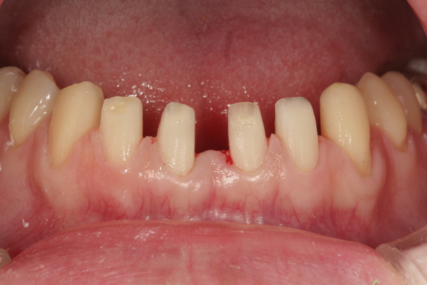
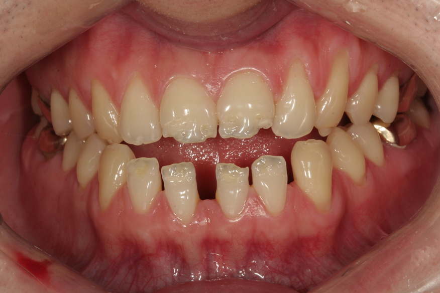
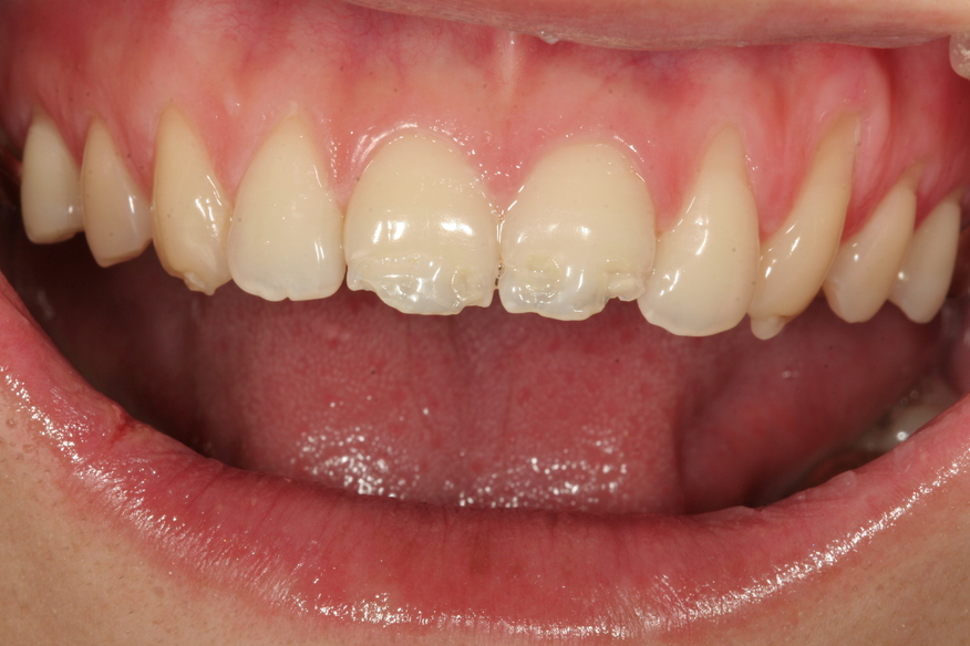
치료 전(개방교합/하악전돌)
이 케이스는 앞니가 서로 닿지 않는 개방교합과 하악전돌 경향이 함께 관찰되었습니다.
개방교합이 지속되면 앞니의 기능(발음·절단)이 불안정해지고, 스마일(미소) 라인이 고르지 않게 보이는 상태였습니다.
치료 목표(치아교정 vs 라미네이트의 통합 접근)
개방교합은 경우에 따라 치아교정이 우선이 될 수 있지만,
본 케이스에서는 환자 상태와 목표에 맞춰 라미네이트(세라믹 수복)를 중심으로
전치부의 교합(맞물림) 재구성과 스마일라인을 동시에 설계했습니다.
핵심 목표는 단순히 하얗게 보이게 하는 것이 아니라,
-
개방교합으로 생긴 전치부 공간 개선,
-
치아 길이·각도·비율 회복,
- 자연스러운 스마일 디자인을 완성하는 것이었습니다.
