목차
사고 후 앞니 외상: 증상별 치료 요약
앞니가 흔들려요(통증은 심하지 않아요)
겉으로 손상이 없어 보여도 내부(신경)가 충격을 받았을 수 있습니다.
흔들림 정도에 따라 치아부목(splint) 시행 또는 미시행 → 보통 약 3주 관찰
시간이 지나 치아 변색이 생기면 신경 괴사 가능 → 빠른 신경치료 + 변색 개선 치료 고려(지연 시 치료가 어려워질 수 있음)
앞니가 시려요 + 앞니 끝이 조금 깨졌어요
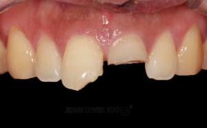
신경 손상 없이 치아 끝(머리) 부분에 경미한 파절이 있는 경우가 많습니다.
레진 또는 세라믹피스/라미네이트로 외관 회복
레진: 당일 가능, 착색·변색 가능
세라믹피스·라미네이트: 당일 가능, 티가 덜 나고 유지가 좋음(세라믹피스=부분, 라미네이트=전면)
치아 끝부부이 파절됨
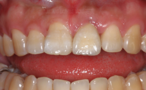
라미네이트 치료후
앞니가 너무 아파요 + 많이 부러졌어요
파절이 크고 통증이 심하면 신경 손상 가능성이 높습니다.
신경치료 후 크라운(씌우는 치료)로 형태·심미 회복
케이스에 따라 당일 신경치료 + 당일 세라믹 크라운으로 회복이 가능한 경우도 있습니다.
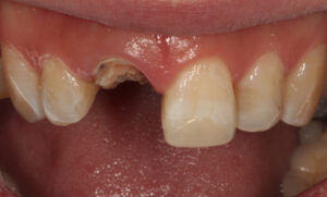
넘어져 앞니가 부러진 경우
신경치료후 기둥을 세운 모습
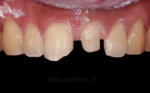
치료후
앞니가 거의 안 보여요(잇몸 아래로 부러진 느낌)
치아 머리가 잇몸 가까이까지 크게 부러진 경우입니다.
대부분 발치가 필요할 수 있으나, 잇몸선/조건에 따라 발치 없이 가능한 경우도 있어 검사 필요
가능하면 발치 당일 임플란트 동시 식립 고려
뼈 손상 시 뼈이식 동반 가능
임시치아 제작 가능(최근엔 고정성 임시치아 선호)
앞니는 경우에 따라 수술 당일 최종보철(원데이 임플란트)도 가능
이전에 신경치료한 치아 뿌리만 남음
기둥
기둥을 뿌리에 넣은 후
크라운 마무리 후
앞니가 너무 흔들려요 / 치아가 통째로 빠졌어요(탈구)
치근(뿌리) 파절 또는 치아 탈구 가능성이 있습니다.
X-ray 등 검사로 파절선 위치 확인 → 발치 여부 결정
저연령층 탈구는 부목(splint) + 관찰로 진행되는 경우도 있음
풍치가 있던 치아가 사고로 탈구된 경우는 발치 후 임플란트를 권하는 경우가 많음
결론: 많이 흔들린다고 무조건 발치하는 것은 아닙니다.
사고로 앞니가 빠져서 내원
앞니임플란트 치료후
※ 위 내용은 증상별 일반적인 정리이며, 정확한 진단과 치료계획은 검사(X-ray 등) 후 결정됩니다.
사고 직후 가장 먼저 해야 할 것 앞니 깨짐 응급 대처
사고 직후에는 “치아만” 문제가 아니라 입술·잇몸 찢어짐, 치아 뿌리 금, 턱뼈/치조골 손상이 같이 있을 수 있어요.
다음 순서로 대응하면 안전합니다.
-
출혈이 있으면 깨끗한 거즈로 압박(10분)
-
깨진 치아 조각이 있으면 깨끗이 보관(마른 휴지 X, 가능하면 생리식염수/우유 등)
-
통증이 있으면 억지로 씹지 않기
-
가능한 한 빨리 치과에서 X-ray/CT 포함 외상 검사 받기
⚠️ 입술이 깊게 찢어졌거나, 치아가 흔들리거나, 물어서 아프면 외상성 손상이 동반될 가능성이 있어 당일 진료를 권합니다.
