목차

오토바이 사고나 넘어짐 같은 강한 충격이 생기면 얼굴과 입 주변이 먼저 부딪혀 앞니가 깨지거나 부러지는(치아 파절) 일이 흔합니다.

이번 글은 “앞니 2개가 파절된” 실제 케이스를 바탕으로, 많은 분들이 검색하는 질문(응급 대처/치료 방법/기간·비용의 방향)을 쉽게 정리한 내용입니다.

검색이 많은 표현: 앞니 깨짐, 앞니 부러짐, 치아 파절, 교통사고 치아, 오토바이 사고 앞니

사고로 앞니가 이렇게 깨지고 부러질 경우 치료 어떻게 하는지 알려드릴께요

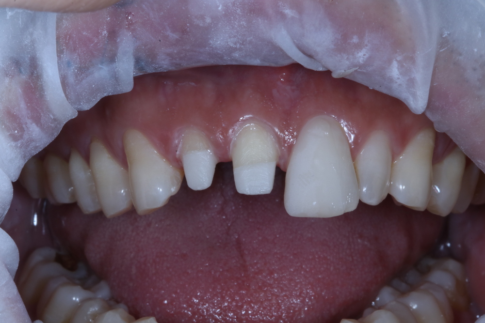
앞니 2개 파절 + 잇몸/입술 손상 동반

이번 케이스는 오토바이 사고 후 내원하셨고,

  • 앞니 2개가 깨진 상태(치아 파절)

  • 잇몸/입술 부위에 타박·열상(찢어짐)

  • 파절면이 커서 심미적으로도 바로 불편한 상황

이런 경우는 보통 당일 응급 처치 + 심미 회복이 중요합니다. (환자 입장에서는 “사람을 만나야 하는데 앞니가…”가 가장 큰 스트레스라서요.)

제 동생이에요. 몇년 전 오토바이 사고 당해서 이렇게 해서 왔어요. ㅠㅠ
앞니 2개가 부러지고 입술에 열창이 생겼어요. 그래도 다행이라고 생각했어요. 오토바이 사고는 진짜 무서워요.

앞니 파절 치료는 파절선 깊이에 따라 달라집니다

치료 갈래 언제/핵심 요약
1) 레진(접착) 작은 파절 + 접착 가능한 형태 + 신경 노출 적을 때
장점: 빠름/보존적/저비용 · 주의: 큰 파절은 변색·재파절 위험
2) 보철(세라믹피스·라미네이트·크라운·포스트) 파절이 크거나 기존 수복물 많거나 교합력이 강할 때
장점: 강도·형태 안정 · 포인트: 앞니는 색/투명감 설계가 핵심
3) 신경치료(필요/가능) 신경 노출 또는 충격 후 지연 통증·변색이 나타날 때
외상 치아는 초기 무증상 가능 → 추적 체크 중요
4) 발치 후 임플란트 뿌리까지 심한 파절로 보존이 어려울 때
발치와 동시 식립 후 임시치아/최종보철 가능 케이스도 있음
보통 2~3개월 사용 자제 권장
덜렁거리는 치아조직을 제거하고 나니 치아 파절선이 생각보다 깊어서 뽑아야 하나? 생각했지만 동생이라 나중에 필요하면 그때 뽑자는 마음으로 치아에 기둥을 세워서 크라운을 하는 방식을 선택했어요.

실제 치료 흐름

단계 요약
1) 외상 검사 파절 범위 + 치근/치조골 손상 여부 확인
2) 상처 부위 처치 잇몸/입술 소독 및 관리 안내
3) 앞니 형태 회복 당일 심미 회복(형태 복원)
4) 최종 계획 확정 검사 결과에 따라 레진/세라믹피스/라미네이트/신경치료 필요 여부 결정
5) 경과 체크 2~4주, 3개월 등 추적 관찰(지연 통증·변색/신경 괴사 가능성 체크)

※ 외상 치아는 초기 무증상이어도 시간이 지나며 문제가 나타날 수 있어 추적 관찰이 중요합니다.

보시는 것처럼 앞니는 신경이 한 줄기가 있답니다. 그래서 신경관의 굵기도 굵은 편이구요. 여기에 있던 신경조직을 제거하고 뿌리끝부분은 밀봉을 해 주고 그 관 부위에 기둥을 세우게 됩니다.

