앞니에 임플란트가 필요한데 티가 나거나 보기 흉하게 될까바 걱정이라구요?
앞니임플란트 잘하는 노하우
앞니임플란트 잘하는 노하우
1) 가능한 빨리 치료합니다.
2) 필요하다면 뼈이식을 해서 정확한 위치에 임플란트를 심습니다.
3) 앞니 디자인을 잘 해야 합니다.
4) 치아색 기둥을 이용하고 투명감있는 재료로 보철을 해야 합니다.
5) 내부결합형 locking형태의 임플란트를 이용합니다.
1. 앞니에 임플란트를 하면 뻐드러지고 길어진다?
인터넷 상담을 하다보면 앞니에 임플란트를 심고
뻐드지고 길어서 고민이라고 하는 환자들이 꽤 많습니다.
그 이유는 앞니는 어금니보다 잇몸뼈가 얇아서
치아를 뽑고 나면 잇몸뼈가 금새 줄어들어버리기 때문에
얇은 잇몸뼈에 임플란트를 심다보면 흔히 생기는 일입니다.
이렇게 길고 뻐드러진 앞니임플란트 치료는 환자에게 많은 상처를 줄 수 있습니다.
그래서 처음부터 잇몸뼈가 부족하다면 잇몸뼈이식을 하여
뻐드러지는 방향으로 임플란트가 심겨지지 않도록 주의해야 합니다.
보통 남아있는 뼈의 양에 따라서 인공뼈를 이용하기도 하고,
때로는 조각뼈를 얻어서 이식하기도 합니다.
물론 뼈이식이라고 하는 것이 간단하지는 않지만 당장 힘들어도
좋은 결과를 얻기 위해서는 어쩔 수 없이 거쳐야 하는 과정입니다.
이것저것 신경이 거슬려 그냥 브릿지 치료를 선택하는 경우는
당장은 좋은 모양으로 끝날 수도 있지만 장기적으로 보면 잇몸뼈가 운동을 하지 못해
리모델링이 중단되어 뼈가 주저앉게 되고 그래서 사진을 찍으면 빠진 치아부분에 그림자가 생기게 됩니다.
그래서 나중에 임플란트 치료를 고려하게 되었을 때는 보다 더 많은 뼈이식이 필요하게 됩니다.
결론적으로 앞니가 소실되었을 때
가능하면 빨리 조기에 치료하는 것이
앞니 임플란트를 예쁘게 하는 방법의 첫번째 조건이라고 생각됩니다.
2. 앞니 임플란트는 디자인을 잘 해야한다.
앞니는 어금니와 달라 단순히 씹는 기능뿐 아니라 심미적인 기능을 해야 합니다.
그런데 만약 치아가 너무 길거나 뻐드러지거나 치아사이에 공간이 너무 심하게 생기게 되면
치료를 받고도 마음껏 대인관계를 하기가 힘들어지는 경우도 많습니다.
그러므로 앞니임플란트는 어금니임플란트와는 달리 미용적인 것을 충분히 고려해서 결정해야 한다고 봅니다.
그래서 치료하는 앞니 외에도 주변의 보이는 앞니 전체를 잘 살펴보고 디자인하는 것이 중요합니다.
3. 티타늄기둥이냐 지르코니움기둥이냐 그것이 문제로다.
앞니임플란트를 예쁘게 하는 방법 중 또한가지 중요한 것은 재료입니다.
임플란트의 뼈속에 들어가는 부분은 같으나 기둥을 치아색으로 하는 방법이 있습니다.
일반적으로 어금니에 사용되어지는 티타늄기둥에는 투명감있는 재료의 치아를 해 넣을 수가 없습니다.
왜냐하면 투명한 재료때문에 티타늄이 비쳐 회색으로 보이기 때문입니다.
그래서 요즘 특정 브랜드 임플란트회사에서는 치아색으로 되어 있는 기둥이 출시되어
치과의사를 기쁘게 하고 있습니다.
이런 치아색 기둥을 이용할 경우보다 자연스럽고 아름다운 앞니임플란트가 가능하게 되었습니다.
4. 앞니에 좋은 임플란트 디자인은?
그렇다면 다양한 임플란트 중에 어떤 것을 선택하는 것이 더 예쁠까요?
초창기에 개발되었던 외부결합형 임플란트보다는
내부결합형의 locking형태가 보다 안정적인 앞니의 잇몸라인을 보장한다고 말할 수 있습니다.
잇몸의 양의 더 풍부하고 또한 뼈의 소실이 거의 없어
장기적으로 안정적인 모양을 유지할 수 있다는 장점이 있습니다.
임플란트 치료의 초창기에는 임플란트 치료가 성공이냐 실패냐에 많은 관심이 있었습니다.
하지만 점점 임플란트 치료가 발달하면서
보다 자연치아에 가까운 임플란트 시술을 위한 많은 노력과 시도들이 하게 되었습니다.
특히, 앞니의 경우에는 외형적으로 보다 완벽한 치아의 모양을 완성하기를 원하는 환자들이 많기 때문에
최근에는 앞니 심미임플란트에 대한 관심이 보다 높아지고 있습니다.
앞니를 아름답게 치료를 마무리하기 위해서는
임플란트의 모든 수술기교는 모두 동원되어야 한다고 봐도 과언이 아닙니다.
그만큼 앞니 임플란트는 고려사항이 많고 시술이 예민하다고 할 수 있습니다.
모든 임플란트 치료에 있어서 중요한 부분이긴 하지만
특히, 앞니에 있어서 임플란트의 심는 각도, 심는 깊이, 상부 보철물의 종류는 중요합니다.
적절한 임플란트 각도와 깊이로 수술이 가능하려면 환자의 뼈상태가 아주 중요합니다.
앞니의 경우 뼈의 모양이 아주 얇기 때문에
앞니를 뽑고 조금만 시간이 경과해도 뼈가 얇아져서 아름다운 임플란트 식립이 어려워지는 경우가 너무 많습니다.
앞니의 경우에는 단순히 임플란트가 고정만 되고 씹는 기능만 회복되었다고 성공이라고 말할 수가 없습니다.
그렇기 때문에 환자는 좋은 시술결과를 위해서 뼈의 보존이 중요하다는 사실을 꼭 알아야 합니다.
그렇다면 뼈는 어떻게 보존이 될까요?
치아주변의 치조골은 치아가 있어야 존재하는 조직입니다.
그러므로 치아를 함부로 뽑기 이전에 임플란트에 대한 고려를 먼저 하면서 치료시기를 결정하는 것이 중요합니다.
다시 말해서 앞니 임플란트를 예쁘게 할 가능성을 높이려면
가장 중요한 것이 임플란트 시술시기입니다.
앞니를 뽑을 당시 임플란트 시술에 접근하는 것은 가장 아름다운 앞니임플란트를 가능하게 합니다.
발치 직후 임플란트 시술은 뼈의 보존과 임플란트 식립방향의 결정에 도움을 주며,
치아와 치아사이의 잇몸모양의 유지에 아주 중요합니다.
한 번 잘못 심은 앞니임플란트는 다시는 새로 시술이 불가능하다는 사실을 명심하고
처음 시술 시에 좋은 결정을 하도록 하세요.
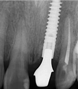
앞니원데이심미임플란트 독일 앵킬로스임플란트 설콘지대주이용
위의 앞니 6개 부위는 심미적으로 가장 중요한 역할을 하는 치아들입니다.그래서 해당부위에 치아를 상실하게 되어 임플란트 치료를 해야 한다면 보다 더 심미적인 결과를 고려해야 합니다.
발치, 임플란트식립, 임플란트지대주연결,임플란트최종보철 세팅까지 모두 하루에 치료를 마무리하는 앞니원데이임플란트 시술에서 독일산 앵킬로스임플란트의 설콘지대주의 이용은 놀라운 결과를 보장합니다.

