앞니 임플란트 vs 앞니 브릿지 임플란트가 좋은 이유 3가지
1.양 옆의 치아를 보호
앞니 브릿지는 빠진 치아 양옆을 기둥치아로 삭제해 연결하는 방식이고, 앞니 임플란트는 빠진 자리 자체를 독립적으로 회복합니다. 주변 치아 보존·장기 관리 측면에서 임플란트가 유리한 경우가 많지만, 잇몸/뼈 조건에 따라 브릿지가 더 안전한 경우도 있어 “케이스 선택”이 핵심입니다.
2.시간이 경과해도 뼈와 잇몸모양 유지
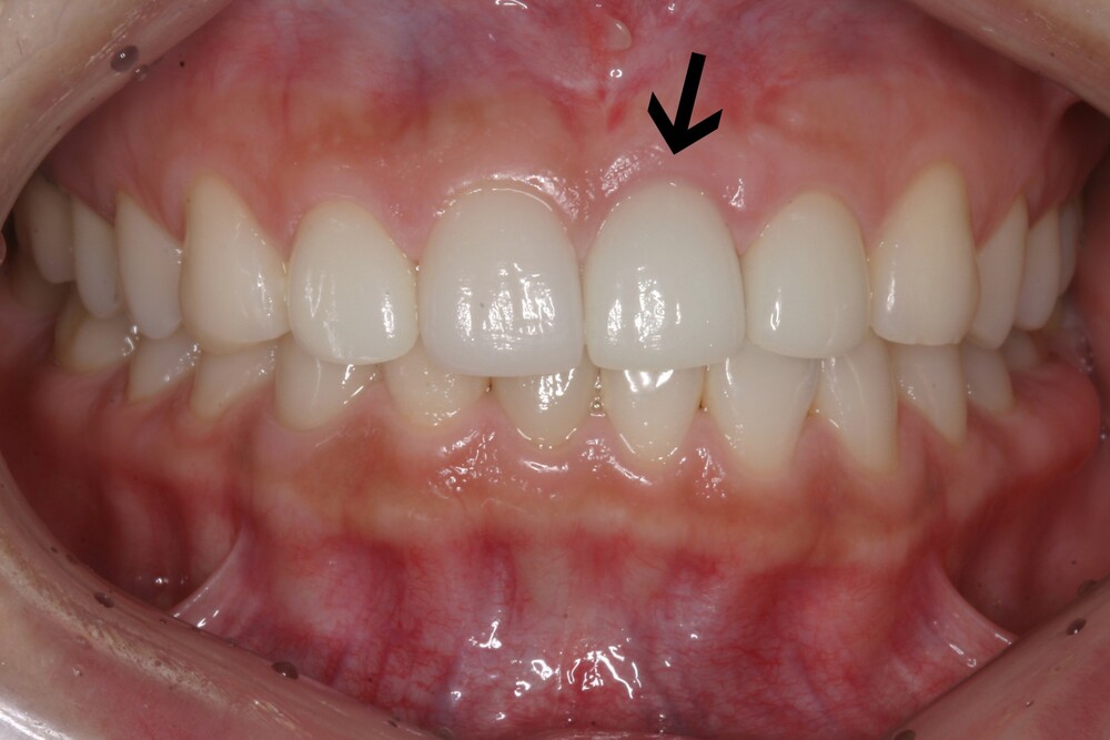
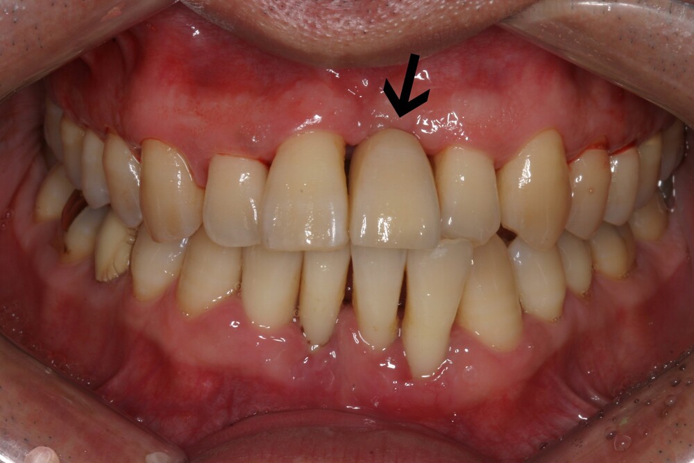
브릿지로 앞니를 치료하면 수술없이 간편하게 치료할 수 있지만 치아를 뽑은 자리 치조골에 자극이 사라져 시간이 경과하면서 뼈와 잇몸이 사라집니다. 그래서 빠진 치아부위가 꺼져서 웃을 때 그 부분이 검게 보이게 됩니다.
