앞니(대문니)한개만 돌출된 경우 단 하루에 치료하는 방법이 있나요?
앞니 한 개만 돌출이 되어 웃을 때 신경이 쓰여서 치료받고자 하는 환자였습니다. 이 분은 치아교정이 아닌 단 하루에 치료를 마무리할 수 있는 방법을 선택해서 하루만에 치료를 마무리한 치료전후입니다.
치아교정 vs 치아성형 어떤 선택을 해야하나?
환자들마다 개인이 처해있는 상황와 환경이 다를 수 있습니다. 저도 아주 예전에는 건강한 치아를 깍는다는 것이 이해되지 않았습니다. 그런데 2002년 대학원 강의에서 그 생각이 바뀌게 되었습니다. 때로는 환자가 치아교정이 아닌 다른 방법을 선택할 수 밖에 없는 이유들이 있을 수 있고, 그것이 무조건 나쁜 것은 아니라는 생각을 하기 시작했습니다.
어떤 사람이 있는데 치아컴플렉스 때문에 대인관계에 많은 어려움을 겪고 있습니다. 그런데 자신이 치아에 무언가 부착하는 것에 대한 혐오감이 있어요(정신적인 문제이긴 합니다.) 그리고 시간적으로도 긴 치아교정을 감당할 수 없을 것 같은 겁니다. 그럴 경우 문제가 있는 치아의 일부를 삭제하고 치아가 가지런하고 예뻐져서 건강한 인생을 살 수 있다면 그 일은 치료가 될 수 있습니다.
치아교정도 단점이 있습니다. 몇 년씩 치료를 해야 하고, 치료후 관리에 소홀하면 다시 되돌아가고, 장기간의 치료로 인해 치아뿌리가 짧아지거나 치아가 흔들리고 잇몸이 나빠지기도 합니다.
그리고 교정으로 돌출을 해소하려고 하는 경우 발치를 해야 하는 부담도 있게 됩니다. 그래서 발치를 하지 않고 교정을 하면 입이 나와보이는 문제가 또 생기지요.
그래서 오늘의 환자도 이런 제반적인 문제들을 고려할 때 치아성형을 선택하게 된 것입니다.
- 단 한개의 치아만 예방적 신경치료후 크라운으로 처리하면 된다는 점.
- 치아교정을 할 경우 입이 나와보일 가능성이 있음.
- 치아교정을 할 경우 다시 돌출이 재발될 수 있음
- 발치를 4개 할 경우 치아 한 개를 삭제하는 것보다 더 큰 상실이 있음. 물론 지금 보시는 사례에서는 발치교정을 하면 절대 안되는 경우이긴 합니다. 너무 입이 들어갈 수 있지요.
- 교정은 치료기간이 길지만 치아성형은 빠르다는 점.
돌출된 앞니는 예방적 신경치료
돌출된 앞니 한 개는 예방적 신경치료를 해 줍니다. 그래야 치아에 통증이 없으며, 향후 치아뿌리에 염증 가능성을 피해 줍니다.
앞니에 신경치료를 할 때 주의해야 하는 부분이 있습니다. 그것은 앞니 신경치료후 변색입니다. 신경치료시 사용하는 특정 재료로 인해 치아변색이 서서히 올 수 있으니 주의가 요망됩니다. 변색이 되지 않는 재료를 꼭 써야 합니다!
