목차
앞니탈구 + 치근파절 ->와이어고정 3개월
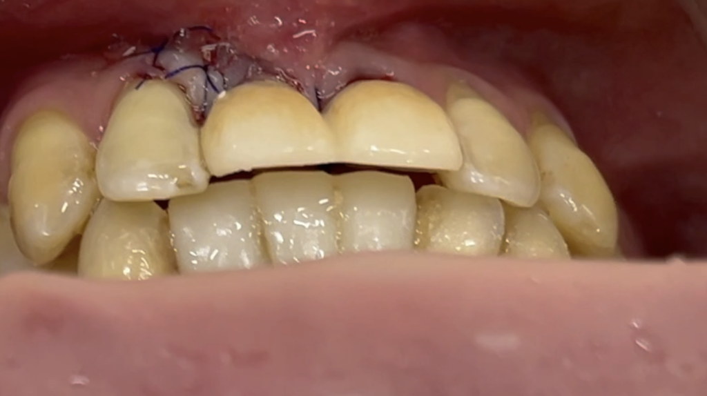
치아외상으로 치근파절 와이어고정 치료전
치근파절된 앞니 2개 발치후 앞니임플란트 치료후
이 환자는 3개월 전에 넘어져서 대학병원에서 앞니 12번 치아는 탈구(빠짐)된 것을 다시 재식립하고 11번 21번 치근파절된 치아는 와이어로 고정을 했습니다. 그리고 환자는 혀와 인중까지 많이 다쳐서 치료를 해야 했습니다.
3개월이 경과했지만 앞니 2개가 고정이 되지 않아 결국 발치하고 앞니임플란트 치료를 권유 받았고 앞니임플란트를 위해 본원에 오셨어요.
와이어 제거 후 발치, 뼈이식, 임플란트 동시에 진행
임플란트를 식립하고 설콘지대주를 연결한 모습
12번 탈구되어 재식립한 치아는 상태가 양호했지만 11번 21번 치근파절된 치아는 발치를 할 수 밖에 없었어요. 치근파절과 함께 뼈손상도 심해서 인공뼈와 인공막을 이용한 뼈이식을 하면서 앞니 2개 앵킬로스 임플란트로 식립후 설콘을 연결했습니다.

앞니부분에 치근이 파절된 모습이 보이는 CT 횡단면
치료과정 영상으로 보기
수술당일 임시치아 적용
임플란트 수술 수 당일 임시치아를 끼운 모습
수술당일 임시치아를 끼웠고, 색상이 너무 하얗게 보여 스테인을 좀 해 드렸습니다.
임시치아를 주변색상와 맞추어 주는 과정
수술당일 임시치아를 끼운 상태
수술당일에 적용하는 임시치아는 충격을 받으면 안되기 때문에 아래앞니와 닿지 않도록 교합을 설정해 주었습니다.
아래 앞니와 공간을 띄워 교합이 되지 않도록 함
수술후 2개월 최종 보철 완성

수술 후 2개월 뒤 설콘 지대주 상태
상처는 잘 아물었고, 특별한 염증소견없이 2개월 만에 골융합이 충분히 완성되었습니다.

최종보철을 끼운 치료후 모습
이 분에게 적용한 앵킬로스 임플란트는 국산임플란트보다 골융합 속도가 빨라서 2개월 차에 치료 마무리가 가능했습니다. 그리고 치아색상은 주변의 치아색상과 조화를 이루어서 완성했습니다.

임플란트가 잘 고정된 상태
치아외상 치근파절 FAQ
빠진 앞니를 생리식염수 또는 우유, 또는 물 속에 담궈서 가능한 빨리 치과에 가시면 됩니다. 빠진 치아를 깨끗이 한다고 씻거나 문지르지 않아야 하고 빠진 상태 그대로 액체에 담궈서 빨리 치과로 갑니다.
상태를 점검한 후 치과의사가 해당 치아를 제자리에 다시 위치시키고 조정을 하면 다시 잘 붙게 되는 경우가 많습니다. 물론 한 번 빠졌다가 심었기 때문에 고정이 된 후 신경치료는 필요합니다.
치아뿌리가 부러진 경우(치근파절)에 무조건 뽑는 것은 아닙니다. 뿌리의 어느 부분에 파절선이 생겼느냐에 따라서 결정이 됩니다.
만약 뿌리 끝부분에 파절선이 있는 경우이거나 치아머리 가까이에 파절선이 있는 경우에는 뽑지 않고 치료를 시도하게 됩니다. 하지만 치아뿌리의 중간부분 파절선은 발치를 하게 됩니다.
일반적으로 3~4주 정도 고정을 하게 되면 어떻게 치료를 해야 할 지 결정할 수 있는 상태가 됩니다. 무작정 오래 고정한다고 좋은 것도 아닙니다. 그러므로 약 4주 정도 후에 고정한 것을 제거하고 이후 치료계획을 정하게 됩니다.