(앞니브릿지 웃을 때 검게 보임)
3.한 치아씩 관리가 가능
옆 치아가 멀쩡하거나 장기적으로 한 치아씩 관리하고 싶은 경우에 임플란트가 유리합니다. 앞니는 특히 심미가 중요해서 독립 보철 세팅이 가능한 임플란트가 디자인 자유도가 높은 편입니다.
그러나...
치조골이 너무 많이 흡수되어 도저히 임플란트 식립이 어려운 경우, 수술 부담을 최소화해야 하거나, 전신질환/약물로 임플란트가 불리한 경우에는 브릿지가 합리적일 수 있습니다.
앞니 임플란트 언제 심어야 하나요?
앞니 임플란트 시기는 급성염증이 없는 상태라면 가능한 발치와 동시에 심는 것이 가장 좋습니다.
즉시식립이 좋은 이유
앞니의 경우는 어금니와는 달리 뼈가 얇아 치아를 뽑고 나면 뼈가 녹아서 푹 꺼져 버리게 됩니다.
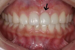
발치 직후에 임플란트를 심어주게 되면 뼈와 잇몸모양 유지에 정말 도움이 됩니다. 마치 자연치아가 있는 것처럼 치료가 가능합니다.
(화살표의 치아가 발치 즉시 임플란트를 심어서 뼈와 잇몸모양을 유지한 사례)

지연식립(회복 후 식립)
급성염증이 심한 경우에는 염증을 다스린 후에 발치를 시도하거나 또는 발치를 한 후 염증이 사라진 후에 임플란트를 심어야 하는 경우도 있습니다. 가장 좋은 것은 발치와 함께 식립이지만 염증 상태에 따라서 달리 판단되어야 하는 경우도 있습니다.
앞니임플란트 가능한 수술당일 임시치아
일반적인 어금니 임플란트 치료는 임플란트를 심어두고 수개월 후에 치아를 만들게 됩니다. 하지만 앞니는 수개월 동안 앞니 없이 지내는 것이 힘들어요.
그래서 하루에치과에서는 대부분의 경우 앞니 임플란트 수술당일에 PMMA를 이용한 임시치아를 적용해 드립니다.
앞니 임플란트 어떻게 심나요?
앞니 임플란트는 각도·깊이·위치가 결과를 좌우합니다. 조금만 잘못 들어가도 잇몸 라인이 올라가거나 돌출될 수 있습니다.
디지털 진단: CT + 구강스캔 + 사진
앞니는 잇몸 높이와 치아 비율이 중요해서 사진/스마일 라인까지 포함해 계획해야 합니다. 이 단계에서 임플란트 위치가 확정되면 이후 보철의 자연스러움이 크게 좋아집니다. 만약이때 거미스마일이 있는 환자가 있다면 임플란트 치료 전에 거미스마일 해결 부분을 고려해야 합니다.
(잇몸성형과 앞니임플란트 병행치료)

뼈이식/잇몸이식이 필요한 경우
앞니는 뼈 두께가 얇아 함몰(꺼짐)이 생기기 쉬운 부위입니다. 필요한 경우 초기부터 뼈이식과 잇몸이식을 함께 계획해야 자연스러운 잇몸 라인을 만들 가능성이 높아집니다.
