콘텐츠로 건너뛰기
치과의사 이한나
비용안내
기술력
시설
전체 임플란트
스마일디자인
칼럼&정보
갤러리
위치/진료시간
X
누적 임플란트
90,696
치과의사 이한나
비용안내
기술력
시설
전체 임플란트
스마일디자인
칼럼&정보
갤러리
위치/진료시간
X
전체
임플란트
라미네이트
세라믹피스
디바인
치아교정
기타
전체
임플란트
라미네이트
세라믹피스
디바인
치아교정
기타
하루에 갤러리
당신의 치아 문제
95
%를 하루에 치료합니다.
하루에치과의 다양한 치료사례를 확인해보세요.
검색:
검색 버튼
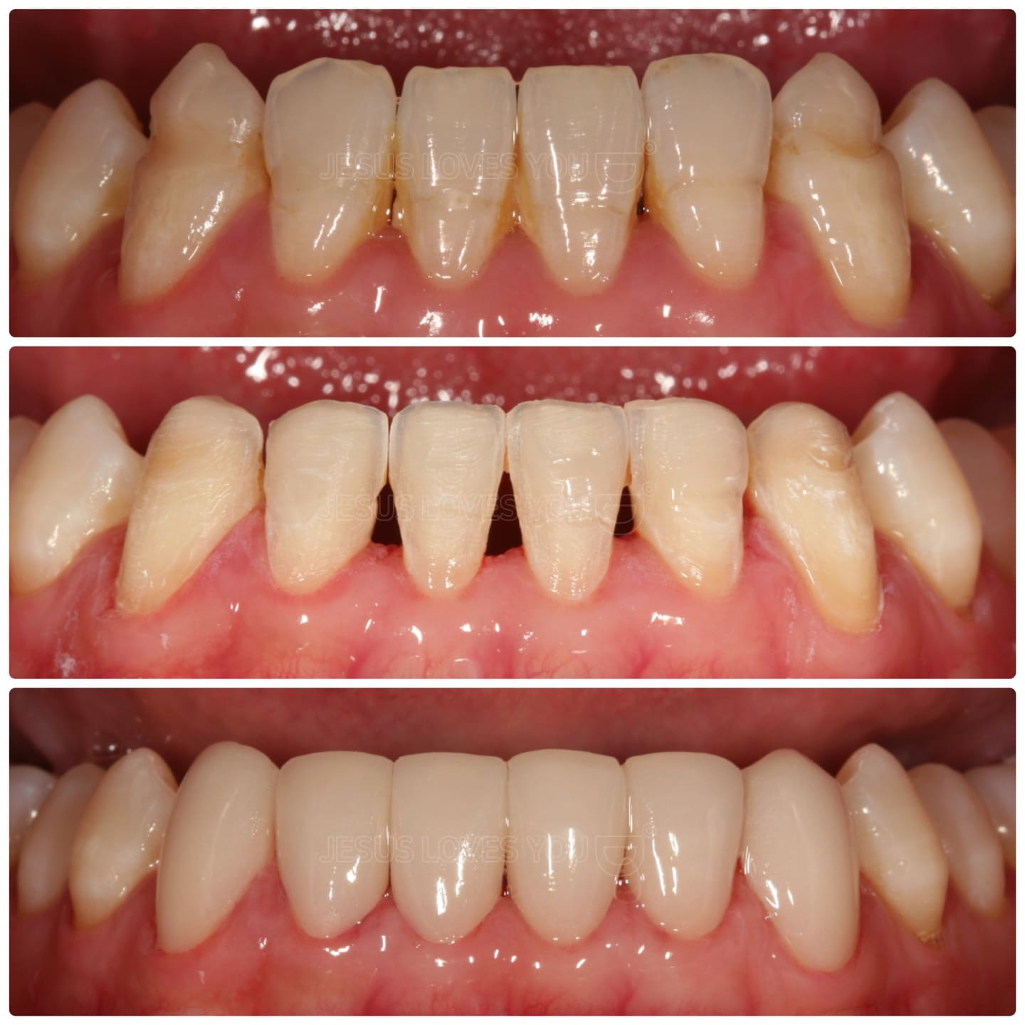
법랑질 형성부전증 치아 라미네이트, 치아 삭제 양은 얼마나 될까?
확인하기 →
2024-03-31