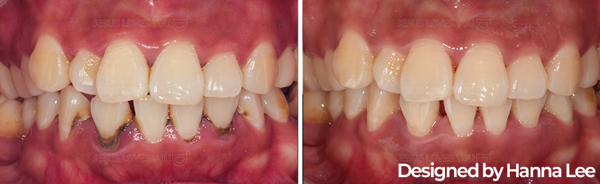
일반적인 누런치아 : 하루에치과 전문가치아미백 10회 치료전후

일반적인 누런치아치아미백으로
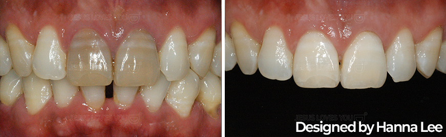
선천변색이나 얇아진 치아라미네이트

일반적인 누런치아는 치아미백이라는 방법으로 치아색상을 밝게 할 수 있습니다. 치아미백은 치아색상을 탈색시키는 원리이구요.

그러나, 원래 치아색상이 갈색이나 회색 같은 경우는 선천적 변색으로 치아미백으로 색상이 잘 밝아지지 않습니다. 그리고 치아의 겉껍질인 법랑질이 너무 얇아진 경우에도 치아미백이 잘 되지 않아요. 이런 경우들에서는 치아미백이 아닌 세라믹을 치아에 부착(본딩)하는 방식으로 치아색상을 조절해 주게 됩니다.

치석 등 외인성 착색은 스켈링과 치솔질로 미백효과

누런 치아, 양치로 해결 가능한 경우 vs 어려운 경우

양치로 개선 가능성이 있는 경우 (겉면 착색)

우선 치아미백을 하기에 앞서 기본적인 청결상태부터 점검이 필요하게 됩니다. 치석이나 타르 등 치아 겉면에 부착이 된 색소들은 치솔질과 간단한 스케일링, GBT 등으로 깨끗하게 됩니다. 이 정도로만 해도 훨씬 깨끗한 치아가 가능해요

다음은 치아 표면에 색소가 붙는 착색(stain) 원인들을 나열해 드릴께요.

  • 커피, 홍차, 와인, 카레 등 색소 음식

  • 흡연(니코틴/타르)

  • 착색 유발 구강청결제(일부 제품)

  • 치석/치태가 누렇게 보이는 경우

 

양치만으로는 어려운 경우 (치아 내부 변색)

치아 색이 내부에서부터 어두워진 상태는 양치로 개선이 거의 어렵습니다.

  • 유전적 치아색(원래 상아질 색이 진함)

  • 노화(법랑질이 얇아지고 상아질이 비침)

  • 치아 외상 후 변색(신경 손상)

  • 신경치료 후 변색

  • 약물·질환 관련 변색(예: 테트라사이클린 변색 등)

  • 불소 과다로 인한 반점/줄무늬

이런 경우에는 치아미백이나 라미네이트를 고려하게 되는데요. 변색의 정도나 법랑질의 두께 정도를 보고 적절한 방법을 선택하게 됩니다. 먼저 말씀드렸듯이 기본적인 누런이는 치아미백을 주로 많이 하구요. 변색이 심한 경우에는 라미네이트 기법을 주로 사용하게 됩니다.

 

테트라사이클린 항생제변색은 라미네이트로 치료

원인별 해결 방법 한눈에 정리

1) 커피·흡연 착색: 스케일링 + 폴리싱 + 관리
  • 추천: 스케일링(치석 제거) + 폴리싱(착색 연마)

  • 추가 옵션: 착색이 심하면 치아미백 병행

  • 관리 포인트: 커피 후 물로 헹구기, 흡연 후 즉시 양치(또는 가글), 착색 치약은 과사용 주의

2) 치아 본래 색/노화: 치아미백 또는 세라믹 비니어
  • 추천 1: 전문 치아미백(색을 “올리는” 치료)

  • 추천 2: 더 하얗고 균일한 톤을 원하면 세라믹 비니어(라미네이트)

  • 포인트: “밝기 한계”가 있어, 목표 톤이 높을수록 비니어가 더 예측 가능합니다.

3) 한 개 치아만 유독 어둡다: 신경치료 여부 확인 → 실활치 미백/보철
  • 외상/신경 손상/신경치료 치아는 한 개만 색이 탁해질 수 있어요.

  • 추천: 검사 후

신경치료 치아: 실활치 미백(가능한 경우)

구조가 약하면: 크라운/비니어로 색과 형태를 동시에 개선

4) 테트라사이클린 변색·불소 반점: 미백 단독으로 한계가 있을 수 있음
  • 추천: 미백으로 어느 정도 개선 후, 남는 줄무늬/반점은
    레진 본딩/비니어/부분 수복으로 정리하는 경우가 많습니다.

신경치료후 치아변색은 실활치 치아미백으로

“미백치약”은 도움이 될까?

미백치약은 대개

  • 표면 착색을 줄이는 성분(연마제/착색 분해 성분) 위주라서
    겉면 착색에는 도움이 될 수 있지만
    치아 내부 색 자체를 바꾸긴 어렵습니다.

또한 미백치약을 과하게 쓰면 치아 표면이 마모되거나 시림이 생길 수 있기 때문에 너무 장기간 사용은 오히려 좋지 않습니다.

치아미백 FAQ

양치만으로 누런 치아가 하얗게 될 수는 없어요 ㅠㅠ 누런 치아는 매일 먹는 음식 등에 의해서 내부까지 변색이 온 경우이기 때문에 단순하게 치솔질만으로 하얗게 되지는 않아요.

대부분의 경우는 치과에서 하는 전문가 치아미백으로 치아를 하얗게 할 수 있어요. 간혹 전문가 치아미백이 효과가 없거나 또는 너무 시려서 할 수 없는 경우라면 얇은 세라믹을 붙여서 치아색상을 밝게 보이게 하는 치료가 있습니다.

치석이나 담배의 타르 등으로 치아가 검게 보이는 경우에는 스켈링이나 GBT 등으로 깔끔하게 치료할 수 있습니다. 

GBT는 더 섬세한 스켈링이라고 보시면 됩니다. 미세한 가루가 치아사이사이를 청소해 주기 때문에 통증이 덜하고, 더 미세한 관리가 가능합니다. 

그러나 누런 치아를 하얗게 해 주는 치료는 아닙니다.

치아미백은 탈색원리를 이용하는 것입니다. 과산화수소 성분으로 치아속을 탈색하는 방식인데 그 농도를 잘 조절해야 하고, 온도를 조절해서 미백이 더 잘 되도록 하게 됩니다.

하루에치과 전문가 미백은 15분씩 3번 하는 것을 1세트로 구성하고 있어요. 병원마다 1회 기준이 다르니 꼭 확인이 필요합니다. 15분을 1회로 말하는 곳도 있어서요. 기본 1세트는 치료가 필요하고 1세트 받으시면 미백효과 눈으로 바로 확인이 가능한 정도입니다. 

그러나 색상의 정도나 환자의 기대치에 따라서 횟수를 증가시킬 수 있습니다. 보통 1주 단위로 10회까지 하면 아주 많이 밝아집니다. 치아가 예민하지 않는 분은 1주 이내에 다시 받으시는 경우도 있고 효과는 더 좋습니다.

개인 차가 있습니다. 착색을 유발하는 음식을 자주 드시거나 입 안에 머금고 있는 시간이 긴 경우 착색이 빨리 다시 됩니다. 그래서 전문가 치아미백을 주기적으로 받으시거나 또는  자가미백을 구비해서 중간중간 치아색상을 보완해 주시는 분도 있습니다.

답글 남기기