임시치아(프로비저널)의 역할
앞니 임시치아는 단순 임시가 아니라 잇몸 형태를 다듬는 ‘조각가’ 역할을 합니다. 임시치아를 어떻게 쓰느냐에 따라 최종 잇몸 라인과 치간 형태가 크게 달라질 수 있습니다.
앞니 임플란트 재료는 어떤 게 좋은가요?
재료는 무조건 최고보다 환자 잇몸 타입·교합·심미 요구에 맞춰 고르는 게 정답입니다. 앞니는 특히 비침(회색 그림자)과 투명감이 관건이라, 금속/세라믹 선택의 기준을 명확히 잡는 게 좋습니다.
픽스처(임플란트 본체): 브랜드보다 설계와 케이스 적합성
좋은 시스템을 쓰는 것도 중요하지만, 앞니에서는 무엇보다 정확한 위치와 잇몸 관리가 결과를 좌우합니다. 결국 재료는 “설계를 완성시키는 도구”로 보시면 됩니다.
어버트먼트: 티타늄 vs 설콘(앞니 심미 핵심)
앞니는 잇몸이 얇은 편이면 금속색이 비칠 수 있어, 케이스에 따라 지르코니아 계열이 유리할 수 있습니다. 다만 강도·연결 방식·잇몸 타입을 함께 고려해야 합니다.
크라운(최종 치아): 자연스러운 색/투명감/형태
앞니는 “하얗게”보다 자연스러운 그라데이션과 투명감, 표면 텍스처가 중요합니다. 주변 자연치와 조화를 이루도록 해야 만족도가 높습니다.
잇몸선을 맞추어 앞니임플란트 완성
앞니 임플란트에서 특별히 주의해야 할 사항(가장 중요)
앞니 임플란트는 기능적 성공만으로는 부족하고, 심미적 성공(잇몸 라인·치간·치아 비율)이 함께 가야 합니다. 아래 포인트는 상담 시 반드시 짚어주면 환자 만족도가 크게 올라가요.
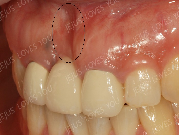
잇몸 라인(치은연)과 블랙 트라이앵글
앞니는 잇몸 라인이 1mm만 달라도 티가 납니다. 치간 유두가 줄면 블랙 트라이앵글이 생길 수 있어, 사전 진단과 임시치아 디자인이 중요합니다.
교합(앞니의 가이드) 조절
앞니는 말할 때/씹을 때의 접촉이 섬세합니다. 교합 조절이 부족하면 보철 파절이나 나사 풀림, 잇몸 자극이 생길 수 있어 최종 세팅에서 특히 중요합니다.
15년 사용한 앞니임플란트
앞니 임플란트 후 관리법
앞니 임플란트는 시술 후 관리가 결과를 오래 유지시킵니다.
1) 치실/치간칫솔 루틴 고정
임플란트 주변은 염증이 생기면 진행이 빠를 수 있어 매일 루틴이 중요합니다. 본인 잇몸 형태에 맞는 도구를 선택해 주세요.
2) 정기검진 + 스케일링 주기 유지
임플란트는 “심고 끝”이 아니라 유지관리가 치료의 절반입니다. 특히 앞니는 심미가 중요하니 정기적으로 잇몸 상태를 체크하는 게 좋습니다.
3) 흡연/잇몸 염증 관리
흡연은 잇몸 회복과 염증에 악영향을 줄 수 있습니다. 앞니는 티가 나는 부위라 더욱 조심하는 게 좋아요.
앞니임플란트 FAQ
급성염증이 심한 경우를 제외하고는 가능한 발치를 하면서 바로 심는 것이 가장 유리합니다.
그 이유는 앞니 부위는 어금니와는 달리 뼈의 폭이 좁고 얇기 때문에 발치 후 뼈가 사라지는 속도가 빠르기 때문입니다. 그래서 발치 즉시 임플란트를 심고 그 공간을 유지해 줌으로써 뼈의 모양을 유지할 수 있다는 큰 장점이 있습니다.
