골다공증 전체임플란트
골다공증 70대 여성 만성치주염으로 전체임플란트
안녕하세요. 이한나원장입니다.
오늘 설명해 드릴 사례는 70대 여성 환자로 골다공증을 앓고 있어 턱뼈의 골밀도가 낮은 경우입니다.
골밀도가 낮은 경우 임플란트를 강하게 잡아줄 수 없어서 초기고정을 얻기가 어려운 부분이 있어서 임플란트 치료시 좀 더 세심한 주의가 필요합니다. 특히, 하악보다 상악골이 대부분 더 골질이 좋지 않기 때문에 상악부위에서는 상악동저의 피질골에 임플란트를 고정해 주는 것이 좋습니다.
다수의 치아상실
남은 치아들 심한 치주염으로 흔들림
여러 개의 치아들이 이미 상실되어 있었고, 남은 치아들은 치아뿌리의 염증이 있거나 치주염으로 이미 많이 흔들리는 상태였습니다.
그래서 남은 치아 모두 발치를 하고 전체임플란트치료를 계획했습니다. 그리고좌측 상악 구치부의 경우 뼈가 많이 부족해서 상악동 뼈이식도 병행하기로 했어요.
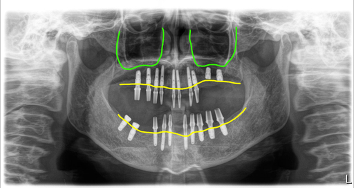
상악에는 10개, 하악에는 10개 식립 수술당일 임시치아
상악에 총 10개의 임플란트를 식립했어요. 우측 어금니 부위에는 본인의 뼈를 이용해서 상악동 리프팅을 간단하게 시행해서 초기고정이 나와서 임시치아에 포함시켰습니다.
좌측 어금니 부위에는 골이식량이 많고 고정이 충분하지 않아서 뼈이식과 함께 임플란트를 식립했지만 잇몸 속에 임플란트를 넣어 두어 외부 자극으로부터 보호해 주었습니다.
위 8, 아래 10개의 임플란트에 지대주를 연결해서 수술당일 임시치아를 해 드렸어요. 골밀도가 떨어져서 고정이 걱정되었지만 수술이 잘되어서 임시치아를 적용할 수 있었습니다.
골밀도가 낮아 6개월 기다린 후 완성
상악 좌측 구치부의 상악동 윈도우 뼈이식부위 때문에 6개월 기다렸다가 치료를 마무리했어요. 그런데 이 분은 골밀도가 낮았기 때문에 만약 상악동이식이 없었다고 하더라도 6개월 정도 기다리는 방법이 더 좋았을 거라고 생각이 됩니다.
브릿지 타입으로 지르코니아에 맞춤지대주 세멘트 방식으로 치료를 했으며, 구치부는 나사구멍을 형성해서 이후 보수에 유리하도록 디자인했습니다.
그리고 치아와 치아 사이에 공간을 두어 치간치솔로 위생적으로 관리할 수 있도록 디자인했습니다.
4회 내원 치료기간 6개월 전체임플란트 치료완료
상악동 뼈이식도 있고, 골밀도도 낮았지만 수술을 한번에 끝냈고, 수술당일 임시치아도 적용할 수 있어서 비교적 양호하게 치료가 진행되었던 환자입니다.
환자분이 아주 꼼꼼하신 분이어서 치료후에도 관리를 아주 잘 하고 계십니다. 간혹 임플란트 치료후 입에서 냄새가 나지 않을까? 걱정하는 댓글들을 읽게 되는데요. 제가 하는 방식으로 치아를 만들고 환자가 기본적인 관리만 하면 입에서 냄새날 일은 없습니다.
전체임플란트FAQ
상태에 따라서 다르겠지만 대부분의 골다공증환자들의 경우 임플란트 치료가 가능한 경우가 더 많습니다.
일단 치과에 방문하셔서 엑스레이와 CT로 뼈상태를 확인해야 하고 수술할 때 골밀도에 맞게 적절하게 변형된 수술방법이 채택되어야 합니다.
골다공증 약이나 주사 중에서 임플란트나 발치 등을 했을 때 골파괴를 유발하는 약이나 주사가 있습니다.
주로 비스포스포네이트 계열이라고 하는데 환자분들이 일일이 알 수는 없어서 골다공증 약이나 주사를 처방해 준 주치의에게 임플란트치료시 주의사항을 의논하는 것이 좋습니다.
특정 약이나 주사의 경우 일정기간(해당 약이 효력이 떨어지는 기간, 주로 6개월 정도) 후에 임플란트나 발치를 권장합니다.
아무래도 뼈가 좋은 분에 비해서는 조금 더 조심해야 합니다. 너무 단단한 음식은 삼가해 주시고 위생관리에 신경을 쓰는 것이 좋습니다.
무리하게 사용할 경우 임플란트가 실패할 가능성이 뼈가 좋은 분에 비해서는 높습니다.




