골질이 약하고 골폭이 좁은 경우
골양도 중요하지만 골폭이 좁고 골밀도 떨어지면
안녕하세요. 이한나원장입니다.
오늘 설명해 드릴 사례는 10년이상 틀니를 사용하시던 70대 여성의 전체임플란트 치료사례입니다. 오랫동안 틀니를 사용했는데 틀니가 점점 아파오고, 식사에 어려움이 있어서 임플란트 치료를 빨리 끝내고자 오셨어요.

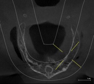
파노라마 엑스레이에서 보면 뼈가 충분해 보여서 쉽게 치료가 될 것으로 생각했지만 CT를 확인한 바 골의 폭경이 아주 좁아서 임플란트 식립에 어려움이 예상되었습니다.
파노라마 상으로 뼈가 좋아 보이지만
CT로 보면 골질이 안좋고 골폭이 좁아
위쪽에는 치아가 하나도 없이 10년 이상 틀니를 사용했고 아래에는 치아가 다수 남았지만 치조골이 모두 내려가 제거 후 전체임플란트로 계획을 했습니다.
왼쪽 아래에는 본원에 오시기 전에 임플란트 2개를 심어 두셨는데 치료가 너무 길어져 빠른 치료를 원하셨어요.
그런데 CT상으로 관찰한 바로 뼈가 있기는 한데 굉장히 무른 상태이고, 폭이 매우 좁아져 있었습니다. 치아를 뽑고 틀니를 오래 사용하신 분들 중 이렇게 뼈가 많이 약해져 있는 경우가 많습니다.
골질이 떨어지고 골폭이 좁아 좀 더 섬세한 수술이 필요
골폭이 좁고, 골질이 낮아서 초기고정을 얻기에 어려움이 있었지만 조심스럽게 수술을 진행해서 위에 10개, 아래 9개 식립했습니다. 식립한 지대주에 수술당일 임시치아를 만들어 드렸구요.
이런 경우에는 아무래도 골질이 좋은 분 보다는 골융합이 이루어지는 동안의 식사를 좀 더 조심해야 합니다. 이 분은 식이를 잘 조절해 주셔서 실패없이 모든 임플란트가 잘 고정이 되어 최종 보철을 이렇게 마무리했습니다.
간혹 그러면 임시틀니를 끼면 더 좋을까 생각을 할 수 있지만 골질이 약한 경우 임시틀니를 적용해도 조심하지 않으면 임플란트 실패가 있을 수 있어 오히려 저는 고정이 어느 정도 이루어지면 고정성 임시치아 방식을 더 선호합니다.
치료기간 4년 내원획수 4회 전체임플란트 치료완료
이렇게 해서 이 환자는 총 4회 방문 총 치료기간 4개월로 전체임플란트 치료를 완료했습니다. 수술, 실밥, 스캔, 세팅으로 방문하셨습니다.
타병원에서 식립한 임플란트도 같이 이용해서 앞니, 어금니 이렇게 나누어 몇 개의 임플란트들을 연결하는 방식의 지르코니아 보철을 완성했습니다.
간혹 각각 치아를 해 넣고자 하는 경우가 있지만 임플란트는 나사구조이므로 몇개가 연결되는 방식이 나사 풀림에 유리하고 교합력에 견디는 힘도 훨씬 더 강하게 되기 때문에 연결하는 방식으로 치료를 하게 됩니다.
이렇게 치료를 마무리 하시고 3년 정도 경과하셨고, 현재 정기검진 잘 받고 계십니다.
전체임플란트FAQ
임플란트라는 치료가 뼈에 임플란트 나사를 고정시켜서 보철을 만드는 방식입니다. 그런데 뼈의 질이 안 좋고 무른 상태라면 임플란트를 단단하게 잡아주는 능력이 떨어진다는 것을 의미하지요.
그래서 골질이 많이 떨어지는 곳에 식립한 임플란트는 치료 후에도 과도한 교합력을 피해주는 것이 좋습니다.
골질이 안좋다는 뜻은 골밀도가 떨어진다는 것을 의미합니다. 골질이 나빠지는 원인들은 다양한데요. 우선 나이가 들면서 골밀도가 떨어지는 경우가 많습니다. 특히 여성의 경우 폐경이후 골밀도가 빠르게 떨어집니다.
그리고 치아를 뽑고 시간이 경과해도 골밀도가 떨어지고요, 전신질환이나 약물에 의한 경우도 있고, 음주나 흡연도 영향을 준다고 합니다.
실제 임상에서 보면 식사를 골고루 하시고 평소에 운동을 하시는 분들이 턱뼈의 골밀도가 훨씬 우수했습니다.
골폭이 좁은 경우에는 뼈를 조심스럽게 쪼개어 임플란트를 고정시키게 됩니다. 그래서 보다 섬세한 수술 테크닉이 필요하게 됩니다.
일단 잘 위치시키고 골융합이 일어나면 일반적인 식사를 하기에는 문제가 없습니다. 하지만 너무 무리한 사용은 피해주는 것이 좋습니다. 아무래도 뼈가 지탱해주는 힘이 골폭이 넓은 분들에 비해서는 떨어지기 때문입니다.




