스마일 프리뷰
라미네이트 치료전 스마일프리뷰로 모양과 삭제량확인
안녕하세요. 이한나원장입니다.
치아가 이쁘면 엄청 고상해 보이죠. 진짜 미인은 피부와 치아를 잘 가꾼다고 합니다. 우리가 인생을 살아가면서 많은 사람들을 만나고 관계를 가지게 됩니다. 그때 우리의 외모를 무시할 수는 없어요. 물론 사치를 하라는 것은 아닙니다.
자기관리를 잘 하고 깔끔한 인상으로 환하게 웃는 사람은 그 누구에게라도 호감을 줄 수 밖에 없어요. 우리의 인생에서 언제 기회가 올 지 모르잖아요? 그 기회가 왔을 때 놓치지 않으려면 기본적인 자기관리는 필수라고 생각이 됩니다.
라미네이트 치료전 디자인프리뷰를 해 보는 것을 추천드립니다. 디자인프리뷰를 하게 되면 치료전에 모양을 미리 의논할 수 있고, 치아삭제량도 미리 알 수 있기 때문에 여러가지로 꼭 필요한 치료단계라고 생각이 됩니다.
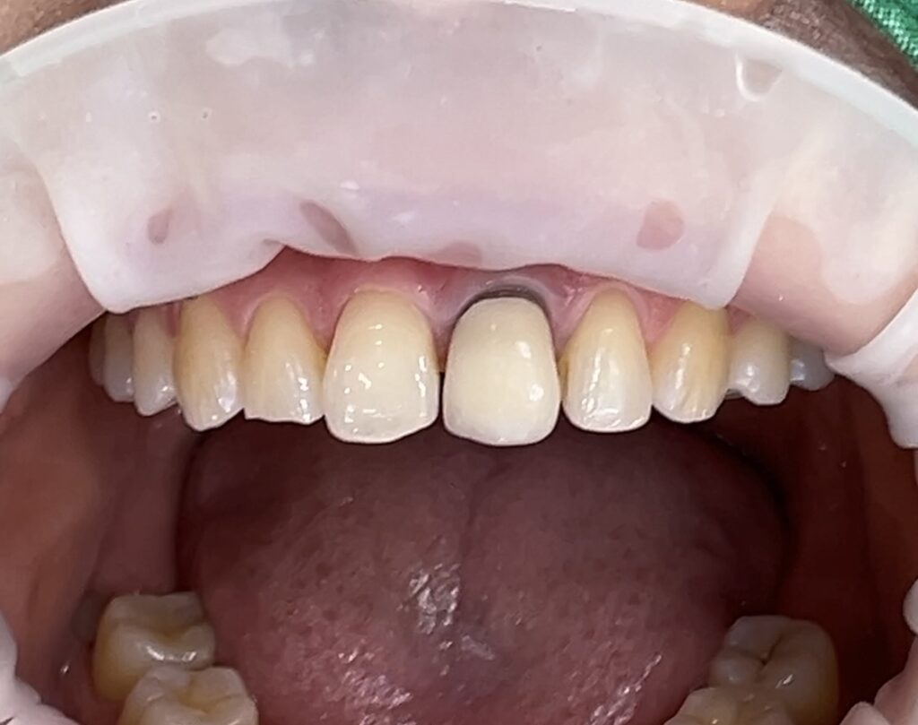
검은라인이 보이는 앞니보철
이 환자는 예전에 다른 병원에서 앞니 신경치료를 한 후 앞니크라운을 했는데 이렇게 검은 라인이 보여서 다시 치료하러 왔습니다. 검은 라인도 문제이지만 치아들이 벌어져 있고, 치아뿌리 자체가 변색되어 잇몸부위에 검은 색감도 우러나오는 것도 문제입니다.
검은라인이 보이는 이유는 주로 크게 2가지가 있을 수 있습니다. 첫번째는 치아 자체의 변색이 있어서 그 부분이 보이는 경우와 두번째는 치아자체 변색이 없는 경우라고 하더라도 보철이 금속이 포함된 경우 금속부분이 비치면서 검은라인이 보이게 됩니다.
요즘은 금속이 들어가지 않는 재료들을 주고 쓰지만 옛날에는 거의 대부분의 앞니보철에 금속이 들어간 방식을 주로 했습니다.
앞니신경치료 후 실러변색
사진의 치아는 앞니 신경치료 후 크라운 해 넣은 것을 제거한 상태입니다. 보시는 것처럼 회색의 변색이 생겼어요. 회색변색은 보철을 한 후 변색커버가 힘든 색상변색이라 앞니의 경우 더 문제가 됩니다.
그렇다면 이런 회색이나 검정색 변색은 왜 되는 걸까요? 그 이유는 신경치료시 사용하는 재료 중 실러라는 재료가 있는데 그 중 특정한 제품들이 변색을 일으킵니다.
실러는 신경치료를 할 때 신경을 제거한 공간에 불활성의 물질을 채워야 하는데 그때 사용되는 재료입니다. 그런데 특정 실러는 그 성분에 은이 함유되어 있는 경우이거나 레진 베이스 재료 등에서 나타납니다. AH26, sealapex 등의 실러는 확실히 변색이 있으니, 앞니 신경치료 시 해당 실러의 사용을 자제해야 합니다.
라미네이트 FAQ
라미네이트는 치아의 껍질인 법랑질에 붙이는 방식의 치료이며, 크라운은 치아를 깍아서 씌우는 방식으로 치료하는 것입니다. 그래서 라미네이트는 법랑질의 보존이 중요합니다. 법랑질이 훼손되면 접착이 안되어 라미네이트가 치아에 붙어있을 수 없게 됩니다.
기본적으로 라미네이트의 치료법을 이용한 치료라고 생각됩니다. 왜냐하면 세라믹을 이용해서 치아에 부착하는 방식이기 때문입니다.
다만 각 브랜드마다 특징이 있을 수는 있습니다. 라미네이트에 대한 나쁜 인식 때문에 생기게 된 이름들이 아닌가 생각됩니다.
라미네이트 치료를 하기 전에 치료후에 예상되는 모습을 미리 입 안에 재현해 볼 수 있는 방법입니다.
물론 너무 심한 돌출이 있는 경우에는 완벽한 재현은 힘들지만 대부분의 경우 어떤 느낌으로 변화가 오는 지 느껴볼 수 있습니다.
이런 과정은 환자가 원하는 바와 의사가 해 줄 수 있는 바를 서로 소통함으로서 보다 효율적인 라미네이트 치료가 가능하게 만들어 줍니다.
더불어 치아삭제가 얼마나 이루어지는 지도 어느 정도 확인이 되므로 보다 안전한 치료에 도움이 됩니다.




