40대 남성 충치
전체치아 충치로 뿌리만 남아
미국 델라웨어에서 한국으로
전체임플란트
안녕하세요. 이한나원장입니다.
오늘 설명해 드릴 사례는 40대 남성 환자로 전체 치아에 충치가 모두 이환된 다발성 우식 환자의 전체임플란트입니다.
미국 델라웨어에 거주하시는 분으로 한국으로 임플란트 치료를 받으러 오셨어요. 10년 전에 미국에서 임플란트 한 개 치료 받으시고 치아관리를 제대로 하지 않았고, 콜라를 자주 드셨다고 합니다.
전체 치아가 모두 치아우식증, 즉 충치로 뿌리만 남은 치아도 많고 머리가 있다고 해도 곧 머리가 부러져 나갈 지경이었습니다.
치아우식증으로 대부분의 치아가 뿌리만 남음
콜라를 많이 드셔서 일까요? 이렇게 모든 치아가 다 썩어서 망가지기도 어렵지 않겠나 싶은데아무튼 임플란트 1개를 제외하고 모든 치아가 다 썩어서 망가져 있었어요.

치아의 머리가 없어져도 뿌리를 살려서 치료할 수도 있지만 이렇게 모든 치아가 머리가 없다면 그런 치료를 시도할 수가 없을 것 같았습니다. 혹시나 그렇게 치료한다고 해도 다시 충치가 진행될 가능성도 높기도 하구요.
그래서 결국 모든 치아를 제거하고 전체임플란트로 치료하기로 했고, 예전에 심은 임플란트는 이용해서 마무리하기로 했습니다.
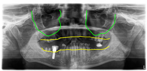
상악에는 10개 상악동 리프팅
하악에는 12개 식립 수술당일 임시치아

상악은 양쪽 모두 상악동 리프팅 방식의 간단한 뼈이식을 하면서 총 10개의 임플란트를 식립했으나, 뼈이식한 부위의 4개는 초기고정이 좋지 않아서 잇몸 속에 두고 앞쪽에 심은 6개의 임플란트를 이용해서 8개의 임시치아를 만들었어요.
그리고 하악은 이전에 심은 임플란트는 그대로 두고 추가로 12개의 임플란트를 심어서 10개의 임플란트에 지대주 연결해서 임시치아를 적용했습니다.
이렇게 해서 수술당일 임시치아를 해 드렸어요.
6개월후 스캔바디 스캔
수술 후 6개월째 스캔바디를 넣고 스캔을 했습니다. 이렇게 하면 잇몸 속에 심겨진 임플란트의 위치를 알 수 있어 지대주와 크라운을 디자인 할 수 있게 됩니다.
상악 어금니 부분에는 잇몸 속에 임플란트가 있어서 절개를 해서 스캔바디를 위치시켰고, 절개를 했기 때문에 2주 후에 최종 세팅을 했습니다.

이렇게 잇몸과 위치가 조화롭게 기둥 부분을 먼저 디자인하게 되는 것입니다.
브릿지타입지르코니아 보철
자연치와 유사한 모양
리프팅한 뼈이식 조직도 잘 정착이 되었고 모든 임플란트가 문제없이 골융합이 이루어졌습니다.
잇몸이 좋지 않은 경우가 아닌 충치로 치아를 뽑게 된 경우라 잇몸뼈의 라인이 아주 좋습니다. 이렇게 잇몸뼈의 라인이 평평하면 관리에도 유리하고 심미적으로도 보기에 좋습니다.

4회 내원 치료기간 6개월 전체임플란트 치료완료
전체 내원 4회 (수술, 실밥, 스캔, 세팅) 치료기간 6개월에 모든 치료를 완료하셨습니다. 상악 좌우 구치부에 뼈이식한 부분은 초기고정이 약해서 수술시에 잇몸 속에 임플란트를 넣어두었어요.
그리고 최종 보철을 할 때 절개를 해서 스캔바디를 끼운 후 촬영을 하고 2주 뒤에 최종보철을 세팅했습니다. 일반적으로 일반적으로 초기고정이 좋지 않은 경우는 조금 더 기간을 두고 2차를 진행하는 것이 안전합니다.
이 분은 치료하신 지 3년이 지났고 미국에 계시기 때문에 미국에서 기본적인 점검 하시고 올해 한 번 내원하셨는데 상태가 아주 양호했습니다.
즉시하중 수술당일 임시치아 전체임플란트,
하루에치과의 25년 노하우로 완성합니다.
전체임플란트FAQ
남아있는 치아의 상태에 따라 달라집니다. 치아의 머리를 이용할 수 있거나 또는 치아의 뿌리가 튼튼하고 신경치료를 잘 할 수 있다면 치아를 살려서 치료할 수도 있어요.
하지만 그 반대로 치아의 머리가 완전히 없고, 썩은 부분이 뿌리쪽으로 내려가 있거나 뿌리 상태가 좋지 않다면 치아를 뽑고 임플란트로 치료를 해야 합니다.
충치가 심해서 치아를 뽑아야 하는 상태에서는 치아뿌리에 염증이 없는 상태라면 치아를 빨리 뽑지 않아도 됩니다.
오히려 뿌리염증이 없는 상태라면 치아를 유지하고 있는 쪽이 치조골 보존에 더 좋습니다.
일반적으로 잇몸병이 있는 치아는 치아를 가능성이 없다고 판단될 때 가능한 빨리 뽑아야 하는 것과는 정반대랍니다. 그래서 치아의 상태에 따라서 발치시기는 달라져야 합니다.
치주염이 심해서 전체 발치를 하고 전체임플란트를 한 환자와 충치가 심해서 전체임플란트를 한 환자의 치료결과는 다소 차이가 있을 수 있어요.
그 이유는 잇몸뼈의 모양이 다르기 때문입니다. 잇몸은 좋은데 단지 충치가 있어서 발치를 한 경우라면 치조골의 모양이 좋기 때문에 임플란트 치료를 해도 티가 거의 나지 않게 치료를 할 수가 있고 치아의 모양도 아름답게 마무리될 가능성이 높습니다.
그러나 치주염이 심하거나 또는 충치로 치아를 뽑았지만 치아뿌리 염증이 심한 경우였다면 아무래도 뼈의 손실이 많아서 치료후 치아의 길이가 길어지거나 치아와 치아사이의 구멍이 조금은 더 생기기가 쉽습니다.
그러므로 임플란트를 준비하는 입장에서는 치조골의 모양을 잘 유지해 주는 것은 중요합니다.