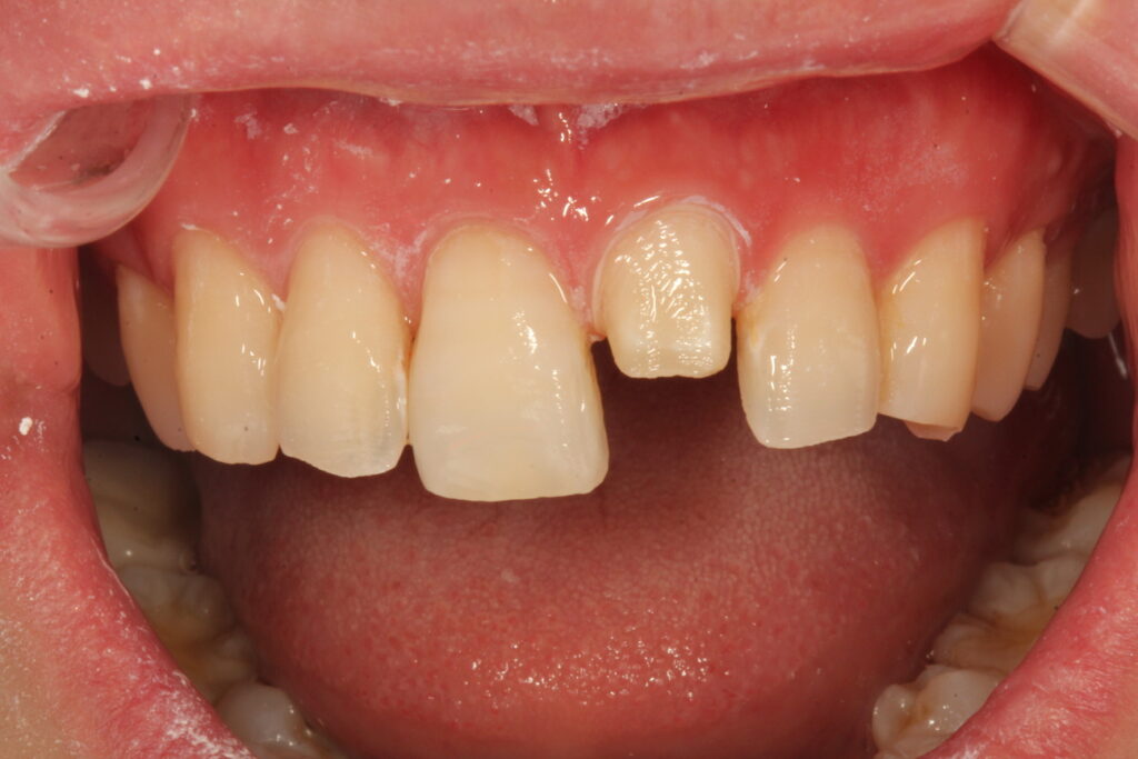
치아삭제량 확인
해당 사례를 치료하는 과정입니다. 심하게 돌출되어 있던 앞니를 안으로 넣기 위해 충분한 삭제가 필요했고 그래서 해당 치아는 충분히 삭제 후 크라운으로 치료를 합니다.
돌출이 심한 치아를 주변치아 정도의 위치까지 삭제하게 되면 치아법랑질은 모두 사라지게 됩니다. 그렇기 때문에 법랑질에 강력하게 부착해서 치아와 한몸이 되는 라미네이트 치료를 돌출된 치아에는 할 수 없는 것입니다. 법랑질이 충분하지 않은 부분에 라미네이트로 만들어 앞에만 붙이면 금새 떨어지게 되기 때문입니다.
그래서 한 개의 치아는 예방적 신경치료후 올세라믹크라운으로 치료합니다. 나머지 치아들은 비교적 고른 편이라 라미네이트가 잘 붙게 하기 위한 정도의 다듬기만 해 주거나 삭제를 하지 않습니다.
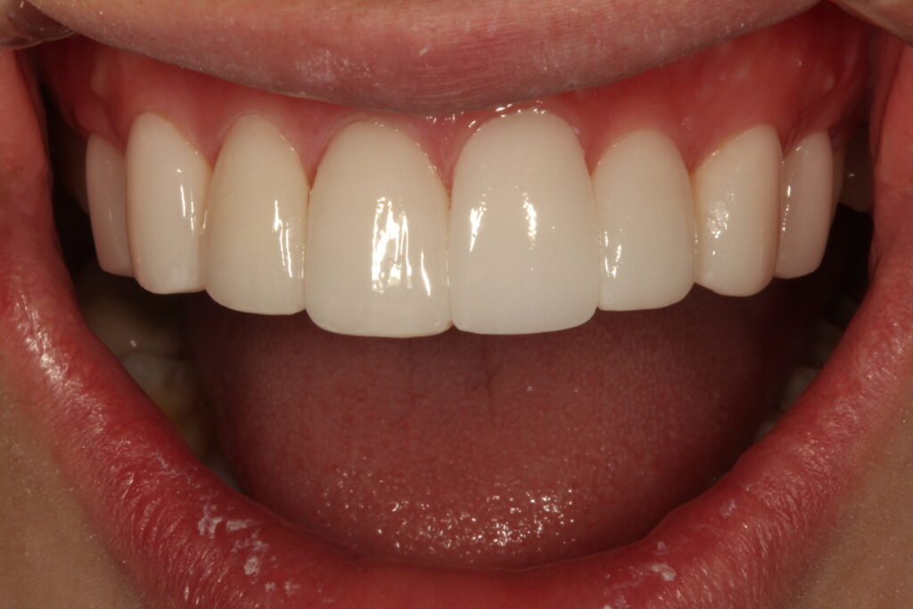
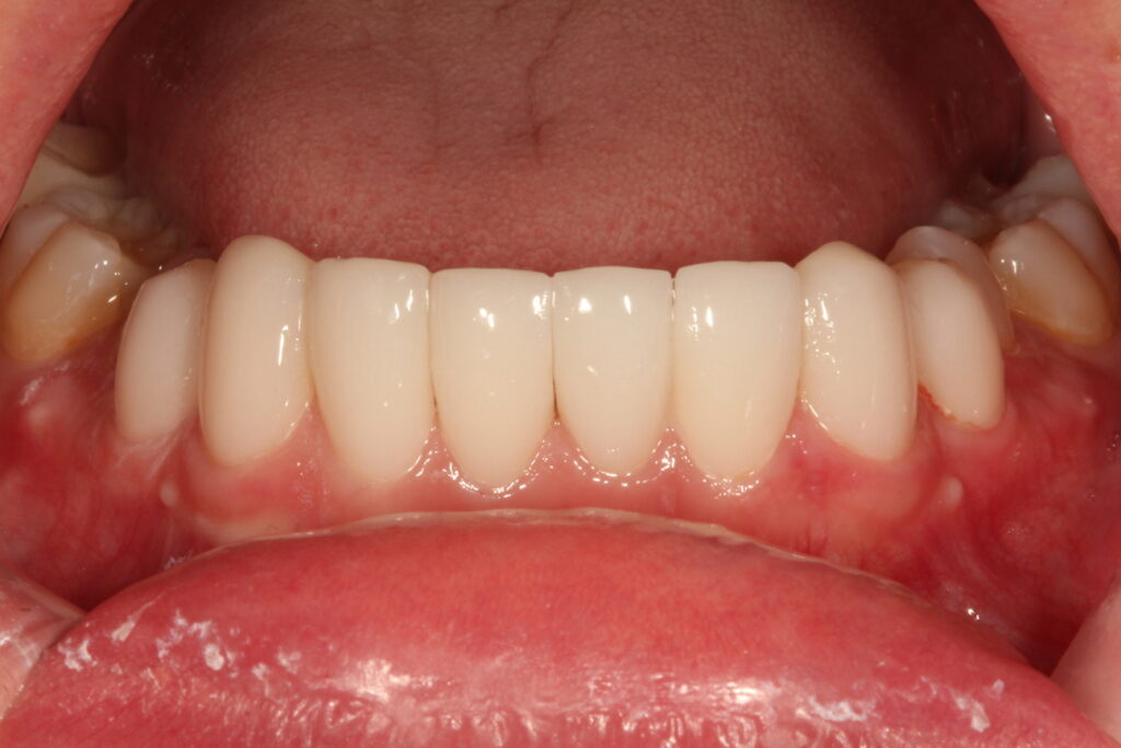
치료후 상태