치료 과정(스마일 디자인 + 전치부 교합 재구성)
-
얼굴 비율과 입술 라인에 맞춘 스마일 디자인(스마일라인 설계)
-
상·하악 전치의 절단연 라인/중심선/대칭 조정
-
개방교합 특성을 고려한 전치부 교합 재구성
-
가능한 범위에서 최소 삭제 라미네이트 진행
-
임시 단계에서 발음, 기능, 교합 안정성을 확인 후 최종 세라믹 부착
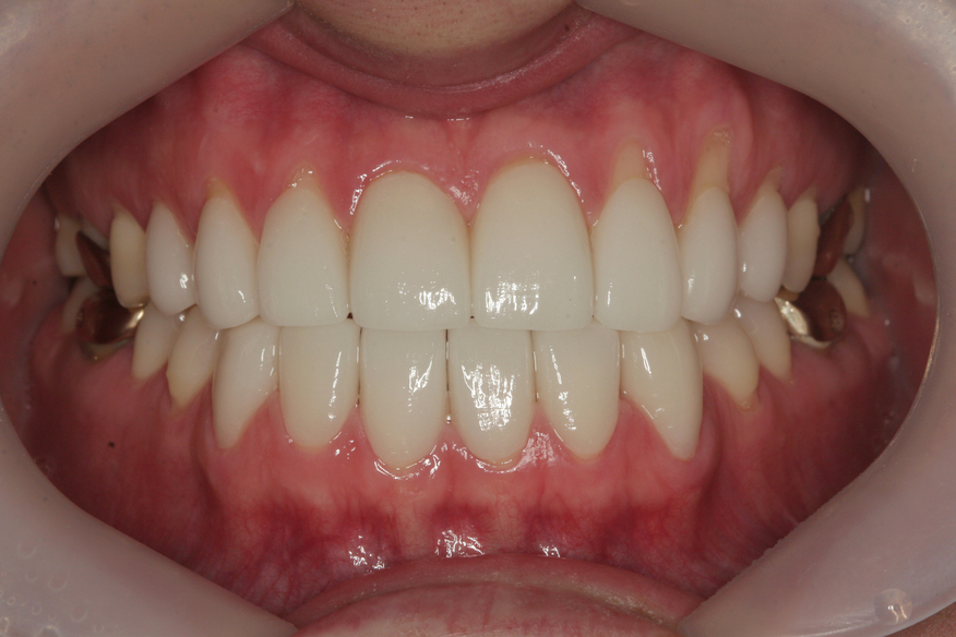
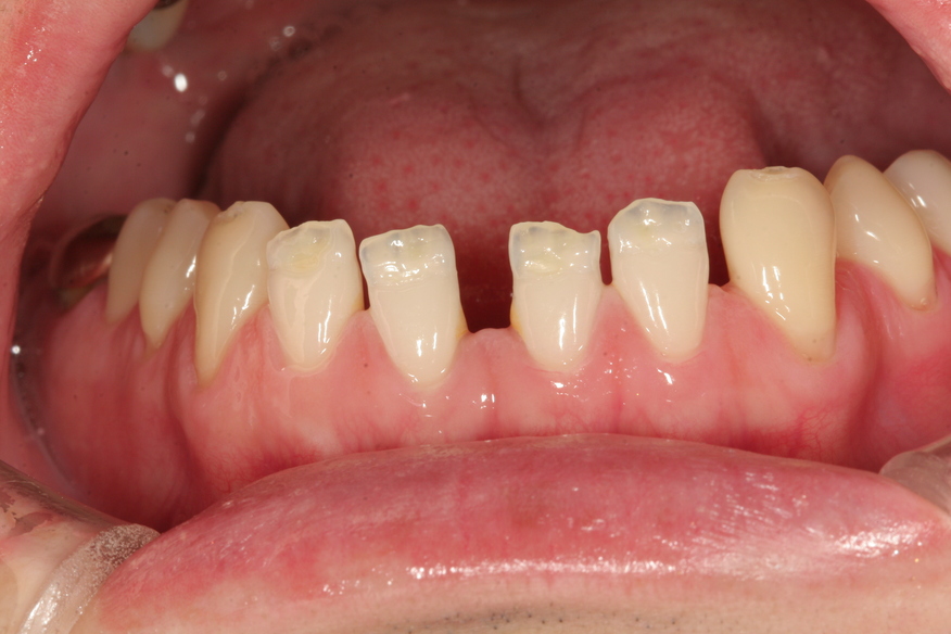
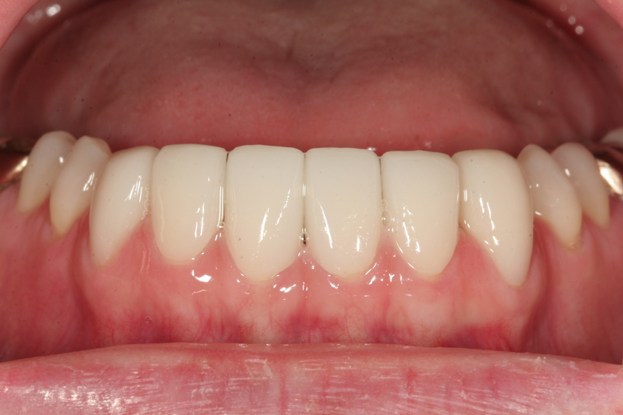
치료 후(스마일/치아미백 느낌의 톤 개선)
-
치아 길이와 형태가 정돈되면서 개방교합으로 보이던 공간감이 줄고, 앞니 맞물림이 안정화되었습니다.
또한 세라믹 라미네이트 특유의 맑은 광택으로 치아미백을 한 듯한 밝고 깨끗한 스마일이 완성되어, 정면·측면 모두에서 자연스러운 인상 개선을 확인할 수 있습니다.
※ 개방교합 치료는 교합 상태와 원인에 따라 치아교정, 라미네이트, 보철 중 계획이 달라질 수 있으며, 정밀 진단 후 개인 맞춤으로 진행됩니다.
전체임플란트FAQ
A. 개방교합은 원인(골격, 습관, 치아 배열, 교합 붕괴)에 따라 치료가 달라집니다. 많은 경우 치아교정이 근본 치료가 되지만, 케이스에 따라 라미네이트/보철로 전치부 교합을 재구성하여 기능과 스마일라인을 동시에 개선할 수 있습니다.
