치아가 흔들리고 벌어지고 길어지고 있다면? 바로 심한 치주염이 진행되고 있는 것입니다.
치주염? 아시는 분들도 있고 모르시는 분들도 있을 겁니다.
치주염이란 잇몸과 치조골에 염증이 생기는 병으로 말 그래도 치주조직(치아주위의 조직)인 잇몸, 치조골, 치주인대 등에 염증이 생겨서 치조골이 파괴되는 질병을 말합니다. 흔히 일반인들은 잇몸질환으로 알고 있는 것이 치주염입니다.
단순히 잇몸에만 염증이 있는 초기 단계는 치은염이라고 하고, 그 상태를 방치해서 치주인대와 치조골까지 염증이 진행되게 되면 치조골이 파괴되는데 이런 상태를 특히 치주염이라고 합니다.
초기 치은염, 즉 잇몸에 염증이 있는 단계에서 빨리 치료를 하게 되면 치주염으로 진행이 되지 않기 때문에 치은염의 증상을 잘 알아두었다가 이런 증상이 있으면 빨리 치과에서 치료를 받으시고 관리를 하시면 치주염을 예방할 수 있어요.
치은염의 초기증상은 잇몸이 빨갛게 되고, 부풀어오르고, 쉽게 피가 나는 등의 증상을 보입니다. 그런데 이 단계를 지나치게 되면 부풀어 오른 잇몸과 치아사이의 틈으로 이물질들이 들어가서 나오지 못하고 그것들이 염증반응을 지속적으로 일으키면서 세균의 부산물들이 쌓이고 그것들이 잇몸뼈를 녹이게 됩니다.
치주염은 충치와는 다르게 심한 통증을 동반하지는 않기 때문에 치료를 제때 하지 않고 방치하는 환자가 많습니다. 오늘은 이렇게 치주염을 오래 방치해서 결국 모든 치아를 뽑게 된 환자의 치료과정을 소개해 드리겠습니다.
심한 치주염은 어떻게 진단할까요?
치주염도 상태에 따라서 초기, 중기, 말기로 나뉘게 됩니다.
초기: 치은염과 구별 어려울 정도의 경미한 골흡수
중기: 임상적 부착 손실과 골흡수가 명확, 치아 사이 간격 증가
말기: 기능적 손상 및 치아동요로 인해 발치 필요 가능성
이렇게 단계가 진행이 되게 됩니다.
치주염 단계 구분기준
구분 | 임상적 특징 | 방사선 소견 | 치주낭 깊이(PPD) | 임상적 부착 손실(CAL) | 흔한 증상 |
---|---|---|---|---|---|
초기 치주염 (경도, Stage I) | 잇몸 출혈, 붓기 약간, 치은이 붉음 | 치조골 손실이 치근 길이의 <15% | 약 3~4mm | 1~2mm | 양치 시 출혈, 불쾌한 구취 시작 |
중기 치주염 (중등도, Stage II) | 잇몸이 후퇴, 치아 사이 공간 넓어짐, 동요도 약간 | 치근 길이의 15~33% 골 흡수 | 약 4~6mm | 3~4mm | 씹을 때 통증, 잇몸에서 고름, 잇몸 퇴축 |
말기 치주염 (중증, Stage III–IV) | 치아 동요 심함, 이주 또는 틀어짐, 저작 곤란 | 치근 길이의 >33% 골 흡수 또는 수직골 결손 | 6mm 이상 | 5mm 이상 | 치아 흔들림, 저작 시 통증, 치아 상실 위험 |
치주염이 심한 치아의 발치기준은?
치주염이 심하게 진행된 경우 이를 뽑아야 하는데요. 그 이유는 살릴 수 없을 정도로 상태가 좋지 않은 치아를 계속 그대로 두게 되면 치조골이 점점 더 많이 파괴되어 임플란트 치료가 힘들어지거나 심지어 치료가 어렵게 되는 경우도 생기기 때문입니다.
그래서 발치를 해야 하는 경우에는 치조골 손실 정도,치아 동요도, 잔존 지지구조의 예후 등을 고려해야 합니다.
