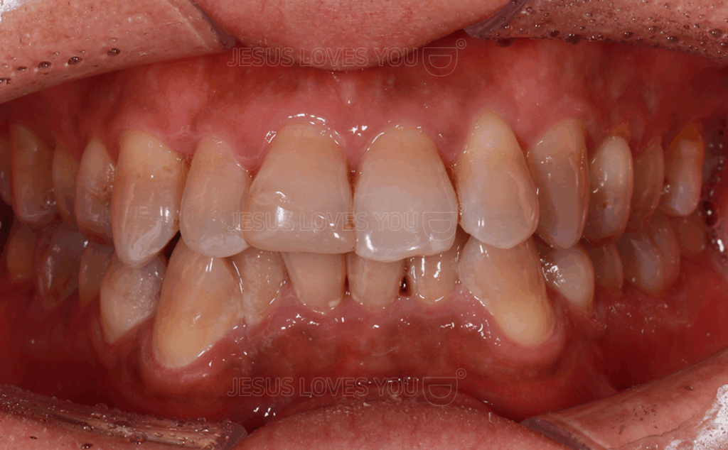
이 분의 경우는 항생제로 인한 선천적 치아변색이었어요. 50대 후반의 남성이었고 치아건강과 미용적인 부분을 모두 진단해 달라는요청을 받았죠.
전반적으로 치아가 크고 띠모양의 치아변색을 보이는 전형적인 항생제 치아변색입니다. 11번 치아는 치아파절로 레진이 붙어있었고,위에는 약한불규칙과 튀어나온 22번,그리고 양쪽 송곳니가 뻗으면서 긴 것도 문제였습니다.더불어 아랫니는 심한총생으로 인한 불규칙 상태였죠.
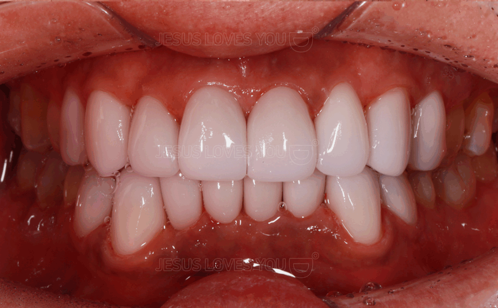
치료는 진단, 스마일테스트, 치아준비, 캐드캠촬영, 예방적신경치료, 치아세팅 이런 과정으로 진행되었어요.전반적으로 치아가 큰 편이고웃을 때 잇몸이 많이 보이는 형이 아니어서 인위적인 잇몸성형과정을 수행하지 않았어요.
만약 잇몸이 보이는 경우였거나 치아가 작았다면 잇몸선을 맞추는 치료과정을 했을 겁니다. 적용되어진 디자인은 엘레강스 타입1 스타일이에요.
환자의 원래 치아형에 가까워서 보다 자연스럽게 연출이 가능하죠. 자신이 가진 기본 치아틀 내에서 디자인이 선택되어질 때 최대한 치아를 보존할 수가 있어요~ 색상과 모양이 좋지 않지만 그래도 스마일에 대칭성이 있어서 예후가 좋을 것으로 예상하고 시작했죠.
제가 제안한 색상보다 하나 밝은 색상을 선택하셨어요. 아무래도 치아색상으로 오랫동안 컴플렉스였던 분들은 보상심리가 발동되어 더 밝은 색상을 고르는 경향이있는 것 같아요. 그래서 치료후 어색해 하시는 경우도 있는데이 분의 경우는 치아색상에 대만족하셨어요.
치아색상도 밝아지고 치아모양도 예뻐지니까 미소가 훨씬 젊고 멋있어 보이네요. 이제 기본적인 구강관리만 신경쓰시면 되겠어요~
포세린 라미네이트(또는 포세린 비니어)는 치아 미용 치료에서 매우 인기 있는 옵션 중 하나로, 여러 가지 장점을 가지고 있습니다. 아래는 포세린 라미네이트의 주요 장점들입니다.
결론
하얗고 가지런한 치아는 외모와 건강에 있어 많은 장점을 제공합니다. 이러한 치아 상태를 유지하기 위해서는 정기적인 치과 검진과 올바른 구강 위생 습관이 필요합니다. 치아 미백, 교정 치료 등 전문적인 치과 치료를 통해 하얗고 가지런한 치아를 가질 수 있으며, 이는 개인의 삶의 질을 높이는 데 큰 도움이 됩니다.
—————————————————————————————
테트라사이클린으로 인한 치아 변색의 원인은 약물이 치아 형성 시기에 치아 구조에 침착되어 색깔 변화를 일으키기 때문입니다. 다음은 테트라사이클린으로 인한 치아 변색의 구체적인 원인과 과정을 설명합니다.
1. 테트라사이클린의 성질
- 광학적 특성: 테트라사이클린 계열의 항생제는 자외선에 노출되면 색이 변하는 성질을 가지고 있습니다. 이러한 특성 때문에 테트라사이클린이 치아에 침착되면 자외선에 의해 색이 변하게 됩니다.