이 분은 일본에 거주하는 분이었고, 직업이 매일 서비스직종이라 교정기를 하기가 어려웠습니다. 그리고 빠른 치료가 필요한 상태였습니다. 얼굴을 성형할 때에도 필요에 따라서 건강한 뼈를 깍고, 절개를 하기도 합니다. 외모지상주의는 아니지만 컴플렉스가 지나쳐서 사회생활이 어렵다면 이런 치아성형도 좋은 치료가 될 수 있다고 생각합니다.
올세라믹크라운과 라미네이트를 이용한 치아성형 FAQ
치아를 성형하거나 씌울 때, 신경이 살아 있으면 열이나 자극에 민감하게 반응해 통증이 생길 수 있습니다.
예방적 신경치료는 이런 통증과 향후 신경 염증 가능성을 줄이기 위한 안전한 대비 과정입니다.
우선 치료기간이 단 하루면 가능하기 때문에 교정보다 유리합니다. 그리고 교정후 다시 치아가 틀어질까바 보정을 하는 번거로움이 없습니다. 주변의 치아를 같이 라미네이트로 치료할 경우 치아미백 효과까지 볼 수 있습니다.
그러나, 개인에 따라서 치아삭제에 대한 불안감이 너무 큰 경우라면 몇개월간의 간단한 교정으로도 치료는 가능합니다. 다만, 그럴 경우에는 아주 살짝 전체적으로 돌출이 있을 수 있고, 치료후 보정에 신경을 써 주면 됩니다. 돌출이 걱정이 될 경우 치간삭제를 시도할 수 있으나 무리한 치간삭제는 이후 치아들이 충치에 이환될 가능성이 있으니 좀 더 세심한 관리가 필요합니다.




