임시틀니 불편으로 임플란트
틀니 하려고 이를 모두 뽑았지만 결국 전체임플란트로 결정
안녕하세요. 이한나원장입니다.
오늘 설명해 드릴 사례는 80대 여성 환자로 치아가 좋지 않아서 틀니를 하려고 치아를 모두 뽑고 임시틀니를 만들어 끼고 있었는데 너무 불편해서 임플란트를 하려고 저에게 오셨습니다.
틀니를 잘 적응해서 쓰시는 어르신들도 있지만 개인에 따라서 틀니 적응이 힘드신 경우도 있어 요즘은 임플란트 치료를 고려하시게 됩니다.
완전 무치악 상태
좌우 상악동 부위 뼈가 부족
틀니를 하시려고 치아를 모두 뽑았고 잇몸은 모두 다 나은 상태로 내원하셨어요. 파노라마 엑스레이상으로 하악골은 양호한 편이었으나, 상악 구치부에는 상악동이 아래로 쳐져 있어 뼈가 부족한 상태였습니다.
그래서 전체임플란트로 치료를 결정하고 상악동 윈도우 방식의 뼈이식을 계획했어요.
상악에는 12개, 하악에는 12개 식립, 상악동 뼈이식 병행
상악에 12개, 하악에 12개의 충분한 개수의 임플란트를 식립했습니다. 임시틀니 상태에서 너무 힘들었다고 했고 연령이 많아 골밀도가 떨어지는 점을 감안했어요.
조금이라도 일찍 식사를 가능하게 하려는 목적으로 충분한 개수를 심어서 수술당일부터 고정성 임시치아를 해 드렸습니다. 가벼운 식사는 가능한 상태로 만들어 드렸습니다.
우측에는 고정이 나와 상악동 뼈이식과 임플란트 식립을 동시에 할 수 있었지만 좌측에는 뼈가 무르고 상태가 좋지 않아 상악동 윈도우 뼈이식만 하고 제일 마지막 부위에 임플란트만 심어두었습니다.
1차 수술 후 6개월차에 뼈이식 부위에 임플란트 식립
1차 수술 후 6개월이 경과한 때에 먼저 심어둔 임플란트는 최종보철을 준비하고 좌측 위 어금니 부위에 추가 임플란트를 식립했습니다.
물론 기다렸다가 한꺼번에 같이 마무리를 하면 의료진은 좀 더 손쉽기는 하지만 고령인 관계로 보다 빨리 식사를 편하게 해 드리려고 먼저 골융합이 일어난 임플란트 부분을 먼저 스캔바디 스캔을 했습니다.
뼈이식 상태가 좋아 초기고정이 충분해 3개월 뒤 마무리 계획을 했어요.
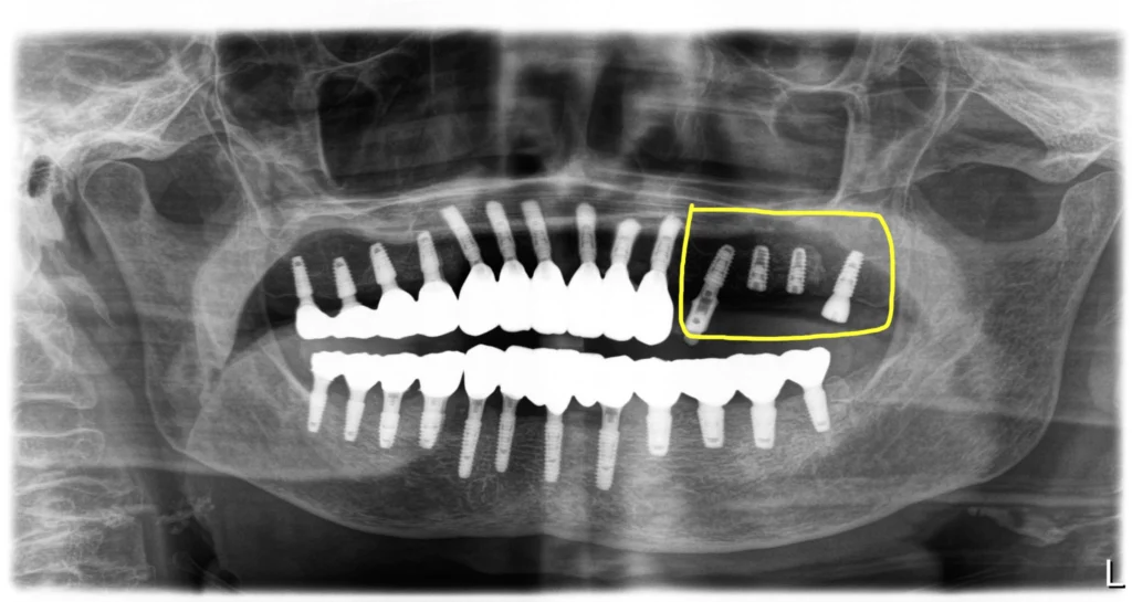