2. 치아 형성 시기
- 치아 형성 중 침착: 테트라사이클린은 치아 형성 시기(특히 유치 및 영구치 형성 시기) 동안 복용하면 치아의 법랑질(enamel)과 상아질(dentin)에 침착됩니다. 일반적으로 치아 형성 시기는 태아기 후반부터 유년기 초기에 걸쳐 이루어집니다.
- 복용 시기와 영향: 임신 중 2기와 3기에 테트라사이클린을 복용한 경우 태아의 치아 형성에 영향을 미치며, 생후 유아기부터 8세까지의 어린이가 복용하면 영구치에 영향을 미칠 수 있습니다.
3. 색깔 변화 메커니즘
- 침착된 약물의 자외선 반응: 치아 내부에 침착된 테트라사이클린은 자외선에 노출될 때 화학 반응을 일으켜 치아 색깔이 노랗게 또는 갈색, 회색으로 변색됩니다.
- 색깔의 농도: 테트라사이클린 농도와 노출 기간에 따라 변색의 정도가 달라질 수 있습니다. 약물이 더 많이 침착될수록 변색이 심해질 수 있습니다.
4. 변색의 유형
- 균일한 변색: 테트라사이클린 변색은 치아 전체에 걸쳐 균일하게 나타날 수 있습니다.
- 줄무늬 패턴: 때로는 줄무늬 형태의 변색이 나타날 수도 있으며, 이는 치아 형성 시기의 특정 기간 동안 테트라사이클린에 노출된 결과입니다.
5. 예방법
- 임신과 어린 시기 동안 사용 제한: 임신 중인 여성과 어린 아이들에게 테트라사이클린 계열 항생제의 사용을 피하는 것이 중요합니다. 다른 대체 항생제를 사용하는 것이 권장됩니다.
- 치과 상담: 필요한 경우 치과 전문의와 상담하여 적절한 예방 및 관리 방법을 논의하는 것이 중요합니다.
결론
테트라사이클린으로 인한 치아 변색은 약물이 치아 형성 시기에 법랑질과 상아질에 침착되어 자외선 반응을 통해 색이 변하는 현상입니다. 이는 주로 치아 형성 시기 동안 테트라사이클린을 복용할 때 발생하며, 예방을 위해서는 임신 중 및 어린 시기에 이 약물의 사용을 피하는 것이 중요합니다. 이미 변색된 치아는 치과 미용 치료를 통해 개선할 수 있습니다.
선천적 치아변색(항생제 치아변색, 갈색치아)FAQ
A. 태어날 때부터 치아 내부(상아질) 구조나 색소가 변색되어 나타나는 경우입니다.
대표적으로
-
어릴 때 복용한 테트라사이클린 항생제,
-
불소 과다 노출,
-
유전적 요인
등이 원인입니다.
이 경우는 치아 겉면 미백으로는 색이 잘 변하지 않아요.
A. 일반적인 화학적 미백(치아 표면의 색소 제거)은
선천적 변색처럼 치아 내부에서 기인한 색 변화에는 한계가 있습니다.
반복 미백을 해도 색이 돌아오거나,
치아 민감도만 높아지는 경우가 많습니다.
그래서 이런 경우엔 영구적인 색 개선이 가능한 라미네이트 또는 올세라믹크라운이 대안이 됩니다.
| 구분 | 라미네이트 | 올세라믹크라운 |
|---|---|---|
| 적용 부위 | 치아 앞면만 덮음 | 치아 전체를 감쌈 |
| 삭제량 | 적음 (0.3~0.5mm) | 약간 더 많음 (1~1.2mm) |
| 적용 대상 | 색 변화 적은 경우 | 색 변화 심한 경우 |
| 유지력 | 접착력에 의존 | 구조적 강도 높음 |
A. 디지털 기술로 최소 삭제 설계가 가능합니다.
요즘은 3D 스캔을 통해 필요 최소한만 삭제하고,
정확하게 본래 치아 형태를 복원합니다.
또한, 신경을 살릴 수 있는 범위 내에서 설계하기 때문에
치아 보존에도 유리합니다.
A. 네, 가능합니다.
올세라믹은 여러 색상(쉐이드)을 조합할 수 있어
자연스럽게 밝고 투명한 미소를 디자인할 수 있습니다.
얼굴톤, 입술색, 눈동자 색과 조화된 자연스러운 색상을 추천드립니다.
A. 평균적으로 10~15년 이상 사용할 수 있습니다.
정확한 본딩과 교합 조정, 정기 검진이 병행되면
20년 이상 유지된 사례도 있습니다.
올세라믹은 금속이 없어 변색·부식·잇몸 착색이 없습니다.
-
딱딱한 음식(뼈, 씨앗 등)을 피하고
-
정기 검진을 통해 잇몸 관리와 접착 상태 점검을 꾸준히 받는 것이 좋아요.
일반 치아처럼 양치질, 치실 사용, 스케일링은 필수입니다.




