치아조직은 머리카락과는 달리 다시 재생이 되지 않아 보다 더 섬세한 치료가 필요합니다.
치아를 예쁘게 하기 위해 무리한 치아삭제로 치료하는 것에 대한 경각심을 2000년 초반부터 널리 알리고 있는 이한나원장은 보다 아름답게, 보다 안전하게 치료하기 위해 라미네이트 진단에서부터 치료, 디자인, 가공을 모두 직접 하고 있습니다.

벌어진 앞니 자연스럽게 앞니 4개만으로 치료한 사례
치아삭제 전혀없이 부분적으로 세라믹을 부착하여 거의 티가 나지 않게 자연스럽게 치료한 경우
왜소치 부분 무삭제로 회전된 송곳니 살짝 다듬고 밝은 치아색상에 이븐한 치열로 디자인
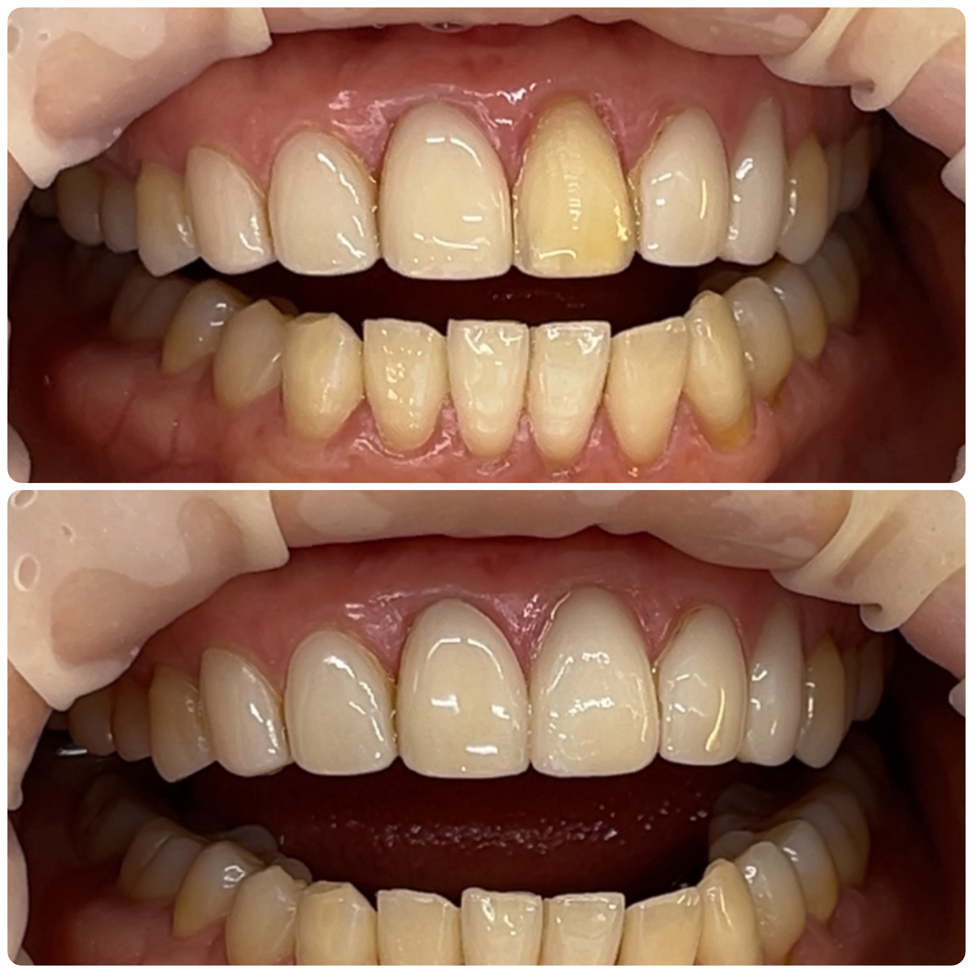
약간 돌출된 앞니를 얌전하게 자연스럽게 치료하고자 한 경우
연예인 데뷔를 위한 라미네이트-색상 아주 밝게 가지런하게 디자인 원함
치아색상이 얼룩덜룩해서 자연스러운 색상으로 치료원했고, 치아형태는 무난하게
레진치료한 부분이 변색이 와서 이븐한 모양과 밝은 색상으로 치료원함
앞니 사이사이에 충치가 있어서 최대한 자신의 치아느낌을 살리고 자연스러운 색상으로 치료원함
선천적으로 갈색치아인 경우 치아색상 밝게 하고 모양도 정돈되게 치료 원한 경우
선천적 변색치아이지만 너무 밝게 하지 않고 자연스러운 색상으로 치료 원한 경우
선천적으로 치아에 결함이 있고 불규칙한 경우 몇개월 교정 후 밝은 색상으로 라미네이트
식이장애로 인한 심한 치아부식인 경우 삭제 최대한 삭제없이 본딩기법으로 치료한 경우 :위
식이장애로 인한 심한 치아부식인 경우 삭제 최대한 삭제없이 본딩기법으로 치료한 경우 :아래
토끼이빨이 도드라져 보이지 않도록 디자인적으로 정리한 사례 앞니 4개 라미네이트
사고로 치아가 파절되어 온 경우 기둥을 세워 치아복원한 사례
나비앞니를 해소하기 위해 인덱스로 치아삭제 최소한으로 디자인한 라미네이트
심한 블랙트라이앵글을 해소하기 위한 라미네이트 디자인
치아들이 약간씩 회전된 것을 살짝 다듬고 반듯하고 깔끔하게 디자인한 경우