먼저 식립한 임플란트 부분 먼저 마무리
1차 수술시에 식립한 대부분의 임플란트를 먼저 최종보철을 만들어 끼운 상태입니다. 추가식립 부위는 3개월 이후에 다시 마무리를 하더라도 식사를 편하게 해 드리려고 먼저 치료를 해 드렸어요.
노랑색 네모 부분은 3개월 뒤에 다시 스캔을 해서 최종보철을 마무리해야 합니다.
6회 내원 치료기간 9개월 전체임플란트 치료완료
상악 어금니부분에 뼈가 부족해서 다소 치료기간이 길어지긴 했지만 치료 잘 받으셨습니다. 거동이 불편해서 매번 아드님이 모시고 오셨지만 치료는 아주 잘 받으셨네요.
원래 치아가 약간 옥니형태였다고 하셔서 원래의 치아모양을 감안해서 치아모양을 잡아드렸습니다. 이제 2년 정도가 다 되어 갑니다. 정기 체크 잘 받고 계시고 식사도 잘 하고 계십니다.
전체임플란트FAQ
80대도 건강상태에 따라서 가능합니다. 심지어 90대도 치료 받으시기도 합니다. 다만, 고령이기 때문에 건강상태 체크를 좀 더 면밀히 해야 하고 수술시 힘들지 않도록 해 드려야 합니다.
무리하게 하실 이유는 없습니다. 숙련된 의료진에게 치료를 받으신다면 연령의 문제는 크지 않습니다. 고혈압, 당뇨 등은 조절이 되면 가능하시고 혈전용해제나 아스피린 등을 복용중이신 경우에는 주치의 지도하에 일시 중단 하신 후 수술을 받으실 수 있습니다.
전체임플란트 수술당일 임시치아는 바로 딱딱하고 단단한 음식을 드시면 안됩니다. 부드러운 음식 위주로 섭취가 필요합니다. 최소 6~8주 정도는 아주 조심해야 하는 기간입니다.
특히 채소 즉, 김치나 콩나물 등의 섬유질이 있는 것들은 가위나 칼로 잘게 다져서 드셔야 합니다. 채소는 단단한 음식이 아니라고 생각할 수 있는데 육류와 마찬가지로 주의가 필요합니다.
주로 감자, 두부, 계란 정도의 음식은 문제가 되지 않고 그런 음식도 있는 힘껏 씹는다기 보다는 살짝 눌러 드시는 정도로 드셔야 합니다.
고전적인 방법은 힘들 수 있습니다. 하지만 저희 하루에치과는 디지털 방식으로 보철 본을 뜹니다. 즉, 스캔을 하는데 작은 카메라로 입 안을 촬영하면 본이 다 떠집니다. 그래서 많이 힘들지 않습니다.




