콘텐츠로 건너뛰기
치과의사 이한나
기술력
시설
전체 임플란트
스마일디자인
칼럼&정보
갤러리
위치/진료시간
유튜브
치과의사 이한나
기술력
시설
전체 임플란트
스마일디자인
칼럼&정보
갤러리
위치/진료시간
유튜브
누적 임플란트
90,696
치과의사 이한나
기술력
시설
전체 임플란트
스마일디자인
칼럼&정보
갤러리
위치/진료시간
유튜브
X
전체
임플란트
라미네이트
세라믹피스
디바인
치아교정
기타
전체
임플란트
라미네이트
세라믹피스
디바인
치아교정
기타
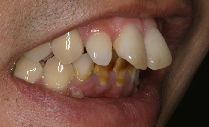
뻐드렁니/앞니돌출/토끼이빨/앞니2개 올세라믹크라운 나머지 6개 라미네이트
라미네이트
Last Updated: 2024.03.31
이한나 원장
하루에치과 대표원장. 부산대학교 치과대학 차석 졸업, 가톨릭대학교 외래교수로서 25년 이상의 임상 경험을 보유하고 있습니다. 다수의 임플란트 연구자문의사를 역임했으며, 과학적 근거와 정직함을 바탕으로 가장 신뢰도 높은 치의학 정보를 전달합니다.
▸ 치료 비용이 궁금하다면?
임플란트 계산기
스마일디자인 계산기
치료 수가표
Prev
이전글
토끼이빨 앞니돌출 예방적신경치료후 올세라믹크라운2개 라미네이트8개 모델사례
다음글
뻐드러진앞니/라미네이트 6개
Next
최신글
갤러리
치아미백 가격, 왜 케이스마다 다를까? (치과미백 비용 기준 3가지)
바로가기 →
라미네이트
개방교합 개선 라미네이트 · 하악전돌 전치부 교합 재구성 (스마일라인 디자인)
바로가기 →
임플란트
전체임플란트 비용 왜 이렇게 차이가 나는 거지?전체임플란트 상담시 체크리스트 5가지
바로가기 →
임플란트
전체임플란트 뼈이식없이 잘하는 방법-염증부위 피해 뼈이식 최소화 치과치료
바로가기 →