구분 | 판단 기준 | 구체적 예시 |
---|---|---|
1️⃣ 치조골 손실 (Bone loss) | 치근 길이의 2/3 이상 흡수 | 방사선상 치근의 70% 이상 골 소실 시, 장기적 예후 불량 |
2️⃣ 치아 동요도 (Mobility) | Miller class III 이상 | 손으로 움직일 때 수평·수직으로 명확히 흔들림, 저작 불가능 수준 |
3️⃣ 치주낭 깊이 (PPD) | 7mm 이상이면서 치조골 수직 결손 동반 | 치주 재생 치료로도 예후 회복이 어려운 경우 |
4️⃣ 병적 이주 또는 교합 붕괴 | 치아 위치가 변형되거나 인접치와 접촉 상실 | 발음·저작 기능 상실, 교합 안정 불가 |
5️⃣ 근관 치료 불가능 또는 치근파절 병발 | 근관치료 불가, 치근분기부 병변 심한 경우 | 특히 하악 대구치의 furcation involvement가 Ⅲ도일 때 |
6️⃣ 치조골 높이가 임플란트 식립 기준 미달 | 남은 치조골이 3~4mm 이하 | 유지 치료 불가로 판단 시 발치 후 재건 고려 |
7️⃣ 전신 질환 또는 감염 위험 고려 | 만성 감염 지속으로 전신 건강에 영향 | 예: 당뇨, 심내막염 위험 환자 등 |
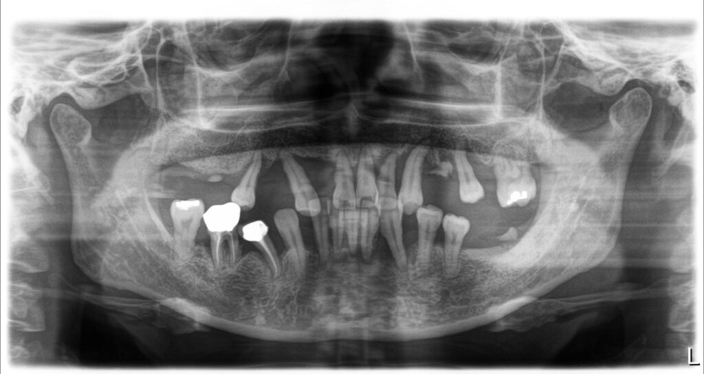
심한 치주염으로 모든 치아를 발치하게 된 사례

위에 보이는 엑스레이 사진은 심한 치주염으로 일부의 치아는 자연발치되고 남아있는 치아들은 자기 자리를 찾지 못하고 위치들이 많이 바뀌어 있는 모습이 보입니다. 중요하게 보아야 하는 부분은 뼈 속에 들어있는 치아뿌리의 양입니다.
보이는 파노라마 사진의 치아들의 뿌리들은 대부분 턱뼈 속에 거의 조금만 위치하고 대부분은 뼈가 다 녹아있는 것이 보입니다. 그렇게 되면 치아들이 많이 흔들리게 되고 그러면서 치아가 자기 자리를 유지하지 못하고 솟고, 쓰러지고, 벌어지게 됩니다.
이런 상태까지에 이르기에는 많은 시간이 필요합니다. 그렇기 때문에 조금이라도 빨리 치료를 하셔서 치아를 뽑지 않도록 하시는 것이 좋습니다.
심한치주염 환자의 전체임플란트 치료과정
위의 영상에서 치료과정을 간단하게 보실 수 있는데요.
심한치주염에 이환된 모든 치아를 제거하고 바로 임플란트를 가능한 치아가 있어야 하는 자리에 식립을 합니다. 그런 다음 임플란트 지대주를 촬영하여 바로 임시치아를 제작해서 끼우게 됩니다. 임시치아를 수술당일에 적용하는 가장 큰 이유는 환자가 치아가 없는 상실감에 빠지지 않게 하는 것입니다.
임플란트는 뼈 속에 위치시킨 후 수개월의 치유과정을 거쳐야 힘을 받을 수 있기 때문에 적용되어진 임시치아를 단단한 음식을 섭취해서는 안됩니다. 부드러운 음식 위주로 2~3개월 정도 사용하게 됩니다.
수술 후 2주차에 실밥을 제거하고 3개월 후에 진짜 보철을 만들어 끼우는 모습이 보입니다. 전체적으로 치아가 없을 때 이런 방식이 아닌 몇 개의 임플란트만 적용해서 틀니모양과 유사한 한덩어리를 끼우는 방식(올온엑스 All-on-X)도 있지만 저는 가능한 원래 치아의 형태에 가까운 방식으로 치료하는 것을 선호합니다. 이와 관련된 설명이 아래 영상 속에 있으니 궁금하시면 영상을 보시면 됩니다.
이렇게 전체적으로 발치를 하는 경우에 간혹 발치를 하는 것에 대한 의문을 가지는 경우가 있습니다. 치료계획은 예지성있게 잡아야 합니다. 그렇지 않으면 치료가 반복되거나 엉뚱한 결과에 이를 수 있고, 환자가 더 많이 아파야 하고 비용도 더 들게 되기 때문입니다.
그래서 발치기준을 다시 정리해 본다면 골손실이 50% 미만이고, 동요도 II 이하, 교합 안정 가능 시에는 스케일링·치주수술·재생치료 등으로 보존을 시도하고, 골손실 2/3 이상, 동요도 III, 저작 불가, 재생치료 실패 시에는 발치를 고려합니다.
