앞니 임플란트 vs 앞니 브릿지 앞니가 빠졌을 때 브릿지와 임플란트 중 어떤 치료가 좋을까요?

치아가 없는 부위를 어떻게 시술해야 할 지 고민이시군요. 치료를 결정하기에 앞서 임플란트와 휴먼브릿지, 그리고 매릴랜드시술의 장단점과 치료후 장기적으로 어떻게 되는지 이해하시는 것은 아주 중요합니다. 다양한 시술의 종류까지 아시는 상태라 당연 시술의 장단점도 비교를 해 보셨겠지만, 인터넷에서 떠돌아다니는 단편적인 지식만 가지고 치료를 결정해서 향후 후회하실 가능성이 높아요.

임플란트 치료는 이미 아시는 바와 같이 치아가 빠진자리에 인공치근을 넣어주는 치료입니다. 임플란트의 장점은 십여가지가 넘지만 흔히 알고 계시는 사항은 브릿지에 비해 주변치아의 삭제가 필요하지 않다는 점이 가장 많이 알고 있는 내용이세요. 그런 면에서는 휴먼 브릿지나 메릴랜드 시술과 사실상 임플란트의 차이가 없는 셈입니다. 휴먼브릿지와 메릴랜드 시술 모두 주변 치아의 삭제가 필요하지 않기 때문이지요.

하지만 여기서 아주 중요한 것을 놓치기 쉽습니다. 임플란트로 시술 했을 경우 휴먼 브릿지나 메릴랜드 시술이 절대 주지 못하는 큰 장점이 있다는 것입니다. 그것은 바로 뼈의 모양 유지입니다. 그리고 그 장점은 임플란트의 시술시기를 놓치면 얻기 힘들다는 점도 알아야 합니다.

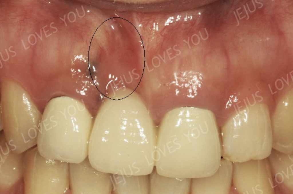
사진처럼 치아의 머리가 다 사라진 경우라도 뼈 속에 뿌리만 남아 있다면 뼈의 모양이 유지되고 있을 것을 볼 수 있습니다.
하지만 치아를 뽑고 그냥 방치하게 되면(즉, 브릿지나 메릴랜드, 휴먼브릿지 치료도 동일합니다.) 이렇게 시간이 지나면서 서서히 뼈가 얇아지게 되지요.
얇아진 뼈의 자리에 동그라미 표시를 해 두었습니다. 처음 휴먼브릿지나 메릴랜드를 하실 때에는 지금 사진의 치아처럼 치아가 길어지지는 않을 수 있지만 시간이 지나면서 해당 부위가 꺼지면 음식물이 끼일 수 있어서 이렇게 치아를 길게 만드는 형태로 계속적인 수리를 보게 됩니다.
하지만 치아를 뽑고 그냥 방치하게 되면(즉, 브릿지나 메릴랜드, 휴먼브릿지 치료도 동일합니다.) 이렇게 시간이 지나면서 서서히 뼈가 얇아지게 되지요.
위의 환자의 스마일사진입니다. 브릿지로 치료할 경우 이렇게 웃을 때 잇몸이 많이 보이기라도 할 경우라면 화살표 부분처럼 그림자가 지게 됩니다.
또다른 환자 한 분의 스마일을 보아도 마찬가지로 브릿지로 해결한 빠진치아부위에 그림자가 있습니다. 다행히 웃는 라인이 많이 올라가지 않지만 그래도 티는 납니다.

우리의 얼굴이 예쁘게 생겼느냐 못생겼느냐 결정되는 중요한 요소가 무엇인지 아세요? 그것은 기본적인 골격구조가 좋아야 얼굴형이나 기타 다른 연조직도 예쁘다는 것입니다. 즉, 뼈의 모양은 그만큼 연조직의 모양을 결정하는 중요한 요소라는 것이지요…

브릿지로 치료하게 되시면 어금니는 몰라도 특히 앞니 부위에서는 약간의 뼈소실이라도 있게 되면 스마일을 하실 때 치아와 잇몸경계부위에 어두운 그림자가 지게 됩니다. 이는 휴먼브릿지나 메릴랜드도 마찬가지입니다. 물론 치료직후부터 그런 현상이 두드러지지는 않지만 1년, 2년이 지나면서 점점 더 뼈소실양은 늘어가고 그림자는 뚜렷하게 형성될 수 있습니다.

그래서 뼈소실이 이미 일어나게 된다면 그런 상태를 회복하기는 아주 복잡하며, 더 많은 비용이 들 뿐 아니라 모양도 자연스럽지 않습니다.

하지만 적절한 시기에 앞니에 임플란트 치료를 하실 경우 보다 아름답고 자연스러운 치료결과 뿐 아니라 장기적으로 치아가 있을 때와 같이 치조골의 모양이 유지된다는 점을 잊이 마시기 바랍니다. 특히 나이가 20대라면 더더욱 중요할 수 있습니다.

위 환자는 제가 치료한 앞니임플란트 환자인데요. 왼쪽은 임시치아 상태에서 내원한 치료전 사진이고 우측은 앞니임플란트 치료를 완료한 사진입니다. 브릿지로 치료했을 때와 비교해 보실 수 있습니다.

앞니 브릿지 대신 임플란트가 좋은 7가지 이유

앞니 결손에서 임플란트가 선호되는 이유는 크게 치아 보존·뼈/잇몸 유지·심미·관리·장기 안정성으로 정리됩니다. 

비교 항목 앞니 임플란트 앞니 브릿지
주변치아 삭제 없음(대부분 결손 부위만 치료) 있음(대개 양옆 치아를 기둥으로 깎아야 함)
심미(잇몸) 잇몸/뼈 조건이 좋고 임시치아·잇몸 설계를 잘하면 매우 자연스러움. 단, 조건이 나쁘면 잇몸 함몰/블랙트라이앵글 등 심미 난이도↑ 초기에는 모양이 잘 나올 수 있음. 다만 시간이 지나 빠진 자리 뼈·잇몸 변화로 경계가 보이거나 치간 공간이 생길 수 있음
관리 난이도 일반 치실/치간칫솔로 관리 가능(보철 형태에 따라 다름). 임플란트 주위염 예방이 핵심 중간 치아 아래가 떠 있어 음식이 잘 끼므로 슈퍼플로스/치간도구가 필수인 경우가 많음
치료 기간 케이스에 따라 다양(즉시식립/임시치아 가능 여부, 뼈이식 여부). 보통 수개월 계획으로 진행 조건이 맞으면 비교적 빠르게 가능(대개 수주~수개월 내 완료 가능)
재치료 전략 문제가 생겨도 해당 치아 중심으로 접근(보철 교체/나사조절/재식립 등) 기둥치아(양옆)에 문제가 생기면 전체 브릿지 단위로 재치료가 커질 수 있음(기둥치아 신경치료/파절 등)
장기 비용 초기 비용은 보통 더 큰 편. 대신 주변 치아 보존으로 장기적 관리비가 줄 수 있음(개인차 큼) 초기 비용은 상대적으로 낮을 수 있음. 다만 기둥치아 문제/재제작이 생기면 추가 비용이 커질 수 있음