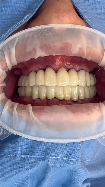
수술당일 임시치아,
4회 방문,4개월 전체임플란트
전체적으로 치아가 좋지 않은 분이 전체적으로 치아를 뽑고 치료를 하고자 하셨어요. 환자의 치료전 상태는 전체적으로 치주염(잇몸질환)이 심해 치조골(잇몸뼈)이 모두 녹아버려 치아들이 많이 움직이고 잇몸이 많이 내려간 상태였습니다. 아래에는 부분틀니도 착용하고 있었습니다. 아래 파노라마 엑스레이에서 볼 수 있듯이 살릴 만한 치아가 없어 모두 발치를 하고 전체임플란트로 치료하기로 했어요.
전체임플란트도 하는 방식이 아주 다양한데, 몇 개만 심어서 임플란트틀니 형태를 하기도 하고, 올온엑스(all-on-X)라고 한쪽턱에 4~6개 정도를 심어 심은 임플란트를 전체적으로 묶어서 힘을 발휘하게 하는 방식도 있다. 하지만 저는 그런 방식보다는 가능한한 치아가 있던 자리에 회복을 충분히 하자는 쪽입니다. 그래서 그런 방식의 치료방법으로 ‘파워아치’전체임플란트로 명명했습니다.
아무래도 치아개수대로 회복하면 가장 걱정되는 것이 치료비용이 됩니다. 하지만 저는 임플란트틀니보다는 약간 더 비용이 들지만 올온엑스보다는 오히려 비용을 더 저렴하게 치료비용을 책정해서 파워아치임플란트 치료를 해 드리고 있습니다. 환자분을 위하는 마음도 있고, 치료후 사후관리할 때 제가 번거롭지 않고자 하는 마음도 있어서 좋은 비용으로 쉽게 치료를 해 드리는 쪽을 선택했습니다.
잇몸질환(치주염)이 심한 전체임플란트 사례의
치료전 엑스레이
전체적으로 이렇게 치아상태가 좋지 않을 경우에는 치료를 시작하기 전에 걱정이 많을 수 밖에 없지요. 거의 모든 치아를 뽑아야 할 것 같은데 치아 없이 지내는 시간이 걱정되는 분들도 있고, 비용이 많이 들까바 걱정하는 경우, 아플까바 걱정하는 경우도 있어요.
하지만 그런 걱정 하나하나를 잘 해결하고 나면 치료는 생각보다 간단하고 빨리 끝날 수 있답니다. 하루에치과에서는 이런 경우 발치와 동시에 전체임플란트를 식립하고 당일에 바로 치아를 만들어 드리기 때문에 치아없이 지내는 시간이 없어요. 오히려 치료전보다 예쁜 치아를 끼고 집에 가십니다. 그래서 이미 수술하는 날 만족도가 좋습니다.
전체임플란트 치료전후
파노라마 비교
치료전 파노라마 상에서 심하게 치조골이 파괴된 자리인 왼쪽 위 작은어금니 부분은 임플란트를 심지 않고 연결하는 방식으로 처리했구요. 위쪽 어금니부분에는 간단한 상악동 이식술을 시행했습니다. 아래 오른쪽 송곳니부분에도 뻐이식이 진행되었어요. 이렇게 발치와 임플란트식립, 뼈이식이 모두 하루에 진행이 됩니다. 저는(이한나원장) 수천명의 전체임플란트 치료 사례를 시술했으며, 손이 빠르고 정확해서 수술시간이 빠릅니다. 수술시간이 빠르면 경과도 좋고 환자도 덜 힘듭니다.
이렇게 전체적으로 수술하고 치료하려면 아프지 않을까요?
치료의 내용이 많은만큼 통증에 대한 걱정도 많으실 겁니다. 하지만 하루에치과는 2004년경부터 수면마취를 이용해서 진정하에 수술을 해 온 경험을 가지고 있습니다. 공포가 심하신 환자분은 수면마취하 수술을 고려할 수 있습니다.
전체임플란트 & 수면마취 FAQ
완전한 전신마취가 아니라, 의식은 남아 있지만 **편안하게 졸린 상태로 진정되는 ‘의식하 진정요법’**입니다.
시술 중 대화나 호흡이 가능하면서도 공포나 긴장을 거의 느끼지 않습니다.
저희는 레미졸람(Remimazolam) 또는 미다졸람(Midazolam) 계열의
벤조디아제핀계 진정제를 사용합니다.
이 약물들은 내시경·심장시술 등에서도 널리 사용되는 안전성이 검증된 진정제입니다.
특히 레미다졸람은 빠른 회복, 호흡억제 위험 감소, 잔여효과가 적은 신세대 수면약물입니다.
네, 가능합니다.
레미다졸람을 사용할 경우, 대부분의 환자가 시술 종료 후 수 분 내 의식을 회복합니다.
다만 완전한 회복을 위해 약 30분~1시간 정도 안정시간을 가집니다.
케이스에 따라 다르지만,
수술시간은 보통 위아래 전체를 할 때 기준으로 평균 1시간 반 정도가 걸립니다.
단, 뼈이식이 동반되거나 난이도가 높을 경우 시간이 더 소요될 수 있습니다.
그리고 당일에 만드는 임시치아는 스캔을 통해 디지털로 정밀가공을 하기 때문에 약 2시간 정도가 걸립니다. 그래서 오전 일찍 수술하시면 점심 경에 귀가하실 수 있습니다.




