하루에 갤러리

당신의 치아 문제 95%를 하루에 치료합니다.
하루에치과의 다양한 치료사례를 확인해보세요.

구강위생불량으로 전체치아발치후 전체임플란트 치료사례

전체임플란트-치솔질이 잘 되지 않아 구강위생이 매우 불량해 모든 치아를 뽑게 된 사연

안녕하세요. 하루에치과 이한나원장입니다.

어제 치료를 마무리한 환자 사례인데요. 평소 치솔질이 제대로 되지 않고 구강위생관리가 전혀 되지 않아서 결국 잇몸질환으로 잇몸뼈인 치조골이 모두 무너져 내려 모든 치아를 뽑고 전체임플란트를 하게 된 이야기를 좀 해 드리겠습니다.

이런 분들은 치아를 뽑고 나면 일단 모든 염증은 사라지고 입 안이 깨끗하게 됩니다. 하지만 임플란트도 기본적인 위생관리는 해야 하기 때문에 관리가 제대로 되지 않으면 임플란트주위염으로 다시 임플란트를 제거하는 상황도 생기게 되지요.

그래서 특별히 이런 분들에게는 임플란트보철 디자인을 할 때 임플란트치아를 관리하기 편하게 만들어 드려야 합니다. 그렇지 않고 임플란트 보철이 너무 크고 뚱뚱하거나 잇몸을 누르는 형태로 만들어 드리면 거의 100% 임플란트 염증으로 이어지게 되지요. 

환자분들은 치료가 다 똑같아보이시겠지만 환자마다 상황이 다르고 환자마다 위생관리능력이 다르기 때문에 그런 점을 고려하는 것이 치료를 잘하는 가장 중요한 포인트라는 생각이 듭니다.

치료를 하는 것보다 유지를 잘해서 오래오래 잘 사용하는 것은 더 중요하기 때문입니다. 치아가 망가질때보다 임플란트가 망가질 때 더 치료가 힘들고 재건이 힘들기 때문에 그렇습니다.   

전체임플란트 치료과정

전체 치아와 임플란트주위염이 있는 임플란트 모두 제거

우선 치료과정을 먼저 설명드리겠습니다.

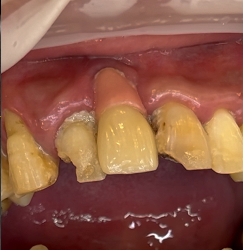
영상에서 보시는 것처럼 치료전 치아상태가 아주 좋지 않습니다. 치조골이 모두 녹아서 치아들이 많이 흔들릴뿐 아니라 치석과 프라그가 치아에 잔뜩 붙어있습니다. 이런 상태를 보았을 때 우리는 전체임플란트 치료후 위생관리를 더 신경쓰게 해야 한다는 것을 생각하게 됩니다. 

이 환자분은 40대의 젊은 남성이었는데 아무래도 치아가 하나둘 망가지면서 관리를 포기한 상태였던 거 같습니다. 입 안에 임플란트가 앞니에 하나 있었는데 해당 임플란트는보기에 흉하게 만들어져 있을 뿐 아니라 이미 임플란트주위염이 생겨져 있어서 해당 임플란트도 다른 치아처럼 제거를 하기로 했습니다. 

염증조직을 모두 제거후 위아래 임플란트 21개 식립(위 11개, 아래 10개)

염증이 심한 치아들과 임플란트를 모두 제거한 후 염증조직들을 깨끗이 제거해 줍니다. 염증조직을 충분히 제거하지 않고 남겨두면 해당 조직때문에 식립해 놓은 임플란트에 감염이 올 수 있기 때문에 깨끗한 염증제거는 필수입니다. 

식립한 임플란트 21개에 지대주를 연결해 수술후 바로 임시치아를 적용

수술직후에 지대주를 연결해서 스캔을 한 다음 삼차원 디자인을 하고 밀링과정을 거친후 PMMA로 임시치아를 장착하고 있는 모습입니다.

총 4회 방문으로 치료 완료(수술, 실밥, 스캔, 세팅)

이 분은 치주염이 심했지만 다행히 임플란트 식립을 하기 위한 가용골이 적절히 있었고, 간단한 뼈이식을 일부 하는 정도로 모든 임플란트를 식립할 수 있었습니다. 그리고 임플란트의 위치도 대체적으로 적절한 위치에 식립한 가능한 상태였습니다. 뼈가 불규칙하게 파괴되는 경우에는 임플란트의 상하위치가 좋지 않게 되는 경우도 있지만 이 분의 경우에는 적절히 좋은 위치에 가능했습니다.

수술후 4개월 차에 전체적으로 스캔을 한 다음 보철디자인을 합니다.

