

치아 교정을 빨리 끝내면 좋은 점
- 미용적 효과: 빠른 치아교정은 단기간에 눈에 띄는 미용적 변화를 가져옵니다.
- 심리적 만족감: 치아교정 기간이 짧아 환자의 심리적 부담이 줄어듭니다.
- 생활의 편리성: 치아교정 기간이 짧아져 일상생활에서의 불편함이 최소화됩니다.
- 비용 절감: 치아교정 기간이 짧아져 치료비용이 절감될 수 있습니다.
치아 교정의 치료 효과
- 미용적 개선: 치아의 배열이 정렬되어 더 아름다운 미소를 만들 수 있습니다.
- 기능적 개선: 교정된 치아는 씹기 기능이 향상되고, 발음이 개선될 수 있습니다.
- 구강 건강 향상: 잘 정렬된 치아는 치주 질환의 위험을 줄이고, 더 쉽게 청소할 수 있습니다.
- 자신감 향상: 미소와 발음이 개선됨에 따라 자신감이 증가합니다.
치아 교정 후 주의사항
- 구강 위생 관리: 치아 교정 후에는 더욱 철저한 구강 위생 관리가 필요합니다. 양치질과 치실 사용을 규칙적으로 해야 합니다.
- 정기적인 검진: 치과에 정기적으로 방문하여 교정 후 치아 상태를 점검하고, 필요한 경우 유지 장치를 조정해야 합니다.
- 유지 장치 사용: 교정 후에는 치아가 다시 원래 위치로 돌아가는 것을 방지하기 위해 유지 장치를 착용해야 합니다.
- 식습관 조절: 교정 후에는 딱딱하거나 끈적한 음식은 피하는 것이 좋습니다. 이는 교정된 치아의 위치를 안정적으로 유지하는 데 도움이 됩니다.
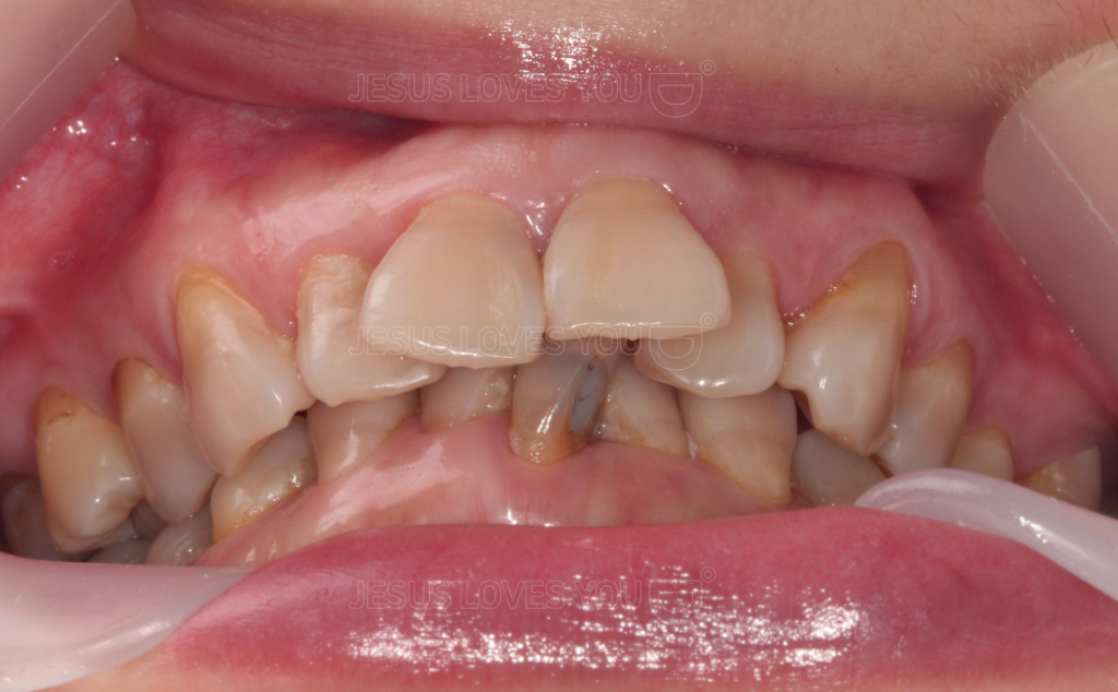
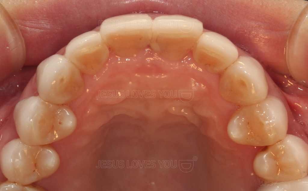
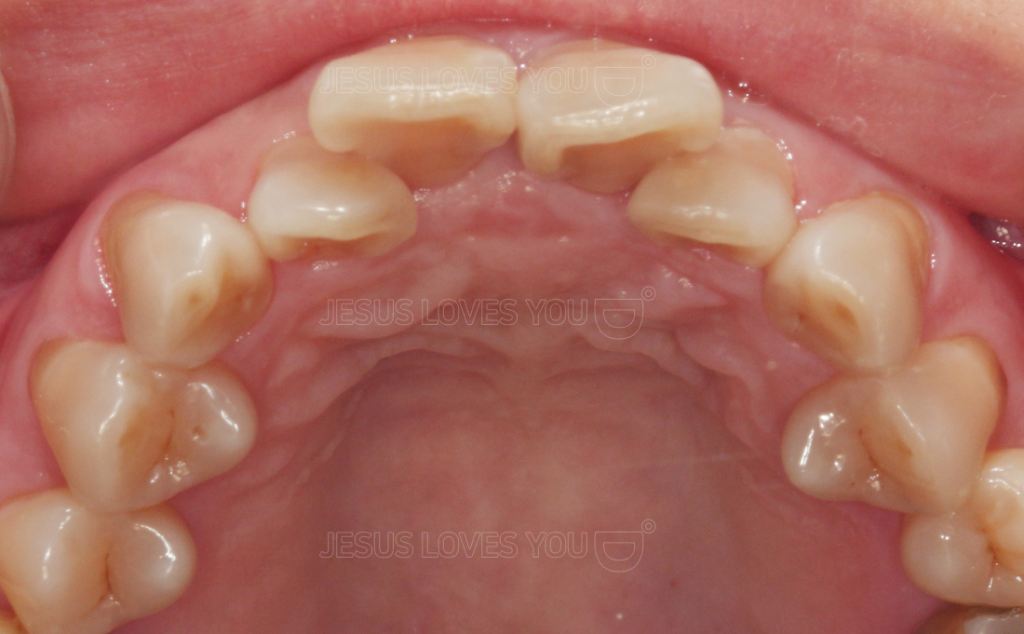
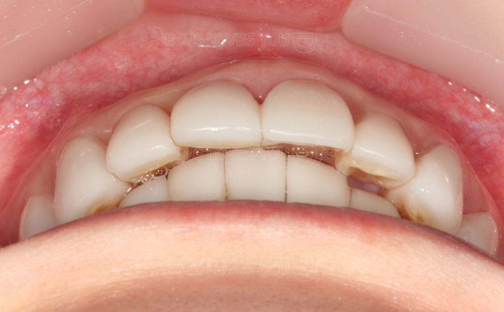
이 사례는 짧은 기간 안에 치아 교정을 성공적으로 완료할 수 있다는 것을 보여주며, 적절한 관리와 주의사항을 통해 교정 후에도 좋은 결과를 유지할 수 있습니다.