최대한 자연스럽고 티나지 않는 치료결과에 이를 수 있게 해 주는 독일 앵킬로스임플란트의 설콘지대주는 지대주전체가 모두 치아색상으로 되어 있어 금속비침현상이 전혀 없습니다. 그래서 잇몸에서 치아가 솟아오르는 emergency profile을 형성하게 됩니다.
위 환자의 사례는 수술할 때 당일에 완성된 최종보철을 3개월 뒤 체크할 때 약간 아쉬움이 있어 다시 한 번 더 최종 세라믹보철을 한 사례입니다. 치아색상의 기둥이 설콘지대주입니다. 잇몸라인이 옆에 바로 대칭되는 앞니에 비해 약간 낮아서 물방울레이저를 이용해서 살짝 올려준 모습입니다. 완벽하게 둘의 길이를 맞출 필요는 느끼지 않아 적절한 높이로 조절을 했습니다.
앞니 한개 세라믹보철을 완성해서 바로 끼운 모습입니다. 주변치아의 텍스쳐를 최대한 반영해서 제작되었습니다. 하루에치과에서는 이런 세라믹보철을 당일에 치료하고 있으며 평균 2~3시간 정도가 소요됩니다.
세렉이라고 하는 세라믹가공밀링기와 프라임스캔이라고 하는 옵티칼 촬영장비가 이런 치료를 도와주는 장비들이며, 저희 치과에서는 해당 장비를 구비해서 사용한 지 19년 이상이 되었습니다. 장비와 프로그램을 오랫동안 다루어서 많은 노하우를 가지고 있습니다.