이렇게 디지털로 모든 작업을 하기 때문에 예전에 입 안에 고무를 물고 본을 뜰 때보다 훨 씬 더 쉽고 간단하며 더 정확하게 모든 작업이 진행이 됩니다. 그리고 본원은 이런 디자인을 외주에 맡기지 않고 실제 임상에서의 환자들의 반응들을 고려해 치과의사인 제가 직접 디자인을 하고 있습니다. 그래서 일정이 급하신 분들은 오늘 준비하고 다음날 전체임플란트 보철을 마무리하는 경우도 많습니다. 

구강위생이 불량하면 어떤 일들이 생기나요?

이 환자분처럼 구강위생이 불량하면 젊은 나이에도 모든 치아를 뽑게 될 수 있습니다. 구강위생이 좋지 않으면 어떤 문제들이 있는지 알려드릴께요.

 

1. 치은염(잇몸염증)과 치주염(풍치) 발생

  • 양치질이 제대로 되지 않으면 플라그(세균막) 이 쌓여 잇몸이 붓고 피가 납니다.

  • 염증이 심해지면 치조골(치아를 지탱하는 뼈) 이 녹아 치주염(풍치) 으로 진행합니다.

  • 결국 치아가 흔들리고 빠질 수도 있습니다.


 2. 입냄새(구취)

  • 음식 찌꺼기와 세균이 분해되면서 황화합물 같은 악취 성분을 만들어 냅니다.

  • 특히 혀 뒤쪽이나 잇몸 주머니 속 세균이 주요 원인입니다.


 3. 충치(치아 우식증)

  • 플라그 속 세균이 당분을 분해하며 산을 만들고, 이 산이 치아의 법랑질을 녹여 충치가 생깁니다.

  • 치료하지 않으면 통증 → 신경 손상 → 발치까지 이어질 수 있습니다.


4. 심혈관질환·당뇨 등 전신질환과의 연관

  • 최근 연구에서는 치주염 세균이 혈류를 통해 전신에 영향을 미친다는 것이 알려졌습니다.

  • 심혈관질환, 당뇨, 조산 위험 등을 높일 수 있습니다.


 5. 심미적 문제와 사회적 불편

  • 치석, 착색, 입냄새로 인해 외모나 대화 시 자신감이 저하될 수 있습니다.

특별히 위생관리가 잘 안 되었던 분들은 전체임플란트 치료후 어떤 점을 신경써야?

1.구강위생 관리

  • 매일 2~3회 칫솔질: 칫솔로 임플란트와 잇몸 경계 부위를 꼼꼼히 닦습니다.

  • 치간 칫솔·치실 사용: 임플란트 주변은 칫솔만으로는 세균 제거가 어렵습니다.

  • 구강세정기 사용 가능: 물로 플라그 제거를 도와주지만, 칫솔질을 대신하지는 못합니다.


2. 정기적인 전문 관리

  • 3~6개월 간격 스케일링 및 점검

  • 방사선 검사(Radiograph): 임플란트 주변 뼈 상태 확인을 위해 필요합니다.


3.생활습관 주의

  • 흡연 금지: 흡연은 뼈 유착 실패 및 염증 위험을 크게 높입니다.

  • 과도한 음주 제한: 염증과 치유 지연을 유발할 수 있습니다.

  • 당분 섭취 조절: 잇몸 염증과 세균 증식을 방지합니다.


4. 초기 회복기 관리

  • 수술 후 2~3개월: 골유착이 진행되는 시기이므로, 딱딱하거나 자극적인 음식은 피합니다.


 

구강위생불량 전체발치 전체임플란트 FAQ

네, 가능합니다. 염증이 너무 심한 경우에는 너무 심한 부위의 발치를 먼저 시행해 주고, 수술 전부터 미리 항생제를 복용해서 염증을 낮추어 주면 수술에 도움이 됩니다.

  • 초기 1~2주간은 뜨겁고 자극적인 음식 금지

  • 출혈, 붓기, 통증이 심하면 바로 치과 방문

  • 처방받은 항생제·소염제는 끝까지 복용

  • 네, 임플란트도 양치가 필요합니다. 특히, 치아모양과 잇몸이 닿는 부위가 아주 중요합니다. 

  • 하루 2~3회 칫솔질 + 치간 칫솔/치실 사용이 필수입니다. 특히, 주무시기 전에 하는 양치가 가장 중요합니다.

환자의 상태에 따라 다르지만 치료 후 치과의사가 지도하는 대로 관리를 해 주시는 것이 좋습니다. 필요시 구강세정기가 도움이 되지만 구강세정기 만으로 관리를 끝내면 큰일납니다. 반드시 치솔질이 필요합니다. 구강세정기는 프라그를 제거할 수 없고 단지 큰 덩어리를 제거하는데 도움이 되는 것입니다.

환자의 상태에 따라 달라질 수 있지만

초기에는 3개월 간격, 이후 6개월 간격으로 스케일링 및 잇몸 상태 확인

염증 조기 발견이 임플란트 장기 생존율을 결정합니다.

  • 임플란트 주위염 발생 가능

  • 뼈가 녹고 임플란트가 흔들릴 수 있음

  • 결국 임플란트 실패로 이어질 수 있습니다.