심한치주염 전체임플란트치료결과

치료후 파노라마 사진입니다. 식립가능한 치아자리에는 임플란트를 식립했고, 브릿지 타입으로 치아와 유사한 모양으로 보철을 완성했습니다. 맞춤지대주에 지르코니아를 이용해서 보철을 했으며, 중요하게 보아야 하는 부분은 치아와 치아사이에 구멍이 있어서 치간치솔 사용이 가능하게 디자인되었다는 점입니다.
간혹, 임플란트보철이 너무 뚱뚱하게 만들어지는 경우 치아와 치아사이에 치간치솔 사용이 불가능한 경우가 있는데 그런 경우에는 위생관리가 어려워 임플란트주위염이 생겨 결국 임플란트를 잃게 될 수도 있습니다.
이렇게 치료가 완료되면 깨끗하게 관리하는 것과 너무 딱딱한 음식을 삼가하는 것, 그리고 정기적인 치과검진을 하는 것이 중요합니다.
심한치주염 전체임플란트 FAQ
Q1. 심한치주염이 있을 때 치아를 빨리 뽑지 않으면 안되나요?
심한 치주염이 있는 치아를 오래 방치하면 염증이 주변 치조골까지 퍼지면서 뼈가 빠르게 흡수됩니다.
이렇게 되면 나중에 임플란트를 식립할 때 골이식이 많이 필요하거나 식립 자체가 어려워질 수 있습니다.
따라서 살릴 수 없는 치아는 너무 늦지 않게 적절한 시기에 발치해 뼈를 보존하는 것이 중요합니다.
Q2. 치주염이 심한데, 임플란트가 가능할까요?
가능합니다. 단, 치조골 손실 정도와 감염 상태를 정확히 평가해야 합니다.
심한 치주염으로 치아가 모두 흔들리거나 염증이 심한 경우에는,
먼저 감염된 치아를 발치하고 염증을 완전히 제거한 뒤
골이식과 동시에 임플란트를 식립할 수 있습니다.
이러한 과정을 즉시 임플란트(Immediate Implant) 또는
즉시 부하(Immediate Loading) 방식으로 진행하면
무치악 기간 없이 고정된 임시 치아로 생활이 가능합니다.
Q3. 치주염이 있던 잇몸에 임플란트를 하면 또 염증이 생기지 않나요?
치주염이 있던 치아를 발치하기 때문에 치주염이 다시 생기지는 않습니다. 다만 새로 심은 임플란트를 다시 관리하지 않으면 처음에 치아에 염증이 생겼던 것처럼 임플란트 주위에 염증은 생길 수 있습니다.
Q4. 전체 임플란트 치료는 몇 번 방문해야 하나요?
일반적으로 4회 방문이 기본입니다. 발치, 식립, 임시치아를 한 번에 다음에 실밥제거, 그다음 스캔을 하러 오시고 마지막 세팅입니다. 해외에서 오시는 경우에는 한국방문 2회가 일반적이며, 한 번 방문시 2박3일을 기본으로 생각하면 됩니다.
Q5. 잇몸뼈가 많이 녹았는데도 가능한가요?
전체임플란트로 치료할 경우에는 너무 심하게 녹았거나 염증이 심한 부위는 피해서 식립하기도 합니다. 하지만 꼭 그 자리에 임플란트가 필요한 경우에는 뼈이식 등의 방법을 동원해서 임플란트를 식립합니다. 전체를 치료할 때에는 전체적인 환경을 고려해서 결정하게 됩니다.
Q6. 임플란트 수술 후 바로 식사할 수 있나요?
부드러운 음식은 가능합니다.
즉시 고정 임시치아가 장착되므로
**부드러운 음식(죽, 스프, 파스타 등)**부터 시작하시면 됩니다.
골융합이 일어나는 2~3개월 동안은 유동식을 하되 채소와 육류는 다져서 드시는 것이 좋습니다.
Q7. 전체 임플란트의 수명은 얼마나 되나요?
평균적으로 10년 이상이며,
정기적인 관리와 스케일링, 교합 조정이 이루어지면 20년 이상 사용도 가능합니다.
무엇보다 **치주염의 재발을 막는 유지관리(maintenance)**가 핵심입니다.
Q8. 전체 임플란트 후 외관은 자연스러울까요?
환자의 상태에 따라서 결과도 다양하게 됩니다. 가능한 치료를 적기에 하는 것이 결과가 더 아름답습니다. 하루에치과는 환자의 얼굴형을 고려해서 임플란트 디자인을 하는 특허를 소유하고 있을 정도로 디자인에 신경을 많이 쓰고 있습니다.
Q9. 전체 임플란트 치료 시 통증이나 붓기가 심한가요?
치과공포가 심한 경우에는 수면마취를 이용해서 수술할 수 있고, 수술후 하루이틀은 불편감이 있습니다. 붓기는 개인에 따라서 차이가 있지만 전체임플란트 수술은 붓기가 생기는 경우가 많으며 약 2주 정도 후에 대부분의 붓기가 사라지게 됩니다.