50대 심한 잇몸질환
치주염 심해 모든 치아 흔들림 전체임플란트
안녕하세요. 이한나원장입니다.
오늘 설명해 드릴 사례는 50대 여성 환자로 치주염(잇몸질환)이 심해 치조골이 모두 녹아서 치아들이 모두 흔들려 전체임플란트로 치료한 경우입니다.
잇몸이 나빠지는 과정은 먼저 치은염이라고 잇몸살에만 염증이 먼저 생기고 이후 더 관리가 안되면 치아면을 따라서 치석이 자라나면서 치아뿌리쪽까지 치석으로 덮히면서 치조골까지 녹이게 됩니다.
치주염 초기나 중기까지는 빨리 치료하면 더이상 뼈가 녹지 않도록 치료해서 치아를 더 쓸 수가 있지만 말기에 이르게 되면 치아뿌리가 치조골에 붙어있는 부분이 너무 적어서 뽑아야 합니다. 그대로 두면 뼈가 더 많이 없어져 임플란트 치료에도 불리하게 됩니다.
남은치아들이 모두 흔들려 식사어려움
치아들이 많이 남아있지만 겉으로 보기에는 그냥 치아가 멀쩡해 보이지만 사실상은 치조골이 모두 녹아서 치아들이 많이 흔들려서 치아의 기능을 제대로 할 수 없는 상태였습니다.
모두 치주염 말기에 해당해 치아를 발치하고 임플란트 치료를 진행하기로 결정을 했습니다. 상악 우측부에는 뼈가 있는 부위를 이용해서 식립을 하기로 했고, 좌측부에는 뼈가 너무 많이 없어서 상악동 윈도우 뼈이식을 하면서 식립을 하기로 했습니다.
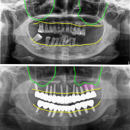
상악에는 11개상악동 윈도우
하악에는 9개 식립 수술당일 임시치아
상악 우측 어금니 부위에는 염증이 심해서 뼈가 많이 녹아있는 부분은 피해서 식립을 했고, 좌측 어금니 부위는 상악동 윈도우 뼈이식을 하면서 임플란트를 식립했어요.
발치를 하면서 뼈이식과 동시에 임플란트를 식립했고, 아래는 9개를 식립했습니다. 수술당일에 위쪽에 2개는 잇몸 속에 넣어두고 나머지의 임플란트는 지대주를 연결해서 임시치아를 제작해서 끼워 드렸습니다.
4회 내원 치료기간 6개월 전체임플란트 치료완료
전체 내원 4회 (수술, 실밥, 스캔, 세팅) 치료기간 6개월에 모든 치료를 완료하셨습니다. 위쪽 왼쪽 상악동 윈도우 부분은 초기고정이 약해서 수술시에 잇몸 속에 임플란트를 넣어두었어요.
그리고 최종 보철을 할 때 절개를 해서 스캔바디를 끼운 후 촬영을 하고 2주 뒤에 최종보철을 세팅했습니다. 일반적으로 상악동에 윈도우 방식으로 대량의 뼈를 넣는 경우는 6개월 정도 기다리게 됩니다.
이 분은 치료하신 지 4년이 지났고 작년까지 검진 잘 오셨는데 올해는 안오셨네요. 6개월마다 검진이 좋으나 상태가 좋다면 1년에 한 번 정도는 꼭 점검을 해 주시길 부탁드립니다.
즉시하중 수술당일 임시치아 전체임플란트,
하루에치과의 25년 노하우로 완성합니다.
전체임플란트FAQ
치주염이 심한 치아를 그대로 방치해서 입 안에 두게 되면 그 치아 주변으로 치조골이 심각하게 파괴가 되어 이후 임플란트 치료를 하려고 할 때 이용할 수 있는 뼈가 없게 됩니다.
그래서 치주염이 있다면 치료를 할 수 있는 단계에서는 빨리 치료를 하시고 잘 유지하시면 되지만 이미 치료시기를 놓쳐서 뽑아야 할 정도라면 빨리 뽑아 두시는 것이 좋습니다. 당장 임플란트를 할 수 없는 상황이라도 발치를 먼저 해 두시길 부탁드려요. 정말 뼈가 많이 망가집니다.
그렇지 않습니다. 잇몸질환의 유무보다는 잇몸뼈의 상태가 더 중요합니다. 잇몸질환은 치아를 제거해 주면 좋아집니다. 물론 임플란트를 심고 다시 정말 더럽게 하면 다시 문제는 생길 수 있겠지만 일단 치아를 뽑고 임플란트 치료를 깨끗하게 하면 확실히 좋아집니다.
이제 새로 만든 임플란트 치아는 자신의 치아때처럼 더럽게 하지 않고 잘 관리해 주면 오래오래 잘 사용하실 수 있습니다.
치주염이 있다고 해서 치료기간이 더 걸리는 것은 아닙니다. 뼈의 상태만 좋다면 2개월에도 끝나는 환자도 있어요.
하지만 치주염을 오래 방치해서 뼈 상태가 아주 좋지 않다면 치료기간이 다른 사람들보다 더 걸릴 수는 있습니다.
그러므로 치주염이 있는 분들은 뼈를 잘 보존하시는 것이 중요하고 치료가능한 치아는 치료하고 뽑아야 하는 치아는 뽑아 두시는 것이 잇몸뼈의 유지에 도움이 됩니다.