위의 사례에 해당하는 임플란트 엑스레이 사진입니다. 보시다시피 뼈손실이 전혀없이 잘 유지되고 있습니다. 앞니에는 독일 앵킬로스가 정말 좋은 결과를 가지고 있습니다. 2000년도에 시술하신 분들도 최근에 방문해서 확인한 바 처음 시술했을 당시와 유사하거나 오히려 더 자연스럽게 보철이 유지되고 있었으며, 뼈는 처음보다 더 충분히 리모델링이 일어나 안정감을 볼 수 있었습니다.
저 이한나는 1998년부터 임플란트 시술을 시작해서 25년이상 임플란트 임상경력을 보유하고 있으며, 일욕심이 많아서 진짜 엄청 많은 사례들을 시술했습니다. 특히, 앞니분야에 관심이 많아 특별히 앞니임플란트에 있어서 보다 심미적인 결과를 도출하기 위해 2002년부터 고가의 설콘지대주를 도입했고, 정말 아름다운 앞니임플란트의 결과에 이를 수 있었습니다.
한 번 입안에 해당 시술을 하신 분들은 다른 방식으로 치료를 하기가 힘들고, 했더라도 후회하시는 경우가 대부분이었습니다. 사진에서 다 표현하기 힘든 미묘한 차이까지 포함한다면 심미적인 결과로는 최고인 듯 합니다.
독일 앵킬로스 임플란트의 몇가지 장점을 알려드리겠습니다.
1.Tissue Care Concept 독일 앵킬로스 임플란트는 마찰에 의해 락킹이 이루어지는 Morse Taper Lock형태로 픽스쳐와 어버트먼트가 연결되기 때문에 나사형태의 조임으로 연결되는 보철에 비해서 움직임이 거의 없다는 아주 큰 장점이 있습니다. 어버트먼트(지대주)의 움직임이 적을수록 세균의 개임이 덜하게 되고 염증반응을 저하시켜 뼈와 잇몸의 모양유지에 유리하게 됩니다.
2. Soft Tissue Chamber 임플란트 픽스쳐의 horizontal offset과 살짝 패인형태의 지대주 사이에 연조직과 뼈가 충분하게 형성되어 뼈와 잇몸유지에 좋습니다.
3. Progressive Thread 임플란트 나사선의 모양이 뿌리쪽으로 갈수록 더 깊어지는 progressive thread형태여서 발치후 즉시 하중을 부여하는 원데이 술식에 더 유리합니다.
4. Blasting surface 임플란트 표면처리 부분인데요. 다양한 임플란트 표면처리 기법이 있겠지만 앵킬로스 브라스팅 기법은 티타늄 입자로 브라스팅을 하기 때문에 기타 산처리로 하는 방법에 비해 뼈에 더 유리합니다. 그래서 일반 임플란트의 골융합 기간보다 1~2개월 더 빨리 골융합을 얻을 수 있습니다.

