하루에치과에서는 치아 보철치료를 CAD/CAM(세렉)을 이용해 의사가 직접 하루에 마무리합니다. 때문에 원거리나 해외에서 방문하시는 분들도 시간 부담 없이 빠르게 치료 받으실 수 있습니다.
치아조직은 머리카락과는 달리 다시 재생되지 않기 때문에 보다 더 섬세한 치료가 필요합니다. 하루에치과에서는 치아를 깎지 않거나 아주 살짝만 다듬는 정도로 라미네이트 치료가 가능합니다.
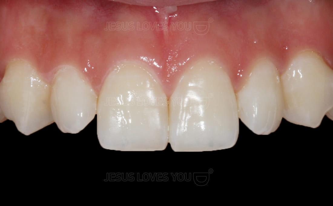
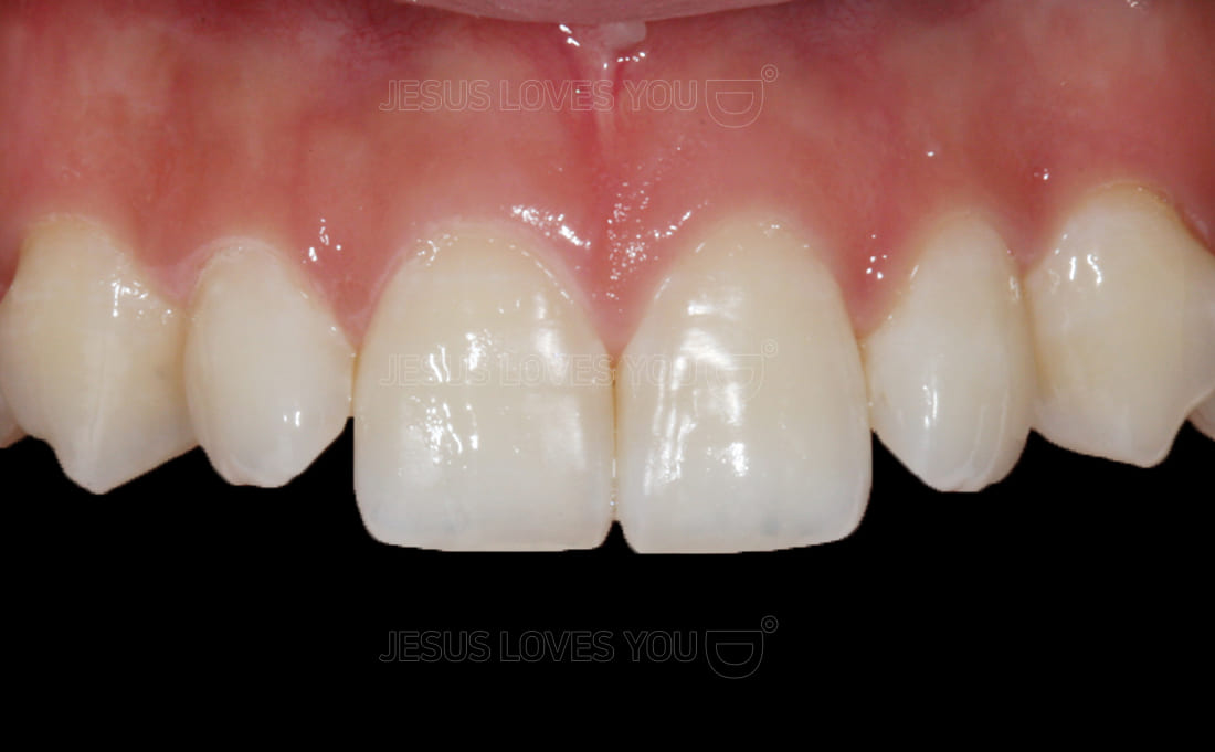
평균 0.7mm 두께의 라미네이트를 평균 0.3mm로 줄이게 되어, 보다 더 적은 치아 삭제로 더 아름다운 치아 디자인이 가능합니다. 때문에 치료 후 치아 시림이나 라미네이트 파절, 탈락 가능성이 매우 낮습니다.
이한나 원장은 보다 더 적은 치아 삭제로 보다 더 아름다운 치아를 만들기 위해 다양한 치아 디자인을 만들었으며, 2009년에는 치아를 최대한 손상하지 않고 치아 모양을 예쁘게 만들 수 있는 치아 디자인 특허도 획득했습니다.
얼굴 모양에 맞는 다양한 치아 디자인을 치아 디자인 컬렉션에서 만나보실 수 있습니다.