사고로 앞니 파절 치료 비용(대략)
| 치료 옵션 | 비용(대략) |
|---|---|
| 레진 | 10~20만원 |
| 세라믹피스 / 라미네이트 | 33~99만원 |
| 지르코니아 포스트 | 40만원 |
| 세라믹 크라운 | 55~99만원 |
| 국산 임플란트(기본) | 68~98만원 / 개 |
| 뼈이식(필요 시) | 30~50만원 |
| 심미 임플란트(특수, 뼈이식 포함) | 300~500만원 / 개 |
※ 비용은 파절 깊이, 신경치료 여부, 보철 재료, 임시치아 필요 여부에 따라 달라질 수 있으며, 정확한 비용은 검사 후 안내됩니다.
앞니 외상 치료 전 핵심 체크 4가지
| 체크 항목 | 핵심 요약 |
|---|---|
| 치근(뿌리) 파절 여부 | 머리뿐 아니라 뿌리까지 부러졌는지 확인(치료 방향이 크게 달라짐) |
| 신경 손상 가능성 | 초기 무증상일 수 있어 신경 손상/괴사 가능성까지 체크 |
| 심미 라인 | 잇몸 라인·치아 길이·좌우 대칭·색(투명감) 맞춤 |
| 형태 설계 & 마무리 | 단순 수복보다 형태 설계와 마무리 퀄리티가 만족도를 좌우 |
실제 치료 흐름
이번 사례에서는 다음 순서로 진행했습니다.
-
외상 검사: 파절 범위 확인 + 치근/치조골 손상 여부 확인
-
상처 부위 처치: 잇몸/입술 주변 소독 및 관리 안내
-
앞니 형태 회복: 당일 심미 회복
-
최종 치료 계획 확정: 레진/세라믹피스/라미네이트/신경치료 필요 여부를 검사 결과에 따라 결정
-
경과 체크: 외상 치아는 2~4주, 3개월 등 추적 관찰이 필요해요. 시간이 경과하면서 신경조직의 괴사가 일어나기도 하기 때문입니다.
치아파절 치료기간과 치료비용 FAQ
하루에치과에서는 다양한 방법을 동원해서 당일 손상된 치아부분을 해결하실 수 있습니다.
치아손상의 정도에 따라서 레진, 세라믹피스, 라미네이트, 포스트, 크라운, 임플란트 등의 치료를 고려해서 치료하며 당일에 사회생활 가능한 정도의 회복이 가능합니다.
충격을 받은 치아는 초기엔 통증이 약하다가 시간이 지나며
신경 염증이나 괴사가 진행되면서 통증이 늦게 나타날 수 있습니다.
이 경우 신경치료가 필요한지 확인이 중요합니다.
조각이 깨끗하고 형태가 잘 맞고, 파절 위치가 적절하면
붙이는 치료가 가능한 경우도 있습니다.
다만 조각 상태와 파절 범위에 따라 레진/세라믹피스/라미네이트/크라운 등으로 치료가 달라질 수 있습니다.
간단히 보면 기준이 이래요.
레진: 작은 파절, 빠른 회복(당일 가능) / 비용 부담 적음
단점: 시간이 지나 착색·변색 가능세라믹피스·라미네이트: 신경 손상 없고 법랑질이 남아있을 때 유리 / 더 자연스럽고 오래 유지
단점: 레진보다 비용이 높을 수 있음
정확한 선택은 파절 깊이와 신경 상태를 보고 결정합니다.
통증이 심하거나 파절이 깊어 신경이 노출/손상된 경우는
신경치료가 필요할 가능성이 높습니다.
반대로 신경 손상이 없으면 레진/세라믹피스/라미네이트로도 회복이 가능합니다.
즉, “무조건 신경치료”가 아니라 검사로 판단합니다.
치아가 잇몸 아래까지 크게 부러지면 발치가 필요한 경우가 많지만,
잇몸선/파절선 위치에 따라 발치 없이 살릴 수 있는 경우도 있습니다.
발치가 필요하다면 상태에 따라 발치 당일 임플란트 동시 식립과 임시치아 제작이 가능해
치아가 없는 상태로 지낼 필요는 없는 경우가 많습니다.