prepless, minimal prep

치아삭제량이 기술이다!

대부분의 치과의사가 치기공을 기공사에게 맡기기 때문에 자신이 원하는 모양을 기공사가 쉽게 만들게 하기 위해 치아삭제량이 많았던 적이 있습니다.  하지만 이제 더 이상 치아삭제를 많이 하지 않아도 아름다운 치아디자인이 더 쉽게 가능해졌습니다. 라미네이트의 두께를 실제 디자인시 확인하면서 디자인이 가능하기 때문입니다. 보다 작은 삭제로 보다 아름다운 모양을 내는 것 그것이 바로 치아디자인의 핵심기술이라고 하겠습니다.

라미네이트 치료전
라미네이트를 위한 치아 다듬기가 끝난 모습 법랑질 완전 보존
라미네이트 치료가 완료된 모습

① 당일 완성! 빠르니까 깨끗하다

기존의 본을 떠서 기공소로 보내는 방식이 아닌 옵티컬 촬영을 통해 정밀한 치아 인상으로 당일에 치료를 완료할 수 있습니다.

하루에치과는 2007년부터 세렉으로 치료해 온 노하우를 통해 안정적인 결과에 이르고 있으며, 당일에 치료를 마무리 하기 때문에 임시치아 착용시 발생할 수 있는 세균 오염을 방지합니다.

② 내 치아처럼 자연스러워~

하루에치과에서는 보다 자연스러운 치료 결과에 이를 수 있는 재료를 사용합니다. 치료받은 티가 나거나 어색하지 않도록, 현재 치과 기술이 허락하는 내에서 가장 자연스러운 장석(시로나, 독일산)을 가공한 세라믹을 주로 사용하고 있습니다.

③ 나만의 개성을 담은 치아디자인

하루에치과 이한나원장은 20년 이상 직접 앞니 디자인을 해 온 것으로 유명합니다. 일률적인 치아 모양인 아닌, 여러분의 얼굴에 잘 어울리는 치아 디자인을 만들어 드립니다.

④ 첨단 세렉장비로 빠르고 정밀하게

하루에치과는 첨단디지털기공장비를 다량 보유하여 디지털로 본을 뜨고 3차원 치아디자인을 해서 로봇이 치아를 가공합니다. 세라믹 가공, 지르코니아 가공, 임시치아 등을 모두 컴퓨터를 통해 빠르고 정밀하게 만듭니다.

  • 첨단세렉장비 : 프라임스캔 등 14대 보유
  • 세렉밀링로봇 : 인랩MCX5 6대 , MCXL 12대 보유

라미네이트 치료를 고민하는 분들이 가장 걱정하는 것이 치아삭제로 인한 치아손상이지만 그 다음으로 중요한 것은 치료결과에 아름답게 나올까? 하는 부분일 겁니다. 그래서 치료전 스마일프리뷰를 추천드려요. 치료전에 대략적으로 어떤 모양으로 치료가 이루어지는 지 의사와 환자의 소통에 도움이 됩니다.

얼굴에 어울리는 치아디자인을 많이 해 본 의사나 치기공사의 경우 환자의 상태에 최적의 디자인이 도출되지만 환자가 실제 원하는 모양과 제공되어지는 모양이 일치하지 않는 경우도 있기 때문에 이런 과정은 서로를 이해하는데 도움이 되게 됩니다. 치료전에 얼굴과 치아를 스캔한 후 프로그램에서 디자인을 한 후 가상으로 제작된 라미네이트 모양을 껴 보는 식으로 진행되게 됩니다.