앞니 깨짐 치료에서 중요한 3가지 체크포인트

  1. 치아 머리부분뿐만 아니라 뿌리까지 부러졌는지(치근 파절) 여부

  2. 단순히 치아껍질 부위만 손상이 있는 것이 아닌 신경까지 손상 가능성이 있는지 여부(초기 무증상일 수 있음)

  3. 심미 라인: 잇몸 라인/치아 길이/좌우 대칭/색 맞춤

앞니는 작은 차이가 사진에서 크게 보이기 때문에, 단순히 “때우는 것”보다 형태 설계와 마무리 퀄리티가 만족도를 좌우합니다.

지르코니아 기둥을 바로 만들어 끼운 모습이에요. 앞니에서 보면 치아가 많이 남은 것 같아요. 하지만...
사실 안쪽이 너무 깊은 부위까지 없어져서 좀 불안은 했습니다. 신경치료와 기둥 모두 당일에 다 치료를 진행했어요. 디지털방식 기공이라 촬영 후 제가 직접 모두 만들었어요.
치아모양을 디자인해 보니 동생의 앞니가 원래 살짝 벌어져 있었던 가봐요. 그냥 하려니 부러진 대문니가 너무 커지는 상황이라 바로 옆 대문니에 삭제없이 세라믹을 부착해서 크기를 맞추어 주었어요. 그리고 그 옆의 치아는 반대편 측절치가 짧고 작은 편이라 너무 크지 않게 만들어 주었구요.
위에서 본 모습입니다. 이렇게 사고 당일에 치료가 완료되었어요. 입천정쪽으로 보시면 사고 당일이라는 것이 보이네요. 앞쪽에서는 거의 티가 안났지만 말이죠. 이렇게 치료가 끝났어요. 하지만 위에 설명글을 올려드린대로 부러진 정도에 따라서 치료는 다르게 진행되기도 해요. 12번 측절치는 결국 몇년 후에 발치하고 임플란트로 바꾸게 되긴 했지만 그래도 처음 치료가 이렇게 이루어진 부분에서는 좋은 결정이었던 거 같아요.

앞니 파절(부러짐) 치료 비용은 무엇에 따라 달라지나요?

정확한 비용은 파절 깊이, 신경치료 필요 여부, 보철 재료, 임시치아 필요 여부에 따라 달라집니다.
또한 병원마다 사용하는 재료와 치료 방식에 차이가 있을 수 있습니다.
하루에치과는 아래 치료를 “당일 하루에” 진행할 수 있습니다.

치료 비용(대략)
레진 10~20만원
세라믹피스 / 라미네이트 33~99만원
지르코니아 포스트 40만원
세라믹 크라운 55~99만원
국산 임플란트(기본) 68~98만원 / 개
뼈이식(필요 시) 30~50만원
심미 임플란트(특수, 뼈이식 포함) 300~500만원 / 개

※ 정확한 비용은 파절 깊이, 신경치료 여부, 보철 재료, 임시치아 필요 여부에 따라 달라질 수 있으며, 병원마다 재료/치료 방식에 차이가 있을 수 있습니다.

치아파절 치료기간과 치료비용 FAQ

외상 치아는 나중에 통증/변색/신경 괴사가 생길 수 있어요. 통증이 없어도 검사로 깊이 확인을 권합니다.

조각 상태와 파절 형태에 따라 가능성이 있습니다. 건조하게 두지 말고 물이나 생리식염수, 우유 같은 곳에 넣어서 가능한 한 빨리 내원하는 게 좋아요.

파절이 아닌 치아가 통째로 빠진 경우도 동일합니다. 치아를 닦거나 하지 말고 그냥 빠진 그대로 식염수에 담궈 오시면 가장 좋습니다. 경우에 따라서 다시 심을 수 있습니다.

하루에치과에서는 이런 경우 당일 치료를 완료할 수 있는 치료가 많습니다. 상태에 따라서 치료법은 조금씩 달라지겠지만 대부분의 경우 치아가 빠진 상태로 있지 않게 치료가 가능합니다.  자세한 치료법은 위쪽 내용을 참고하세요.

아주 예전에는 이런 경우 티가 나는 방식밖에 없었지만 이제는 거의 티가 나지 않게 치료할 수 있는 재료와 방식이 있어요.