A. 라미네이트는 “치아의 형태·길이·각도”를 설계해 **앞니 맞물림(전치부 교합)**을 개선하는 데 도움이 됩니다. 다만 개방교합의 원인이 골격성/심한 습관성인 경우에는 교정 또는 추가 치료가 필요할 수 있어 정밀 진단이 중요합니다.
A. 골격성 하악전돌은 교정/수술이 필요한 경우가 있지만, 일부 케이스에서는 라미네이트 디자인으로 전치부의 시각적 돌출감과 스마일 인상을 부드럽게 조정할 수 있습니다. 가능한 범위는 교합 분석 후 결정됩니다.
A. 목표는 **최소 삭제(보존적 삭제)**입니다. 치아 상태와 디자인에 따라 삭제량이 달라지며, 가능한 경우 삭제를 최소화하고 임시 단계에서 교합·발음을 확인한 뒤 최종 세라믹을 진행합니다.
A. 치아미백은 자연치의 색을 밝게 하는 치료이고, 라미네이트는 색뿐 아니라 형태·길이·비율·대칭까지 함께 설계할 수 있습니다. 이 케이스처럼 마모/파절로 형태가 무너진 경우는 라미네이트가 더 적합할 수 있습니다.
A. 교합 안정과 잇몸 건강이 핵심입니다. 정기 검진, 스케일링, 필요 시 **나이트가드(이갈이/교합 보호)**를 권장하며, 라미네이트 수명은 관리 습관과 교합 조건에 따라 달라질 수 있습니다.




