안녕하세요, 하루에치과 이한나 원장입니다.
환하고 가지런한 미소는 자신감을 높여줄 뿐만 아니라, 사람의 인상을 좌우하는 중요한 요소입니다. 특히 노화된 치아는 마모와 변색, 미세한 균열뿐 아니라 잇몸이 약해지면서 치아 배열까지 틀어지기 때문에, 더욱 나이 들어 보이는 인상을 만들 수 있습니다. 오늘은 라미네이트를 통해 이러한 치아 노화를 극복하고, 젊고 생기 넘치는 미소를 되찾은 성공 사례를 소개해 드립니다.
1. 노화 치아의 증상과 라미네이트
노화된 치아는 닳아 짧아지고 누렇게 변색되면서 인상을 칙칙하게 만듭니다. 뿐만 아니라 잇몸이 약해지면서 치아를 단단히 잡아주지 못해 치아의 배열이 흐트러집니다. 라미네이트는 이러한 문제를 효과적으로 해결하는 대표적인 방법입니다. 치아 겉면에 얇은 세라믹 박편을 붙여 마모된 길이를 복원하고, 변색된 치아를 밝게 만들며, 틀어진 치아 배열까지 개선하여 전체적인 인상을 젊고 생기 있게 바꾸는 효과적인 안티에이징 솔루션입니다.
2. 환자 유형과 고민
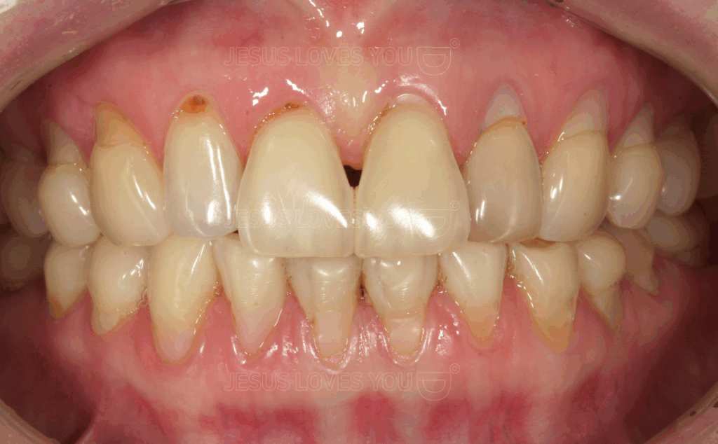
이 환자분은 치아가 전반적으로 닳아 짧아지고 누렇게 변색된 상태였습니다. 더불어 잇몸이 약해져 치아 배열까지 불규칙하게 틀어지면서 미소 지을 때마다 닳고 낡은 치아가 드러나 실제 나이보다 훨씬 더 나이 들어 보인다는 고민을 안고 계셨습니다. 이분은 아름다워지고 싶은 마음은 컸지만, 바쁜 일정 때문에 여러 번 치과에 내원하는 것에 대한 시간적 부담을 느끼고 있었습니다.
3. 노화 치아 치료 계획
환자분의 구강 상태를 정밀하게 진단한 후, 저는 라미네이트를 통한 안티에이징 치아성형을 계획했습니다. 이 치료는 단순한 시술을 넘어, 환자분의 얼굴과 조화를 이루는 이상적인 미소를 디자인하는 과정입니다. 환자분께서는 모든 고민을 해결하고 아름다운 미소를 얻을 수 있다는 점에 크게 만족하셨습니다.
4. 라미네이트 치료 과정
라미네이트는 정밀한 디지털 기술이 적용되는 특별한 과정입니다.
-
디지털 스마일라인 디자인: 환자분의 구강을 3D 디지털 스캐너로 스캔하여 치아 상태를 분석합니다. 이를 바탕으로 환자분의 얼굴에 가장 잘 어울리는 치아 디자인을 시뮬레이션하고, 환자분과 함께 최종 디자인을 결정합니다.
-
정밀 제작: 확정된 디자인에 맞춰 CAD/CAM 시스템이 치아를 조각하듯 세라믹을 깎아냅니다.
-
부착 및 마무리: 제작된 라미네이트를 치아에 부착하고, 섬세하게 다듬고 광택을 내어 자연치아와 완벽하게 조화되도록 마무리합니다.
5. 치료 결과와 환자의 만족도
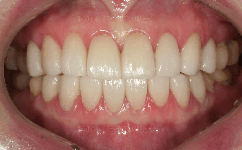
모든 치료가 완료된 후, 환자분께서는 확연히 달라진 모습에 크게 기뻐하셨습니다. 닳아 짧았던 치아가 이상적인 길이로 회복되었고, 틀어져 있던 치아 배열이 가지런하게 정리되었으며, 누렇던 치아는 깨끗하고 밝은 색상으로 변했습니다. 모든 고민을 해결하고 아름다운 미소를 되찾았다는 점에 큰 만족감을 표현하셨습니다.
6. 맺음말
치아 노화는 자연스러운 현상이지만, 이제는 이를 극복하고 활기찬 삶을 되찾을 수 있습니다. 저희는 첨단 기술을 활용한 라미네이트를 통해, 환자분들도 부담 없이 아름다움을 완성할 수 있도록 돕고 있습니다. 환자분의 미소와 건강을 모두 지키기 위해 최선을 다하겠습니다.
라미네이트 치료 관련 FAQ
라미네이트는 치아의 형태와 배열을 심미적으로 보정하는 데 효과적입니다. 심한 부정교합이나 근본적인 교정 치료가 필요한 경우가 아니라면, 라미네이트만으로도 틀어진 치아를 가지런하게 만들 수 있습니다.
네. 치아가 인상에서 중요한 부분을 차지하는 만큼 치아 노화로 인해 길이가 짧아진 치아를 복원하고 색상을 밝게 만들면, 전체적인 인상이 어려 보이고 생기 있게 바뀝니다. 이는 안티에이징의 중요한 요소가 됩니다.
라미네이트는 일반 치아와 동일하게 관리하면 됩니다. 꼼꼼한 양치질과 치실 사용이 중요하며, 정기적인 치과 검진을 통해 보철물의 상태를 점검하는 것이 좋습니다.




