라미네이트 치료는 밝은 치아색과 가지런한 앞니 라인을 함께 디자인할 수 있는 심미치료입니다.
이번 케이스는 2005년도에 시술한 사례로 수퍼주니어 멤버 중 한분이신데 데뷔 전에 치아치료를 했습니다.

이 분은 가수로 데뷔 준비 중이어서 자연치 톤보다 더 밝은 치아색으로 치료했던 경우입니다.
환자가 원하는 이미지와 치아 비율, 얼굴과의 조화를 충분히 고려해 치료 방향을 결정했습니다.

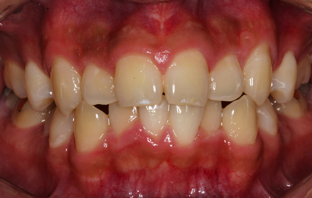
삐뚤거리고 누런치아 치료전
가장 밝은 색상 라미네이트 치료후장 밝은 색상 라미네이트 치료후
아이돌 데뷔 전 치아치료의 핵심-치아손상이 안되게

아이돌 데뷔 전이었던 해당 환자는 20세가 되지 않은 어린 환자였습니다. 그렇지만 가수로 데뷔하기 전에 필수적으로 치아치료를 해야 했지요.

2005년도 당시에 이 친구가 치료를 받으러 왔을 때 너무 어린 나이라 미용치료를 어떻게 해야 할 지 고민을 많이 하고 했던 사례입니다.

나이가 어리면 치아삭제를 조금만 무리하게 해도 치아손상이 쉽게 올 수 있기 때문에 최대한 치아삭제를 선택적으로 적게 하는 것을 주안점으로 두고 치료에 임했습니다.

 

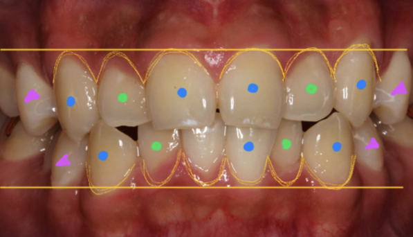
파랑색 점 불규칙한 치열에서 나온 치아들

지혜롭게 이 케이스를 치료하기 위해서 우리는 치아배열을 자세히 볼 필요가 있어요. 치아가 삐뚤거리긴 하지만 실제로 튀어나온 치아들이 심하게 나온 상태는 아니라는 것이지요.

뒤쪽에 위치한 작은어금니와의 관계를 보아도 그래요. 그래서 저는 이 파랑색 점에 해당하는 치아들을 많이 깍지 않기로 했습니다. 들어간 치아(연두색) 때문에 상대적으로 나와보이는 것이었기 때문이지요.

연두색 점 안으로 들어가 있는 치아들

이제 안으로 들어가 있는 치아들을 보겠습니다. 안으로 들어가 있기 때문에 덧붙이기만 잘 해도 옆에 있는 치아들과 잘 어울릴 수가 있게 됩니다. 

다만, 치아가 안으로 들어간 경우에는 잇몸의 높이가 올라가 있어요. 그래서 주변치아들과 자연스럽게 보이기 위한 잇몸성형이 필요하게 됩니다. 노란색 선으로 표시된 잇몸성형 라인은 제니스포인트에 잘 맞추어 정리했습니다.

보라색 삼각형 치아미백으로 밝게

마지막으로 보라색 삼각형 치아들을 보겠습니다. 해당 치아들은 라미네이트 치료를 하지 않았어요. 치아미백으로 충분히 밝은 색상의 표현이 가능했습니다. 법랑질이 두꺼워서 더 미백이 잘 되었습니다.

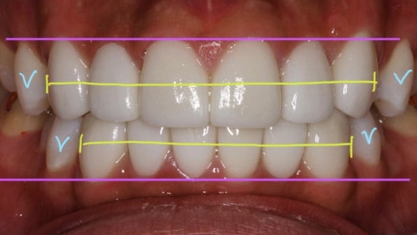
이렇게 해서 위 6개, 아래 6개 라미네이트를 치아손상없이 미세한 치아삭제와 잇몸성형으로 부착했고, 주변치아들은 치아미백으로 완성된 아이돌 치아가 되었습니다.

 

치아손상없이 안전하게 치료마무리

이런 식으로 치료가 마무리가 되었습니다. 다소 일반인이 하기에는 부담스러운 밝은 색상의 치아이기는 합니다. 

해당 환자의 요구사항이기도 했고, 아무래도 연기자보다는 가수분들은 더 화려한 스타일을 추구하는 경향이 있기는 합니다.

10대 후반에 치료를 했기 때문에 치아손상없이 치료를 하는 것이 가장 중요했으며 성공적으로 치료가 잘 마무리 되었습니다. 이제 20년 이상 시간이 흘렀네요....

예전 자료들 정리하다가 글을 올려봅니다.

불규칙 치아 라미네이트 FAQ

삐뚤거리는 치아는 근본적으로 라미네이트 보다는치아교정 치료가 적절한 경우가 더 많습니다. 

그러나, 불규칙한 정도와 얼굴에서의 전체 치아 악궁의 위치, 그리고 치아의 크기 등을 고려해서 교정보다 라미네이트 더 유리한 경우도 분명히 있어요.

왜냐하면 불규칙을 무조건 교정으로만 해결하면 입이 나와보이게 되는 경우도 있고, 교정 후 보정이 잘 되지 않아 다시 틀어지는 경우도 있기 때문에 환자의 상태와 평소습관 등을 잘 살펴보고 더 유리한 방법을 제시해야 합니다.

위에 설명한 사례와 같은 경우에는 저희 하루에치과에서는 하루만에 치료가 가능합니다.

저는 25년 이상 치아디자인을 해 온 터라 디자인 계획을 빨리 잡을 수 있지만 만약 일반 치과에서 미용치료로 접근하신다면 미리 스마일디자인을 한 번 해 보시는 것을 더 추천드립니다.

저도 예전에는 일일이 환자들의 치아들을 미리 디자인해보고 치료를 했거든요.

기본 디자인만 잘 결정된 경우라면 치료는 하루에 끝낼 수 있는 치과시스템이 많이 개발되어 있습니다.

이 부분은 환자의 상태와 환자의 치료목적에 따라서 아주 다양할 수 있습니다.

그런데 이런 미용치료를 원하는 환자들은 대부분 치아색상까지 고려하기 때문에 요즘 흔하게 하는 개수가 위 8개가 가장 많기는 합니다. 웃을 때 딱 보이는 치아거든요. 

아래 치아는 치아미백을 하신느 경우도 있고 아래치아까지 라미네이트로 치료하는 경우도 있습니다.