세라미스트는 치아를 만드는 세라믹 예술가를 말하고, 덴티스트는 치과의사니까 세라미 덴티스트는 바로 세라믹 예술을 직접 하는 치과의사를 말하는 것이지요. 세라미덴티스트 이한나 원장은 직접 라미네이트를 만들어 주는 치과의사입니다.
사실 치과의사가 세라믹 가공을 직접 한다는 것은 쉬운 일이 아닙니다. 치과의사의 업무와 치아를 만드는 치기공사의 업무가 분리되어 있기 때문이지요. 일반적으로는 치과의사의 주문에 의해 치기공사가 치아를 만들게 됩니다. 치기공사는 치과의사의 업무를 할 수 없지만 치과의사는 치기공까지 할 수 있으나 그 작업이 까다롭고 고된 일이라 직접 하는 이가 많지는 않습니다.
하지만 이한나 원장은 기공소에 주문해서 만들어 온 치아 디자인 결과에 만족하지 못해 그녀가 원하는 치아 모양을 만들기 위해 진단 왁스업을 직접 해왔으며, 세라믹 가공까지 직접 하면서 자신만의 세라믹 치아를 만들어 왔습니다.
이한나 원장은 자신이 추구하는 치아 디자인을 위해 20여 년 동안 연구하고 만들고 평가하는 작업을 반복했습니다. 그렇게 해서 홈페이지에 수많은 시술 사례가 탄생하게 되었습니다. 라미네이트 치료는 어느 치과의사든지 할 수 있습니다. 그러나 주어진 환자의 치아 상태에서 얼마나 더 안전하게, 얼마나 더 예쁘게, 얼마나 더 오래 건강하게 사용할 수 있는지는 분명 차이가 납니다.
이한나 원장은 자신이 치료한 환자들의 데이터들을 정리하고 또 분석해서 새로운 환자의 치료에 적용해 보다 더 예쁘고, 보다 더 안전하고, 보다 더 내구성이 좋은 라미네이트를 만들려고 노력합니다.
1995년 1월, 드라마 모래시계가 방영될 때 이한나 원장은 자신의 치과를 열었습니다. 1998년부터 본격적으로 더 아름다운 앞니치료와 임플란트 연구에 몰입하기 시작합니다.
2002년에 이르러서 그녀의 심미 치료가 많은 이들에게 알려지기 시작했고 2005년에는 뉴욕의 유명한 심미 치과의사인 그레그 리투치와 세계적으로 유명한 치기 공사인 제이슨 킴을 만났고 그들의 심미 치료의 방향을 한국의 치료에 접목시켰습니다.
미국의 심미 치과의사보다 한국의 심미 치과의사가 더 치료하기 힘들다는 것을 아시나요? 서양인보다 동양인의 치아 법랑질이 더 얇은 편이고 식생활도 견고한 것을 더 즐겨먹기 때문입니다.
이한나원장은 거의 매일 밤늦은 시간까지 직접 치기공작업을 했습니다. 그러던 중 2007년 세렉을 도입하면서 이제 밤늦게 혼자 남아 치기공을 하지는 않습니다. 세렉을 이용해 직접 컴퓨터상에서 디자인을 한 후 밀링 되어 나온 세라믹치아를 환자의 입 안에 넣고 얼굴을 보면서 조화롭게 만들어내는 첨단 치과작업으로 발전했기 때문입니다.
하루에치과는 세계적으로 인정 받는 세계 제일의 장비와 재료만을 고집합니다.




1회 방문 하루 완성으로 빠른 치료가 가능합니다.
다른 보철기법에 비해 치아를 가장 적게 깎고도 시술이 가능합니다.
본뜨는 과정, 임시 치아 과정을 생략함으로 치료가 간단합니다.
일반 포세린보다 튼튼합니다. 일반포세린의 강도가 -80MPa인 반면, 세렉 블럭의 강도는 –150MPa으로 치아 법랑질의 강도 -150MPa와 유사한 강도를 지닙니다.
마모도가 자연치와 유사하여 서로 부딪히는 자연치를 파괴시키지 않습니다.
27년 연구 결과 내구성 면에서 금니와 유사 또는 우월하다는 논문 결과가 있습니다.
어떤 도재보철에 비해 투명감과 색감이 우월하여 아름답습니다.
자신의 치아디자인 과정을 직접 확인, 원하는 형태로 디자인이 가능합니다.
어떤 도재보철에 비해 투명감과 색감이 우월하여 아름답습니다.
치아삭제 후 빠른 시간 내에 최종보철을 부착하여 세균에 의한 오염을 방지할 수 있어 시림 증상도 예방됩니다.