하루에치과 이한나입니다. 이 사진은 제가 2002년도에 수입산 임플란트인 독일 앵킬로스를 이용해서 시술한 사진입니다. 당시 설콘이라고 심미성이 아주 탁월한 지대주가 처음으로 출시되어 앞니임플란트를 엄청 고민했던 이 분에게 처음으로 시술해 드렸어요.

이 사진은 치료전 상태입니다. 금속도재보철, 그러니까 금속프래임에 도자기를 올려서 만든 브릿지를 착용하고 있었는데 속에 치아들이 썩어서 치료가 필요한 상태였습니다.

치료전 상태를 좀 더 상세히 보실 수 있는 사진이네요. 보철의 마진 부분이 떠 있고 일부 노출된 부위에 치아가 패여 있었으며, 금속라인도 보기는 상황이었습니다.

치아의 뒷면을 보면 이런식으로 금속이 보입니다.

그래서 보철을 뜯어봤더니 이렇게 모두 썩어 있었어요. 보기에는 형체가 있어서 쓸 수 있겠다 싶지만 실제 속이 다 상해 있어서 사용이 불가능한 상태였습니다.

결국 뿌리 아래까지 상한 치아들을 모두 발치하고 임플란트를 심기로 했습니다.

최대한 자연스러운 결과를 원했기 때문에 이렇게 치아 하나에 하나씩 임플란트를 식립했고, 기둥도 흰색의 기둥으로 금속을 이용하지 않았습니다. 해당 설콘지대주가 아주 고가이기 때문에 흔하게 하지는 않지만 앞니가 정말 고민이고 컴플렉스인 분들에게는 정말 소중한 재료입니다.

그렇게 해서 치료를 마무리한 사진입니다. 이 분은 너무 가지런해서 치아를 한 느낌이 싫다고 해서 최대한 자연스러운 치아디자인과 색상을 표현했습니다. 일부러 약간은 덜 가지런한 느낌으로 자연스러운 스마일을 완성했습니다.
앞니임플란트 FAQ
A. 앞니는 미소를 지을 때 가장 눈에 띄는 부위이기 때문에, 금속 색이 비치면 자연스러움이 떨어집니다.
설콘(zirconia) 지대주는 치아색 재질로 되어 있어 투명한 잇몸 아래에서도 금속 그림자가 생기지 않으며, 자연치와 거의 구분되지 않는 심미적인 결과를 얻을 수 있습니다. 또한 생체친화적이라 잇몸 염증이나 색변화의 위험도 적습니다.
A. 설콘 지대주는 단순한 도자기 재질이 아닌, 고강도 지르코니아(zirconia) 재료로 제작됩니다.
이는 의료용 금속보다도 강도와 내마모성이 높아 일상적인 저작에는 전혀 문제가 없습니다.
특히 정밀한 디지털 시스템으로 제작하면 정확한 적합도와 장기 안정성이 확보되어 앞니 부위에서도 안정적인 결과를 유지할 수 있습니다.
A. 네, 가능합니다.
디지털 가이드 시스템과 CAD/CAM 기술을 활용하면, 수술 당일에 임플란트 식립과 임시치아 장착까지 한 번에 진행할 수 있습니다.
이를 원데이 앞니임플란트라고 부르며, 수술 후 바로 일상생활과 대화가 가능하고 심미성도 확보됩니다.
하지만, 염증이 너무 심하거나 뼈의 파괴가 너무 심한 경우에는 심미적인 당일완성 원데이임플란트가 불가능한 경우도 있습니다.