다만, 급성 염증이 있는 경우에는 급성 염증을 다스린 다음 발치와 동시에 임플란트 식립을 도모하거나 그것도 여의치 않다면 발치를 한 후 2~4주 정도 경과 후 임플란트를 식립하거나 수개월 후 식립을 미루어야 하는 경우도 있습니다.
하지만, 거의 대부분의 경우는 발치 즉시 식립이 가능한 경우가 아주 많습니다.
앞니를 뽑을 때의 상태에 따라서 잇몸이 꺼지게 되는 경우도 있습니다.
잇몸뼈가 건강한 상태에서 발치가 정상적으로 잘 된 경우라면 자연치가 있을 때처럼 티가 거의 나지 않게 앞니임플란트 치료가 가능하기도 하지만,
그와 반대로 잇몸뼈에 이미 염증이 심해서 골흡수가 심하거나 뼈에 구멍이 크게 생겨진 경우라면 뼈이식을 하더라도 완벽하게 모양이 만들어지지 못하는 경우도 있습니다.
그런 경우 잇몸이 꺼져 보일 수 있습니다. 그렇기 때문에 어금니와는 달리 앞니임플란트는 치료시기가 아주 중요하게 되는 것입니다. 뼈이식으로 무조건 완벽하게 복원이 힘든 경우가 많기 때문입니다.
앞니임플란트의 상태에 따라서 이 부분은 아주 다양하게 흐를 수 있습니다.
앞니에 심미임플란트를 적용한 사례라면 수술당일 바로 최종세라믹으로 임플란트 보철을 마무리하기도 하지만 이렇게 치료가 가능하려면 뼈와 잇몸상태가 양호하여야 합니다.
반대로, 뼈와 잇몸상태가 좋지 않은 경우라면 앞니에 고정성 PMMA 임시치아를 수개월 적용해야 하는 경우가 있습니다. 일반적으로는 2~4개월 정도 착용을 하게 됩니다.
때로는 아주아주 상태가 좋지 않은 경우라면 플리퍼라고 하는 가철성(꼈다뺐다 하는)임시치아를 사용해야 하는 경우도 드물게 있을 수 있습니다.
꼭 그렇지는 않습니다. 저희 병원의 자랑인 앞니 설콘 심미임플란트의 경우에는 지르코니아가 아닌 세라믹으로 앞니를 완성하게 됩니다. 그렇게 하는 이유는 가장 자연치 느낌과 유사하기 때문이지요. 설콘지대주가 치아색상이기 때문에 세라믹으로 치료해도 금속비침현상도 없고 세라믹의 투명감이 잘 살아나 마치 자연치 느낌을 자아내게 됩니다.
그러나, 일반적인 금속지대주를 사용하거나 또는 MUA(멀티지대주)를 이용한느 경우라면 지르코니아로 임플란트 보철을 제작해야 합니다. 이 경우에는 세라믹이 강도와 색상비침현상 때문에 적합하지 않습니다.
앞니 치료시기를 적절히 잘 맞추어 진행한 경우라면 사실 통증과 붓기는 심하지 않습니다.
그러나, 치료시기를 놓쳐 잇몸과 뼈에 염증이 심한 경우라면 수술 후 통증과 붓기가 심할 수 있습니다.
그러므로 치료시기는 아주 중요하게 됩니다. 통증과 붓기도 그렇고 치료결과면에서도 크게 차이가 나게 됩니다.
제가 생각하는 가장 중요한 첫번째는 치료시기라고 생각합니다. 일단 치료시기를 놓치면 아름답게 앞니를 할 수 있는 많은 요건들이 사라지게 되고 회복이 어려운 경우가 많기 때문입니다.
그 다음으로는 식립을 정확하게 하는 것, 적절한 보철방법과 재료를 사용하는 것, 그리고 잇몸의 모양을 어떻게 잘 유지해 주느냐가 아주 중요한 포인트가 되겠습니다.
