쉐이드)가 높을수록, 그리고 처음 치아 색이 진할수록 추가 관리가 필요할 수 있어 가격 차이가 생깁니다.

3) 시술 전 준비 치료

(스케일링/충치/잇몸상태) 여부

미백은 치아 표면과 잇몸 상태가 좋아야 결과도 예쁘고, 부작용도 줄어듭니다. 그래서 상담 시 아래가 확인됩니다.

  • 치석/착색이 많은 경우: 스케일링이나 폴리싱이 함께 권장될 수 있어요.

  • 충치/마모/치아 균열이 있는 경우: 미백 전에 치료가 필요할 수 있어요.

  • 잇몸이 예민하거나 염증이 있는 경우: 잇몸 관리 후 미백을 진행하면 시림·자극을 줄이는 데 도움이 됩니다.

결국 “치아미백 가격”은 미백 자체뿐 아니라 안전하고 결과 좋은 미백을 위한 준비 과정에 따라 달라질 수 있습니다.

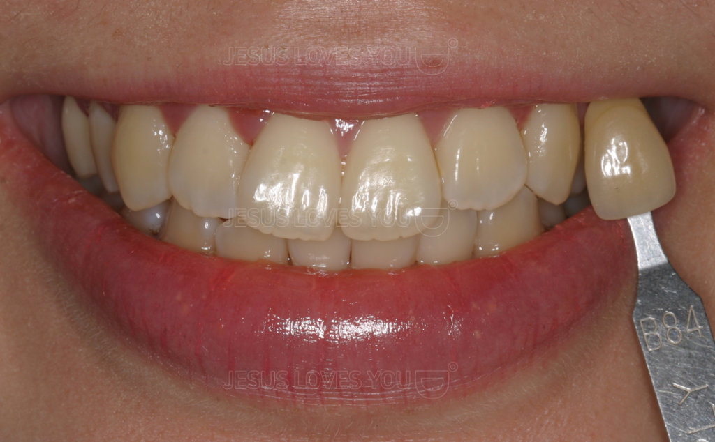
치아미백 치료전

치과미백 후 “가격만큼 중요한 것”: 유지 관리

 

치아미백은 하고 끝이 아니라 유지 관리가 결과를 좌우합니다. 특히 시술 직후 24–48시간은 착색이 쉽게 다시 생길 수 있어요.

  • 24–48시간은 커피/홍차/와인/카레/김치찌개 등 진한 음식 피하기

  • 커피를 마셨다면 물로 헹구기 (가능하면 빨대 사용)

  • 흡연은 착색 1순위라 유지기간이 확 줄어듭니다

미백 후 관리까지 포함해서 안내해주는 치과인지도, 실제 만족도에 큰 영향을 줍니다.

치아미백 치료후

치아미백 가격 상담 전, 이것만 체크하면 빠릅니다

 

상담을 더 정확히 받으려면 아래 4가지를 미리 생각해두세요.

  1. 원하는 밝기: “자연스러운 톤업” vs “확 밝은 톤업”

  2. 중요한 일정: 촬영/면접/결혼식 등 날짜

  3. 현재 상태: 흡연, 커피 습관, 시림 경험

  4. 보철물 유무: 크라운/라미네이트/레진(있어도 가능하지만 계획이 달라질 수 있어요)

마무리: “내 치아미백 비용”은 진단 후 가장 정확합니다

 

치아미백 가격은 단순히 ‘미백제’ 비용이 아니라, 착색 원인·횟수·범위·사전 치료 여부에 따라 달라집니다. 가장 좋은 방법은 사진과 구강 상태를 확인해 나에게 필요한 횟수와 계획을 잡는 거예요.

 

전문가 치아미백
하루에치과의 30년 노하우로 완성합니다.

치아미백FAQ

상태에 따라 다릅니다. 표면 착색 위주면 1회로 만족하는 경우도 많고, 내부 변색이 있거나 목표 톤이 높으면 추가가 필요할 수 있어요.

시릴 수 있지만 보통 일시적입니다. 개인차가 있고, 잇몸·치아 상태에 따라 관리 방법을 조절하면 불편을 줄일 수 있어요.

미백은 자연치아 색을 변화시키는 방식이라 보철물은 색이 그대로일 수 있어요. 그래서 미백 후 색 차이가 생길 수 있어 상담이 중요합니다.

치료 비용이 궁금하다면?

임플란트 계산기 스마일디자인 계산기